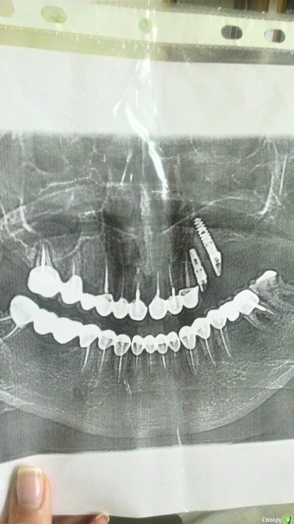
Надежда В. Опубликовано 29 августа, 2017 Поделиться Опубликовано 29 августа, 2017 (изменено) Уважаемые специалисты! Нужны ваши мнения по поводу целесообразности удаления прижившегося импланта. Он был поставлен около 2 лет назад в верхнюю челюсть. Ничего не беспокоило, а 2 недели назад начался левоосторонний гайморит. Как выяснилось, имплант торчит в гайморовой пазухе. На данный момент гайморит практически пролечен. Лор говорит, что надо проконсультироваться со стоматологами по поводу удаления импланта. Стоматологи говорят, что решение об удалении я должна принять сама. Изменено 29 августа, 2017 пользователем Надежда В. Ссылка на комментарий
red_butler Опубликовано 29 августа, 2017 Поделиться Опубликовано 29 августа, 2017 http://forum.stom.ru/topic/20613-sovety-patcientam-obiazatelno-k-prochteniiu/ Ссылка на комментарий
Bier Опубликовано 29 августа, 2017 Поделиться Опубликовано 29 августа, 2017 http://implantarium.ru/%d0%b8%d0%bc%d0%bf%d0%bb%d0%b0%d0%bd%d1%82%d0%b0%d1%82%d1%8b-%d0%b2-%d1%81%d0%b8%d0%bd%d1%83%d1%81%d0%b5/ 1 Ссылка на комментарий
Надежда В. Опубликовано 29 августа, 2017 Автор Поделиться Опубликовано 29 августа, 2017 Я так понимаю, что имплантат сам по себе может и не вызывать проблем. Но ведь гайморит начался. Боюсь, что он может стать хроническим. А удаление импланта не приведет к еще большим проблемам? http://implantarium.ru/%d0%b8%d0%bc%d0%bf%d0%bb%d0%b0%d0%bd%d1%82%d0%b0%d1%82%d1%8b-%d0%b2-%d1%81%d0%b8%d0%bd%d1%83%d1%81%d0%b5/ Ссылка на комментарий
Bier Опубликовано 29 августа, 2017 Поделиться Опубликовано 29 августа, 2017 у вас с другой стороны зуб - очаг инфекции. А гайморит бывает и не связанный с зубами. Более того для понимания расположения имплантата нужно посмотреть КТ, а не панорамный снимок. Ссылка на комментарий
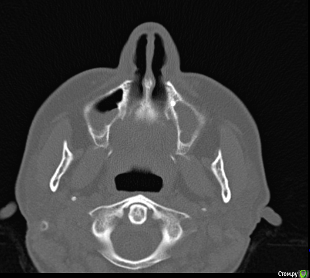
Надежда В. Опубликовано 29 августа, 2017 Автор Поделиться Опубликовано 29 августа, 2017 С другой стороны киста уже давно. КТ добавила. у вас с другой стороны зуб - очаг инфекции. А гайморит бывает и не связанный с зубами. Более того для понимания расположения имплантата нужно посмотреть КТ, а не панорамный снимок. Ссылка на комментарий
red_butler Опубликовано 4 сентября, 2017 Поделиться Опубликовано 4 сентября, 2017 КТ добавила. покажите всю Кт 1 Ссылка на комментарий
Надежда В. Опубликовано 4 сентября, 2017 Автор Поделиться Опубликовано 4 сентября, 2017 Не знаю, как это сделать. Завтра попробую добавить. покажите всю Кт Ссылка на комментарий
Bier Опубликовано 5 сентября, 2017 Поделиться Опубликовано 5 сентября, 2017 С другой стороны киста уже давно. КТ добавила.Так киста это хроническое воспаление, которое может обостряться периодически. Ссылка на комментарий
red_butler Опубликовано 5 сентября, 2017 Поделиться Опубликовано 5 сентября, 2017 Не знаю, как это сделать. Завтра попробую добавить.http://forum.stom.ru/topic/10677-kak-vylozhit-kt-na-saite/ Ссылка на комментарий
Рекомендуемые сообщения
Для публикации сообщений создайте учётную запись или авторизуйтесь
Вы должны быть пользователем, чтобы оставить комментарий
Создать аккаунт
Зарегистрируйте новый аккаунт в нашем сообществе. Это очень просто!
Регистрация нового пользователяВойти
Уже есть аккаунт? Войти в систему.
Войти