catalystka Опубликовано 13 сентября, 2017 Поделиться Опубликовано 13 сентября, 2017 Уважаемые врачи, помогите, пожалуйста, советом! Брекеты стоят на вч с апреля 2016. Единички не хотели вставать куда надо, долго стояли перевернутой буквой V. Переклеили брекет, в итоге одна единичка длиннее другой. Врач настаивает на снятии, говорит, что этот зуб просто больше. Я этого не вижу на фото до лечения и на моделях Единичку подлиннее подпиливали, там сбоку была трещинка (на фото до лечения видна зазубринка). Врач предлагает неровность нафиг спилить, и визуально станет ок. Это оптимальное решение? http://s018.radikal.ru/i510/1709/79/52fa4fe89e58t.jpg http://s016.radikal.ru/i334/1709/f5/183dde60a1e8t.jpg Ссылка на комментарий
red_butler Опубликовано 14 сентября, 2017 Поделиться Опубликовано 14 сентября, 2017 Темы в данном разделе, требуют больший объем объективных данных.http://forum.stom.ru/topic/4655-patcientam/ Ссылка на комментарий
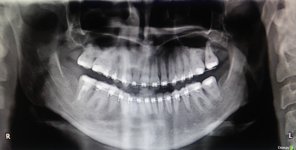
catalystka Опубликовано 14 сентября, 2017 Автор Поделиться Опубликовано 14 сентября, 2017 Готово! ОПТГ, правда, майская, до переклейки брекета. Ссылка на комментарий
red_butler Опубликовано 14 сентября, 2017 Поделиться Опубликовано 14 сентября, 2017 3. Фото с сомкнутыми зубами (сомкнуть все зубы) спереди, справа и слева. На фото справа и слева должны быть видны зубы от центрального резца до шестого. Ссылка на комментарий
catalystka Опубликовано 14 сентября, 2017 Автор Поделиться Опубликовано 14 сентября, 2017 По пятый зуб подойдет? У меня так рот широко не открывается.. Ссылка на комментарий
Рекомендуемые сообщения
Для публикации сообщений создайте учётную запись или авторизуйтесь
Вы должны быть пользователем, чтобы оставить комментарий
Создать аккаунт
Зарегистрируйте новый аккаунт в нашем сообществе. Это очень просто!
Регистрация нового пользователяВойти
Уже есть аккаунт? Войти в систему.
Войти