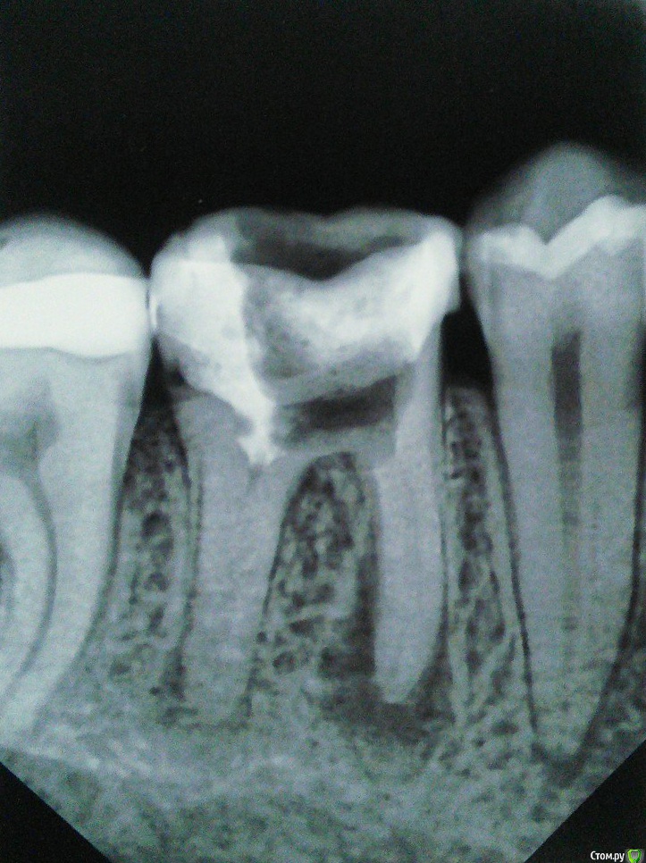
Bubnov Опубликовано 22 августа, 2017 Поделиться Опубликовано 22 августа, 2017 (изменено) Здравствуйте!В наличии:- Немного шатается 45-й зуб;- Припухла щека-челюсть, зуб почти всегда болит, десна воспалилась;- Заделанные резорцином (могу ошибаться) каналы зуба.Врач очистил зуб от пломбы и уперся в эти корни, которые, как он сказал - "прочистить и добраться до воспаления невозможно". Подскажите, возможно ли такое вылечить? Изменено 22 августа, 2017 пользователем Bubnov Ссылка на комментарий
red_butler Опубликовано 22 августа, 2017 Поделиться Опубликовано 22 августа, 2017 удалять 1 Ссылка на комментарий
St. Опубликовано 22 августа, 2017 Поделиться Опубликовано 22 августа, 2017 (изменено) Да, скорее всего резорцин. Гипотетически воспаление на корнях возможно лечить, но учитывая сколько от зуба осталось своих тканей, я за удаление. Зуб по номеру 46 Изменено 22 августа, 2017 пользователем St. 2 Ссылка на комментарий
Бендер Опубликовано 22 августа, 2017 Поделиться Опубликовано 22 августа, 2017 Прогноз даже при идеальном лечении каналов не самый радужный Ссылка на комментарий
IvanK Опубликовано 23 августа, 2017 Поделиться Опубликовано 23 августа, 2017 +1, удалять, чем раньше, тем лучше Ссылка на комментарий
Bubnov Опубликовано 23 августа, 2017 Автор Поделиться Опубликовано 23 августа, 2017 Печально. Думал хоть коронку или штифт какой вставить. Посмотрите еще, пожалуйста, на зуб что левее сабжа. Он так же болен? Ссылка на комментарий
IvanK Опубликовано 24 августа, 2017 Поделиться Опубликовано 24 августа, 2017 нужно смотреть в полости рта Ссылка на комментарий
Рекомендуемые сообщения
Для публикации сообщений создайте учётную запись или авторизуйтесь
Вы должны быть пользователем, чтобы оставить комментарий
Создать аккаунт
Зарегистрируйте новый аккаунт в нашем сообществе. Это очень просто!
Регистрация нового пользователяВойти
Уже есть аккаунт? Войти в систему.
Войти