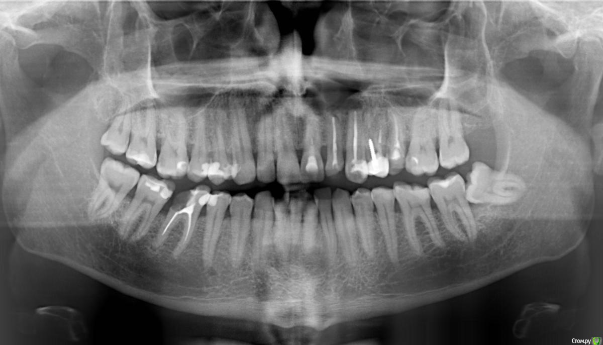
Olaf5 Опубликовано 18 сентября, 2017 Поделиться Опубликовано 18 сентября, 2017 Добрый день!Сломался зуб (шестерка, правый, нижний) с старой пломбой и тремя запломбированными каналами - отвалилась добрая половина. Ортопантомограмма показывает небольшую гранулему. Предложенный план лечения предполагает эндодонтическое лечение с микроскопом, консервативное лечение, вставку и коронку из диоксида циркония. Все вместе займет порядка 5-6 недель, потребует более 1000 евро (г.Санкт-Петербург), при этом лечение будет "качественным, но безгарантийным". Буду благодарен, если поможете найти ответы на следующие вопросы: нужна ли эндодонтия и каковы шансы с помощью консервативного лечения избавится от гранулемы; действительно ли подобные процедуры при такой цене не имеют гарантии; можно ли восстановить зуб другими способами (менее затратными или менее нервными ) ) - например создав "большую" пломбу или установив имплант? Ссылка на комментарий
St. Опубликовано 18 сентября, 2017 Поделиться Опубликовано 18 сентября, 2017 Предложенный план лечения предполагает эндодонтическое лечение с микроскопом, консервативное лечение, вставку и коронку из диоксида циркония Все корректно и рационально, если же хочется сэкономить можно рассмотреть менее эстетичную металлокерамическую коронку вместо циркониевой. нужна ли эндодонтия да каковы шансы с помощью консервативного лечения избавится от гранулемы Где-то 80% успеха в среднем действительно ли подобные процедуры при такой цене не имеют гарантии вопрос не в стоимости , а в самой процедуре. Результат зависит не только от доктора и того что он сделал, а еще и от вашего организма.На лечение каналов гарантии не существует. можно ли восстановить зуб другими способами (менее затратными или менее нервными ) ) - например создав "большую" пломбу или установив имплант? Пломбой нельзя.Удаление и имплантация - да это альтернативный вариант. З.Ы. обратите еще внимание на зуб мудрости внизу слева( его нужно планово удалять, пока еще не испортил соседний) и верхний правый 6 (16) там глубокий кариес 2 Ссылка на комментарий
Olaf5 Опубликовано 19 сентября, 2017 Автор Поделиться Опубликовано 19 сентября, 2017 Большое Вам спасибо - коротко, ясно и очень оперативно!)) Ссылка на комментарий
red_butler Опубликовано 19 сентября, 2017 Поделиться Опубликовано 19 сентября, 2017 Я рекомендовал очень серьезно посмотреть область проведенной цистэктомии на верхней челюсти. Ссылка на комментарий
Olaf5 Опубликовано 19 сентября, 2017 Автор Поделиться Опубликовано 19 сентября, 2017 Вы правы, в 1993г у меня была цистэктомия верхней челюсти - киста была очень большой (прогрызла дырку в рот, в нос и гайморову пазуху). Зубы мне сохранили (до операции они качались, едва не выпадали), но просверлили, запломбировали каналы и подрезали корни. После операции наложили 8 швов, после чего все зажило, зубы стабилизировались, но остался один шов (фактически свищ между ртом и носом) над передним верхним левым зубом.Не смотря на то, что группа зубов, попавшая в зону кисты меня не беспокоит, очевидно, там есть какой-то абсцесс и проблему надо решать. Но пока не знаю как подступиться, начал с более простого. Сделал КТ - насколько я понял со слов стоматолога, мне предстоят аналогичные вышеописанным процедуры - эндодонтия двух или трех зубов, коронки. Могу ли я спросить мнение сообщества относительно этой проблемы здесь, или нужно создать новую ветку и как-то выложить томограмму? Ссылка на комментарий
red_butler Опубликовано 20 сентября, 2017 Поделиться Опубликовано 20 сентября, 2017 Новая тема не нужна, выкладывайте среды Кт в эту Ссылка на комментарий
Olaf5 Опубликовано 22 сентября, 2017 Автор Поделиться Опубликовано 22 сентября, 2017 http://s018.radikal.ru/i524/1709/44/f59e7557a440.jpg http://s014.radikal.ru/i329/1709/41/d4657e351899.jpg http://s16.radikal.ru/i191/1709/f4/0c5bc0c9f488.jpg http://s16.radikal.ru/i190/1709/34/e043deffb688.jpg http://s019.radikal.ru/i602/1709/da/350e9555b2fc.jpg http://s019.radikal.ru/i628/1709/e7/dc45333617d0.jpg Ссылка на комментарий
DmitrySH Опубликовано 22 сентября, 2017 Поделиться Опубликовано 22 сентября, 2017 По хорошему тут нужна ревизия каналов зубов 21, 22, 23, 24, 25 с последующим протезированием. Ссылка на комментарий
Olaf5 Опубликовано 23 сентября, 2017 Автор Поделиться Опубликовано 23 сентября, 2017 Правильно ли понимаю, что нужно заново пройти (сделать эндодонтию) для всех каналов всех пяти зубов и поставить две или три коронки? Повлияет ли такая процедура на то, что канал постепенно заживет сам или нужно будет делать какое-либо хирургическое вмешательство? Ссылка на комментарий
DmitrySH Опубликовано 24 сентября, 2017 Поделиться Опубликовано 24 сентября, 2017 Правильно ли понимаю, что нужно заново пройти (сделать эндодонтию) для всех каналов всех пяти зубов и поставить две или три коронки? Абсолютно точно Повлияет ли такая процедура на то, что канал постепенно заживет сам или нужно будет делать какое-либо хирургическое вмешательство? Не канал, а очаг воспаления вокруг корней.Необходимость хирургического вмешательства необходимо оценивать по результатам эндодонтического лечения. Возможно обойдется и без него. Ссылка на комментарий
Olaf5 Опубликовано 25 сентября, 2017 Автор Поделиться Опубликовано 25 сентября, 2017 Большущее вам спасибо!! )) 1 Ссылка на комментарий
IvanK Опубликовано 27 сентября, 2017 Поделиться Опубликовано 27 сентября, 2017 тема закрыта? Ссылка на комментарий
Рекомендуемые сообщения
Для публикации сообщений создайте учётную запись или авторизуйтесь
Вы должны быть пользователем, чтобы оставить комментарий
Создать аккаунт
Зарегистрируйте новый аккаунт в нашем сообществе. Это очень просто!
Регистрация нового пользователяВойти
Уже есть аккаунт? Войти в систему.
Войти