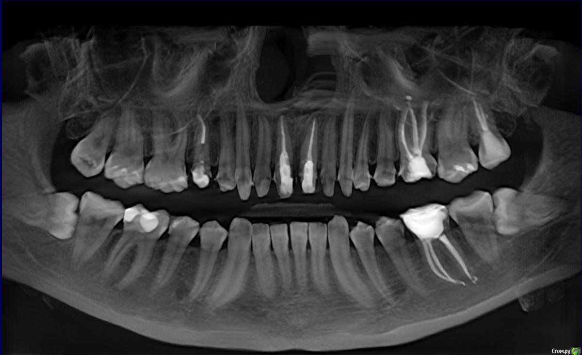
alix Опубликовано 14 сентября, 2017 Поделиться Опубликовано 14 сентября, 2017 Здравствуйте.Уже писала здесь пост, но он был слишком эмоциональный и не информативный, без снимка. Поэтому пишу снова и постараюсь вкратце пояснить проблему.С середины июля ведется установка 11 коронок на верхней челюсти. 7 зубов живые. Ставятся с косметической целью скрыть дефекты эмали (флюороз) Временные коронки неоднократно менялись (в общем целом около шести раз). На данный момент стоят коронки, которые не устраивают по прикусу. Присутствует боль на накусывание всех живых зубов под коронками. Изначально болела только правая двойка, затем, после смены коронок присоединились правые тройка и четверка. Когда в очередной раз установили последние времянки - заболели и все остальные живые зубы тоже. Повторюсь, что существенная боль только на накусывание, сами по себе зубы изредка слегка ощущают легкую покалывающую боль. Есть терпимая чувствительность на холодное, на воздух.Доктора в клинике уверяют, что если поставить постоянную конструкцию, то боль скорее всего уйдет, так как цемент загерметизирует все канальцы в дентине, будет плотное прилегание к десне или типа того. Так же ссылаются на неправильный прикус и неправильно смыкание, что боли могут быть из-за этого, они его исправят, все пройдет. Депульпировать зубы не хотят, так как не видят никаких показаний. Если зуб заболит под коронкой, то говорят, что просверлят дырочку и депульпируют зуб.Я решила сходить в другую клинику и поинтересоваться мнением другого специалиста. Он уверяет, что ставить постоянные коронки на зубы с болью ни в коем случае нельзя, так как сейчас конструкция мягкая, а потом будет жесткая и зубы могут заболеть еще больше, поэтому скорее всего нужна депульпация. Так же отмечает, что зубы обточены до дентина, а значит туда могла инфекция, тем более учитывая, что времянки несколько раз меняли и они не защищают живой зуб на 100%. Не знаю, кому верить. Подскажите, пожалуйста, что делать в моей ситуации. Кто из врачей прав? Ссылка на комментарий
alix Опубликовано 16 октября, 2017 Автор Поделиться Опубликовано 16 октября, 2017 (изменено) Итак, прошел месяц, я продолжила лечение у своего врача. По прежнему стоят временные коронки. Врач снова снял слепки и отпечатал прикус какой-то силиконовой штукой, а после поставил на зубы новый комплект временных лабораторных коронок. На жевательных зубах вновь завышение, фронтальные же, наоборот, не смыкаются. Доктор говорит, что главное, что смещения прикуса больше нет, завышение пришлифуется, а у передних зубов смыкание есть, просто очень слабое и это не критично. Но вот мы уже неделю постепенно шлифуем, добиваясь комфортного состояния. Я вроде бы нормально могу жевать, но когда клацаю зубами без еды и двигаю ими туда-сюда, то все равно ощущаю дискомфорт, что зубы какие-то ни такие как раньше. Не могу понять, нужно ли к этому привыкать или что-то не так и нужно еще корректировать.Отмечу так же, что на предыдущих времяшках появился хруст и очень слышимые щелчки в челюсти. Сейчас щелчки прошли, но хруст и легкие пощелкивания остались (хотя по поводу хруста допускаю, что он мог быть и давно, а я не обращала внимания). Врач говорит, что скорее всего пройдет и на ощупь каких-то явных патологий не чувствует.На данный момент планируется установка фронтальных времяшек, потому что мне кажется, что зубы выпирают больше чем обычно и у меня прикусывается слизистая в районе правого клыка + примерка керамики. А затем будет идти речь об установке постоянных коронок.Вот фото коронок с разных сторон, если кому интересно. Изменено 16 октября, 2017 пользователем alix Ссылка на комментарий
alix Опубликовано 16 октября, 2017 Автор Поделиться Опубликовано 16 октября, 2017 Качественных фотографий ситуации "до" нет, но есть такое: Ссылка на комментарий
