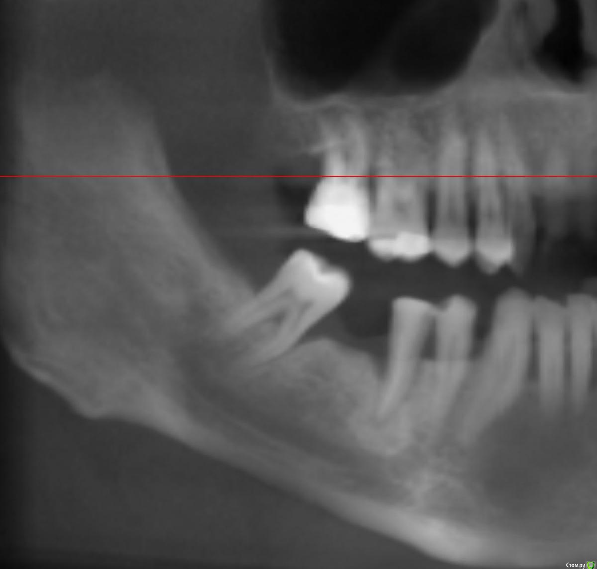
x4ex Опубликовано 8 сентября, 2017 Поделиться Опубликовано 8 сентября, 2017 Добрый день, коллеги! Планируется удаление 45 с последующей имплантацией. Но также нужно медиализировать 44 и дистализировать 47. Чем можно выполнить данное задание? Подойдёт ли EZSpacer? Есть ли другие аппараты для данных целей? Ссылка на комментарий
Brigita Опубликовано 8 сентября, 2017 Поделиться Опубликовано 8 сентября, 2017 http://pumpagroup.ru/orthodontic/special_facilities/152/это имеете ввиду? Получится только наклонить 44 этой штукой. Для 47 нужны вещи по серьезнее. Ссылка на комментарий
x4ex Опубликовано 8 сентября, 2017 Автор Поделиться Опубликовано 8 сентября, 2017 http://pumpagroup.ru/orthodontic/special_facilities/152/это имеете ввиду?Получится только наклонить 44 этой штукой. Для 47 нужны вещи по серьезнее.я вообще имел в виду вот эту штуку, но может есть что-то ещё, чего я не знаю. http://www.ezspacer.co.kr/gallery_img/1153801706_54_54.gif Ссылка на комментарий
Brigita Опубликовано 9 сентября, 2017 Поделиться Опубликовано 9 сентября, 2017 Много есть вариантов, ортодонту покажите. Или вы сами хотели сделать? Ссылка на комментарий
zubovolok Опубликовано 9 сентября, 2017 Поделиться Опубликовано 9 сентября, 2017 http://pumpagroup.ru/orthodontic/special_facilities/152/это имеете ввиду? Получится только наклонить 44 этой штукой. Для 47 нужны вещи по серьезнее.А вы использовали такое? Поделитесь опытом Ссылка на комментарий
Brigita Опубликовано 9 сентября, 2017 Поделиться Опубликовано 9 сентября, 2017 (изменено) Я не использовала, так как смысла в этом нет. Чаще всего нужны конструкции с опорой более прочной. Забейте в интернете " апрайтинг моляров" выпрямление моляров" дистализация с миниимплантами.Посмотрите варианты установки миниимпланта в ретромолярное пространство. Можно рассмотреть кантиливер на миниимпланте или частичной брекет системе с миниимплантами. Просто премолчр не выдержит нагрузки.И потом - корень у него изогнут- он не переместмтся, он просто наклониться Изменено 9 сентября, 2017 пользователем Brigita Ссылка на комментарий
zubovolok Опубликовано 10 сентября, 2017 Поделиться Опубликовано 10 сентября, 2017 Спасибо, все изучу. Ссылка на комментарий
Ibulat_1986 Опубликовано 18 сентября, 2017 Поделиться Опубликовано 18 сентября, 2017 вокруг 45 кратеообразный дефект - перемещать его лучше ортодонтически, в идеале подключить имплантат через временную коронку Ссылка на комментарий
x4ex Опубликовано 20 сентября, 2017 Автор Поделиться Опубликовано 20 сентября, 2017 Brigita, да нет, не обязательно сам. Просто ортодонт будет склонять к миниимплантам, а пациент их не потянет. Поэтому хотелось бы что-то подешевле и посердитее)Повторюсь, 45 идёт на удаление. Ссылка на комментарий
Рекомендуемые сообщения
Для публикации сообщений создайте учётную запись или авторизуйтесь
Вы должны быть пользователем, чтобы оставить комментарий
Создать аккаунт
Зарегистрируйте новый аккаунт в нашем сообществе. Это очень просто!
Регистрация нового пользователяВойти
Уже есть аккаунт? Войти в систему.
Войти