Перейти к содержанию
Стоматология для всех

Ретенированные клыки


patient1988

Рекомендуемые сообщения

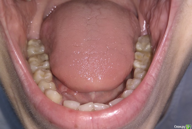
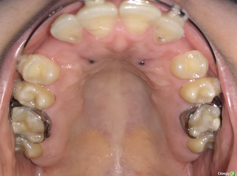
Добрый день. Уважаемые специалисты, прошу совета, БС была установлена в 2015 году, тогда же удалены молочные клыки, ортодонт сказал, что можно вытянуть, но как оказалось не все это могут сделать. Был сделан доступ к постоянным клыкам с небной стороны, приклеены кнопки, установлены лигатуры в области первых премоляров. В 2015-2016 была беременность. Примерно в феврале 2017 лигатуры были заменены на микроимплантаты в области первого моляра с небной стороны и установлены металлические лигатуры. В итоге - движение не наблюдается. Вопрос - можно ли еще пробовать их вытянуть или же делать радикально - удаление и имплантация, или после удаления можно сместить премоляры и моляры вперед?

post-52312-0-47505800-1503484133_thumb.jpg

post-52312-0-78994700-1503484138_thumb.jpg

post-52312-0-03325400-1503484604_thumb.jpg

post-52312-0-47173100-1503484623_thumb.jpg

post-52312-0-27890700-1503484629_thumb.jpg

post-52312-0-20497200-1503484635_thumb.jpg

post-52312-0-85767800-1503484644_thumb.jpg

Ссылка на комментарий

Что именно необходимо ? ТРГ нет, модели есть, еще до начала лечения, есть КТ( какие срезы нужны?), может быть подскажите ортодонта в Курске, Белгороде, Орле, Воронеже, Липецке?

Ссылка на комментарий
  • 2 недели спустя...

 

 

ТРГ нет

сделайте

 

 

модели есть, еще до начала лечения

покажите

 

 

может быть подскажите ортодонта в Курске, Белгороде, Орле, Воронеже, Липецке?

 http://forum.stom.ru/topic/4747-posovetujte-ortodonta-v-gorode-n/

Ссылка на комментарий

Для публикации сообщений создайте учётную запись или авторизуйтесь

Вы должны быть пользователем, чтобы оставить комментарий

Создать аккаунт

Зарегистрируйте новый аккаунт в нашем сообществе. Это очень просто!

Регистрация нового пользователя

Войти

Уже есть аккаунт? Войти в систему.

Войти
×
×
  • Создать...
Вверх