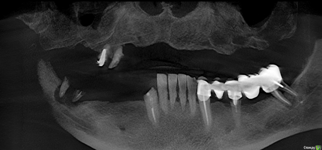
kamranchick Опубликовано 25 августа, 2017 Поделиться Опубликовано 25 августа, 2017 Планируется на днях работа, дилеры забыли прислать временные имплантаты...Планируется 6 имплантатов.Договорился с ортопедом сделать сьемный протез через несколько дней...как считаете лучше, сделать на фдмках протез, либо вокруг формирователей чтобы давление было. Ссылка на комментарий
АнтонТЛТ Опубликовано 25 августа, 2017 Поделиться Опубликовано 25 августа, 2017 В зависимости от торка) Ссылка на комментарий
kamranchick Опубликовано 26 августа, 2017 Автор Поделиться Опубликовано 26 августа, 2017 Планирую получить хороший торк вроде имплики и косточка позволяет это сделать.) Ссылка на комментарий
АнтонТЛТ Опубликовано 26 августа, 2017 Поделиться Опубликовано 26 августа, 2017 Тогда с опорой. Если будут сомнения, тогда второй вариант с корегой Ссылка на комментарий
kamranchick Опубликовано 26 августа, 2017 Автор Поделиться Опубликовано 26 августа, 2017 добро) спасибо) Ссылка на комментарий
kamranchick Опубликовано 27 августа, 2017 Автор Поделиться Опубликовано 27 августа, 2017 (изменено) Везде по 25 получил Изменено 27 августа, 2017 пользователем kamranchick Ссылка на комментарий
АнтонТЛТ Опубликовано 28 августа, 2017 Поделиться Опубликовано 28 августа, 2017 Чтобы облегчить жизнь ортопеду, можно было резецировать кость и ставить имплантаты по одному уровню 1 Ссылка на комментарий
kamranchick Опубликовано 29 августа, 2017 Автор Поделиться Опубликовано 29 августа, 2017 Чтобы облегчить жизнь ортопеду, можно было резецировать кость и ставить имплантаты по одному уровнюдумаю резорбирируется со временем, и будут на одном уровне)) Ссылка на комментарий
Рекомендуемые сообщения
Для публикации сообщений создайте учётную запись или авторизуйтесь
Вы должны быть пользователем, чтобы оставить комментарий
Создать аккаунт
Зарегистрируйте новый аккаунт в нашем сообществе. Это очень просто!
Регистрация нового пользователяВойти
Уже есть аккаунт? Войти в систему.
Войти