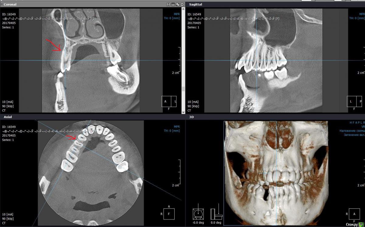
Monkey Опубликовано 25 августа, 2017 Поделиться Опубликовано 25 августа, 2017 (изменено) Коллеги, очень нужен совет. пациентке 20 лет. Как вы расширяете зубной ряд в похожих ситуация? На каких дугах? Какая активация, как часто? Стоит ли пробовать кросс-эластики? И реально ли избежать резорбции кортикалки? Изменено 25 августа, 2017 пользователем Monkey Ссылка на комментарий
Opdihatop Опубликовано 25 августа, 2017 Поделиться Опубликовано 25 августа, 2017 В таких случаях стараюсь убедить на SARPE. Если не выходит, то нивелирую инклинацию и делаю послабление небного шва и RME. По идее лучше всего делать MARPE, но личного опыта в этой методике пока не приобрел. Режим активации зависит от выбранной методики. 1 Ссылка на комментарий
Yana guapa Опубликовано 25 августа, 2017 Поделиться Опубликовано 25 августа, 2017 мой похожий кейс закончился сарпе и члх..... ну и самолиги в помощь в любой ситуации, где ходите добиться бОльшего ремоделирования кости. 1 Ссылка на комментарий
Monkey Опубликовано 26 августа, 2017 Автор Поделиться Опубликовано 26 августа, 2017 В можно попрдробнее про SARPE? Какой режим активации? Как долго носить? Вопрос ретенции расширения? Как пациенты переносят вмешательство? Ссылка на комментарий
Monkey Опубликовано 26 августа, 2017 Автор Поделиться Опубликовано 26 августа, 2017 мой похожий кейс закончился сарпе и члх..... ну и самолиги в помощь в любой ситуации, где ходите добиться бОльшего ремоделирования кости. А как связаны самолиги и ремоделировпние кости? 1 Ссылка на комментарий
Yana guapa Опубликовано 26 августа, 2017 Поделиться Опубликовано 26 августа, 2017 А как связаны самолиги и ремоделировпние кости?при использовании системы пассивного самолигирования ремоделирование идет мягче и лучше. уж цифр я вам здесь не напишу, но мнение большинства ортодонтов и практика доказывают именно это.мне много пришлось переклеить полностью систему, и только после этого легче пошел процесс. про сарпе: пациенты переносят нормально. 1 день в стационаре после операции (некоторые даже не оставляют на ночь, но я делала совместно с Андреем Николаевичем, он настоял на стационаре) сразу начали активировать. давно было, кажется утром и вечером по 1 обороту . Стальная дуга держала результат. Сняла аппарат месяцев через 6..... (давно было, если честно точные даты не помню уже) Ссылка на комментарий
Monkey Опубликовано 26 августа, 2017 Автор Поделиться Опубликовано 26 августа, 2017 при использовании системы пассивного самолигирования ремоделирование идет мягче и лучше. уж цифр я вам здесь не напишу, но мнение большинства ортодонтов и практика доказывают именно это.мне много пришлось переклеить полностью систему, и только после этого легче пошел процесс. про сарпе: пациенты переносят нормально. 1 день в стационаре после операции (некоторые даже не оставляют на ночь, но я делала совместно с Андреем Николаевичем, он настоял на стационаре) сразу начали активировать. давно было, кажется утром и вечером по 1 обороту . Стальная дуга держала результат. Сняла аппарат месяцев через 6..... (давно было, если честно точные даты не помню уже) Спасибо большое Ссылка на комментарий
Maxfac Опубликовано 27 августа, 2017 Поделиться Опубликовано 27 августа, 2017 сразу начали активироватьУверены¿ Ссылка на комментарий
Yana guapa Опубликовано 27 августа, 2017 Поделиться Опубликовано 27 августа, 2017 Уверены¿конечно! сразу в конце перации Ссылка на комментарий
Opdihatop Опубликовано 27 августа, 2017 Поделиться Опубликовано 27 августа, 2017 конечно! сразу в конце перации Я тоже обычно жду, пока раны заживут... хотя бы дней пять. Ссылка на комментарий
Yana guapa Опубликовано 27 августа, 2017 Поделиться Опубликовано 27 августа, 2017 Я тоже обычно жду, пока раны заживут... хотя бы дней пять.ну не я здесь принимала решение, хирург активировал. Ссылка на комментарий
Opdihatop Опубликовано 27 августа, 2017 Поделиться Опубликовано 27 августа, 2017 хирург активировал Хирурги, они такие. :-) Ссылка на комментарий
Maxfac Опубликовано 27 августа, 2017 Поделиться Опубликовано 27 августа, 2017 конечно! сразу в конце перацииЯна, вы наверное, не разобрались. САРПЕ - это по сути компрессионно-дистракционный остеогенез, который не сработает, если отсутствует компрессионная фаза (5-7 дней). То, что хирург делает в конце операции: разводит фрагменты, затем (внимание!) сводит их обратно в компрессию - это проверка вектора дистракции. После пятых (седьмых) суток начинается дистракционный этап, по 1 мм в сутки. На стандартном винте Дерихсвайлера это 6 "меток" в день (4 метки=полный оборот + 2 "метки" на откат) - то есть по 3 утром и вечером с периодом в 12 часов. 1 Ссылка на комментарий