alix Опубликовано 3 ноября, 2017 Автор Поделиться Опубликовано 3 ноября, 2017 Поставили наконец-то керамические коронки (emax). Пока сохраняется чувствительность на накусывание на правой двойке и зубы в целом немного реагируют на горячее\холодное. Что-то более твердое, чем кусок курицы и бутер с сыром есть еще не пробовала. Надо затестить какую-нибудь морковку, но пока страшновато.Смыкание кажется все равно непривычным, но в этот раз техник гораздо лучше подогнал по прикусу, не было явного завышения и мешающих бугров. Возможно, нужно еще немного пришлифовать для полного комфорта.Слегка не угадала с цветом, в кабинете цвет казался нормальным, а дома осознала, что временные были более светлые. Впрочем, сейчас коронки лучше сочетаются с цветом родных зубов и выглядят натуральнее. Так что, может, и к лучшему.В общем, пока все не плохо, беспокоит только хруст в суставах челюсти. Уж не знаю, связано это с новыми коронками или нет. Ссылка на комментарий
red_butler Опубликовано 5 ноября, 2017 Поделиться Опубликовано 5 ноября, 2017 Тему можно закрывать? Ссылка на комментарий
alix Опубликовано 6 ноября, 2017 Автор Поделиться Опубликовано 6 ноября, 2017 Ну, я бы, пожалуй, отписывалась иногда сюда. Мне кажется в моей истории пока еще рановато ставить точку. Вдруг кому-то интересно. 1 Ссылка на комментарий
red_butler Опубликовано 6 ноября, 2017 Поделиться Опубликовано 6 ноября, 2017 Ну, я бы, пожалуй, отписывалась иногда сюда. Мне кажется в моей истории пока еще рановато ставить точку. Вдруг кому-то интересно.O'k Ссылка на комментарий
alix Опубликовано 20 декабря, 2017 Автор Поделиться Опубликовано 20 декабря, 2017 Прошло полтора месяца.Все еще не могу привыкнуть к смыканию. Есть ощущение, будто справа, в области клыка и четверки что-то мешает, когда плотно сжимаю зубы. Доктор пришлифовывал, но абсолютно ничего не поменялось. Тогда же он сказал, что не стал бы больше ничего подпиливать по высоте. По-прежнему беспокоит хруст в суставах. После еды чувство, будто зубы встают по-другому, ощущаю их совершенно не так, хотя визуально все как обычно. Через некоторое время смыкание постепенно возвращается в более привычное положение. Недавно стала замечать не сильную боль в мышцах в области щек. Сразу после протезирования появилась ксеростомия, во рту очень сухо, язык прилипает к небу, особенно ночью. Возможно это следствие моего заболевания (склеродермия), но настораживает, что это совпало именно с протезированием. Специалист по ВНЧС в той же самой клинике осмотрела меня, на словах отметила, что есть какие-то завышающие точки и мне приходится сильнее сжимать челюсть, чтобы сомкнулись седьмые зубы, на бумаге написала "дисфункция ВНЧС (справа) со смещением диска с восстановлением его положения, нейромышечная дисфункция" (если я все правильно расшифровала). Назначила мидокалм 150 на ночь, валерьянку, магнитолазер, структум и не откусывать пищу. Я пока начала прием мидокалма и стараюсь не кусать, на счет остальных назначений у меня есть сомнения в их эффективности... Попыталась передать информацию о завышающих точках своему ортопеду. Ответил, что лично пообщается с той женщиной, которая меня осмотрела и все у нее спросит, а потом перезвонит мне и назначит прием. Но никто пока так и не перезвонил. Никто не может внятно объяснить, почему мне дискомфортно. Я пытаюсь настоять на консилиуме и на каких-то более серьезных исследованиях, готова заплатить за это деньги, но врач упорствует. Спрашивает "какие исследования вы хотите?", а я не знаю, что отвечать, ведь это он врач и вроде как должен мне помочь.В интернете я читаю о том, что людям с хрустом и неудобным смыканием назначают ТРГ, аксиографию, МРТ, проверяют окклюзию и т.д. Мне же делали только ТРГ перед началом протезирования, когда никакого хруста я не замечала. Смыкание проверяли мой ортопед, специалист по ВНЧС и ортопед из другой клиники. Каждый делает это по своему при помощи разных копирок и у каждого разное мнение. Один считает, что все нормально, вторая, что есть небольшие завышения, третий, что не смыкается клык. Я совершенно запуталась и устала. Правильно ли я делаю, что пытаюсь добиться консилиума и более расширенной диагностики? Ссылка на комментарий
Рекомендуемые сообщения
Для публикации сообщений создайте учётную запись или авторизуйтесь
Вы должны быть пользователем, чтобы оставить комментарий
Создать аккаунт
Зарегистрируйте новый аккаунт в нашем сообществе. Это очень просто!
Регистрация нового пользователяВойти
Уже есть аккаунт? Войти в систему.
Войти