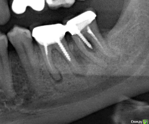
Nighten Опубликовано 6 сентября, 2017 Поделиться Опубликовано 6 сентября, 2017 День добрый! Итак, гранулёма. Да, знаю, что штифт тоже сделан криво. Но, по гранулёме: неужели современная медицина не может предложить ничего, кроме удаления??? Ссылка на комментарий
red_butler Опубликовано 7 сентября, 2017 Поделиться Опубликовано 7 сентября, 2017 Что беспокоит? И о каком зубе речь? Ссылка на комментарий
DmitrySH Опубликовано 7 сентября, 2017 Поделиться Опубликовано 7 сентября, 2017 День добрый! Итак, гранулёма. Да, знаю, что штифт тоже сделан криво. Но, по гранулёме: неужели современная медицина не может предложить ничего, кроме удаления???Сложность не в гранулеме, а в ненадежности самих зубов после лечения. Ссылка на комментарий
dok1 Опубликовано 7 сентября, 2017 Поделиться Опубликовано 7 сентября, 2017 В вашем случае - в зубе, где "штифт криво" ничего нельзя сделать кроме удаления. 4 Ссылка на комментарий
Рекомендуемые сообщения
Для публикации сообщений создайте учётную запись или авторизуйтесь
Вы должны быть пользователем, чтобы оставить комментарий
Создать аккаунт
Зарегистрируйте новый аккаунт в нашем сообществе. Это очень просто!
Регистрация нового пользователяВойти
Уже есть аккаунт? Войти в систему.
Войти