Yana guapa Опубликовано 27 августа, 2017 Поделиться Опубликовано 27 августа, 2017 Яна, вы наверное, не разобрались. САРПЕ - это по сути компрессионно-дистракционный остеогенез, который не сработает, если отсутствует компрессионная фаза (5-7 дней). То, что хирург делает в конце операции: разводит фрагменты, затем (внимание!) сводит их обратно в компрессию - это проверка вектора дистракции. После пятых (седьмых) суток начинается дистракционный этап, по 1 мм в сутки. На стандартном винте Дерихсвайлера это 6 "меток" в день (4 метки=полный оборот + 2 "метки" на откат) - то есть по 3 утром и вечером с периодом в 12 часов.возможно. говорю со слов пациента (он мне так передал) но по 3 оборота мы точно не крутили. максимально - 2 было. Ссылка на комментарий
Maxfac Опубликовано 27 августа, 2017 Поделиться Опубликовано 27 августа, 2017 (изменено) возможно. говорю со слов пациента (он мне так передал) но по 3 оборота мы точно не крутили. максимально - 2 было. Я имел в виду 1,5 оборота в сутки (540 гр). Пол-оборота (180 гр) на откат - получается 360 гр = 1 мм. Что согласуется с классическим учением о КДО. Изменено 27 августа, 2017 пользователем Maxfac Ссылка на комментарий
Opdihatop Опубликовано 27 августа, 2017 Поделиться Опубликовано 27 августа, 2017 Я имел в виду 1,5 оборота в сутки (540 гр). Пол-оборота (180 гр) на откат - получается 360 гр = 1 мм. Что согласуется с классическим учением о КДО А откат самопроизвольно происходит, или это пациент два обората назад должен делать? Просто я тоже по два, а не по три оборота делаю... Ссылка на комментарий
Maxfac Опубликовано 27 августа, 2017 Поделиться Опубликовано 27 августа, 2017 Самопроизвольно, и это далеко не точные цифры, так как все индивидуально и коррелирует как с техникой проведения операции, так и с особенностями организма. Но это моя схема, и она работает. 2 Ссылка на комментарий
Kazankov.Egor Опубликовано 29 августа, 2017 Поделиться Опубликовано 29 августа, 2017 В таких случаях стараюсь убедить на SARPE. Если не выходит, то нивелирую инклинацию и делаю послабление небного шва и RME. По идее лучше всего делать MARPE, но личного опыта в этой методике пока не приобрел. Режим активации зависиот от выбранной методики.Что такое RME? Где можно пройти обучение по этим методикам и режимам активации? Ссылка на комментарий
Brigita Опубликовано 29 августа, 2017 Поделиться Опубликовано 29 августа, 2017 Быстрое небное расширение так называют.Дерихсвайлер, аппарат Бидермана, Марко Росса- это все оно. Ссылка на комментарий
Kazankov.Egor Опубликовано 6 сентября, 2017 Поделиться Опубликовано 6 сентября, 2017 Самопроизвольно, и это далеко не точные цифры, так как все индивидуально и коррелирует как с техникой проведения операции, так и с особенностями организма. Но это моя схема, и она работает.Кто может научить этому? Вы этой схемой пользуетесь для каждого пациента?(к части про особенности корреляции) Ссылка на комментарий
Maxfac Опубликовано 6 сентября, 2017 Поделиться Опубликовано 6 сентября, 2017 Кто может научить этому? Вы этой схемой пользуетесь для каждого пациента?(к части про особенности корреляции)Во всех случаях при работе с аппаратом, в основе которого лежит винт Дерихсвайлера. Схема не подводила. Но у меня подход к остеотомии при SARPE довольно радикальный: общая анестезия, Фор-1, остеотомия по небному шву, даже отбиваю верхнюю челюсть от бугров. Подозреваю, что при остеотомии только по небному шву откат может быть больше. Ссылка на комментарий
Brigita Опубликовано 7 сентября, 2017 Поделиться Опубликовано 7 сентября, 2017 разве есть такая методика? (только по небному ) Ссылка на комментарий
Maxfac Опубликовано 7 сентября, 2017 Поделиться Опубликовано 7 сентября, 2017 разве есть такая методика? (только по небному )Каэшн. Чего только нет) Тот же Альфаро (не к ночи) это делает под местной прямо в кресле. Ссылка на комментарий
Kazankov.Egor Опубликовано 7 сентября, 2017 Поделиться Опубликовано 7 сентября, 2017 (изменено) Каэшн. Чего только нет) Тот же Альфаро (не к ночи) это делает под местной прямо в кресле.Вы хирург или (и) ортодонт? Изменено 7 сентября, 2017 пользователем Kazankov.Egor Ссылка на комментарий
Brigita Опубликовано 7 сентября, 2017 Поделиться Опубликовано 7 сентября, 2017 Каэшн. Чего только нет) Тот же Альфаро (не к ночи) это делает под местной прямо в кресле.у взрослых?Мне кажется это бессмысленно, нет?а у детей RME достаточно - одной ортодонтией на быстром небном расширении. Или я ошибаюсь? Ссылка на комментарий
Рекомендуемые сообщения
Для публикации сообщений создайте учётную запись или авторизуйтесь
Вы должны быть пользователем, чтобы оставить комментарий
Создать аккаунт
Зарегистрируйте новый аккаунт в нашем сообществе. Это очень просто!
Регистрация нового пользователяВойти
Уже есть аккаунт? Войти в систему.
Войти