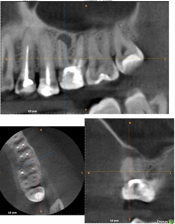
Mihail_op Опубликовано 14 сентября, 2017 Поделиться Опубликовано 14 сентября, 2017 Здравствуйте, подскажите, пожалуйста, На КТ у корня видна киста (?). Снаружи десны, ближе к щеке немного выпирает этот бугорок.Зуб не болит, не шатается, киста никак не проявляет себя, бугорок тоже не болит. Врач после панорамного снимка (до КТ) предложил вырвать и поставить имплант. Есть шанс вылечить зуб? Приложил скриншот.небольшое видео из программы файлы КТ https://yadi.sk/d/2YnW9hg33MojCv(.dcm) Ссылка на комментарий
red_butler Опубликовано 14 сентября, 2017 Поделиться Опубликовано 14 сентября, 2017 Есть шанс вылечить зуб? основное на что нужно смотреть это объем оставшихся твердых тканей и возможность протезирования зуба. Я бы рекомендовал начать с диагностического препарирования - убрать пломбу, если зуб можно восстановить коронкой, то преступать к лечению периодонтита. Но Вы должны понимать, что гарантии на успех не будет, а в финансовом плане это сопоставимо с имплантацией. 2 Ссылка на комментарий
Mihail_op Опубликовано 18 сентября, 2017 Автор Поделиться Опубликовано 18 сентября, 2017 спасибо, решил всё же попробовать.Можете порекомендовать, к кому обратиться? Территориально Москва (или область). Ссылка на комментарий
red_butler Опубликовано 18 сентября, 2017 Поделиться Опубликовано 18 сентября, 2017 Можете порекомендовать, к кому обратиться? http://forum.stom.ru/topic/4752-posovetujte-terapevta-v-gorode-n/ Ссылка на комментарий
Рекомендуемые сообщения
Для публикации сообщений создайте учётную запись или авторизуйтесь
Вы должны быть пользователем, чтобы оставить комментарий
Создать аккаунт
Зарегистрируйте новый аккаунт в нашем сообществе. Это очень просто!
Регистрация нового пользователяВойти
Уже есть аккаунт? Войти в систему.
Войти