Перейти к содержанию
Стоматология для всех

рассасывание к.ткани, что сделать с зубом?


Mihail_op

Рекомендуемые сообщения

Здравствуйте!

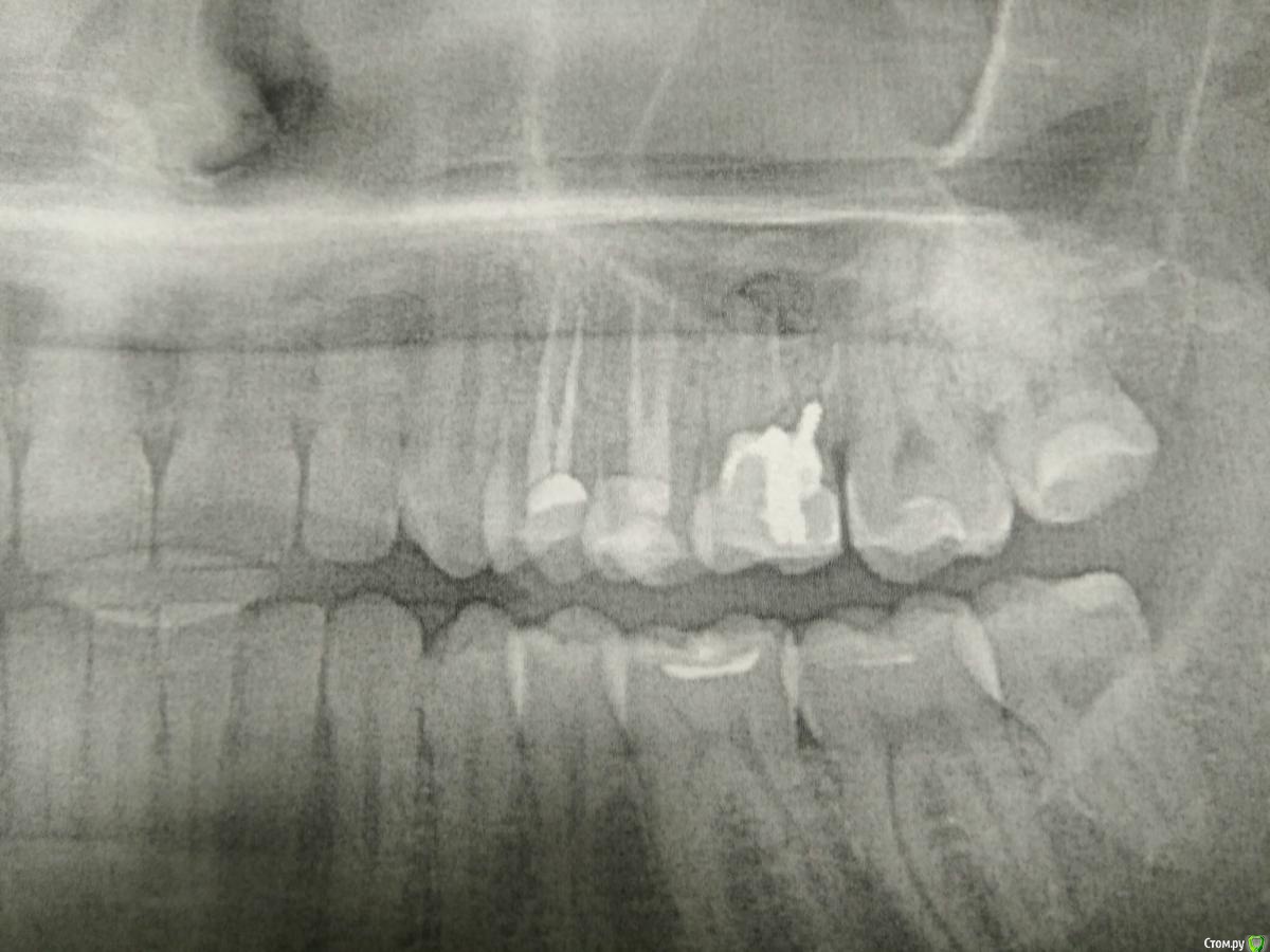
первый раз сделали панорамный снимок, вскрылась проблема.

 

со слов стоматолога: зуб шестёрка (на снимке сверху справа) - стоит непонятная полу-коронка со штифтом, каналы не были заделаны (правильно?), рассасывание костной ткани, хроническое воспаление, рядом пазуха и есть щели с соседними зубами 5, 7.

Её рекомендация - 

1) удалить поскорее, далее заживление 3-.. месяцев и имплант, 

2) имплант с коронкой на этот и два соседних зуба (5,4) - потому что пломбы, судя по снимку, глубокие. 

 

от меня: щели 6-5 6-7 беспокоят, постоянно забивается пища, потемнение эмали там.

ещё есть щель 5-4, но там, скорее, можно поправить пломбу.

Зуб 6 делали несколько лет назад.

 

Что лучше сделать с зубом 6?

Оправдана ли коронка?

post-52425-0-18964600-1504603674_thumb.jpg

post-52425-0-05718100-1504603676_thumb.jpg

Изменено пользователем Mihail_op
Ссылка на комментарий

Для публикации сообщений создайте учётную запись или авторизуйтесь

Вы должны быть пользователем, чтобы оставить комментарий

Создать аккаунт

Зарегистрируйте новый аккаунт в нашем сообществе. Это очень просто!

Регистрация нового пользователя

Войти

Уже есть аккаунт? Войти в систему.

Войти
×
×
  • Создать...
Вверх