valenkos Опубликовано 20 августа, 2017 Поделиться Опубликовано 20 августа, 2017 Здравствуйте! Уважаемые стоматологи, очень нужен Ваш совет. Над зубом с коронкой появился свищ. Коронку сняла, около месяца ходила без коронки, полоскала водой с солью, свищ не делся. Сделала 3D снимок. Посоветуйте, что делать далее. Вот ссылка на снимок https://fex.net/#!952190258848 Проблемы с верхним угловым зубом с левой стороны. Ссылка на комментарий
DmitrySH Опубликовано 20 августа, 2017 Поделиться Опубликовано 20 августа, 2017 Здравствуйте, выложите снимок на форум. ссылка не работает Ссылка на комментарий
red_butler Опубликовано 20 августа, 2017 Поделиться Опубликовано 20 августа, 2017 Ссылка "битая" Ссылка на комментарий
valenkos Опубликовано 20 августа, 2017 Автор Поделиться Опубликовано 20 августа, 2017 Дело в том, что там 3d снимок, я не знаю как его выложить, там программа. Вот правильная ссылка https://fex.net/#!952190258848 Ссылка на комментарий
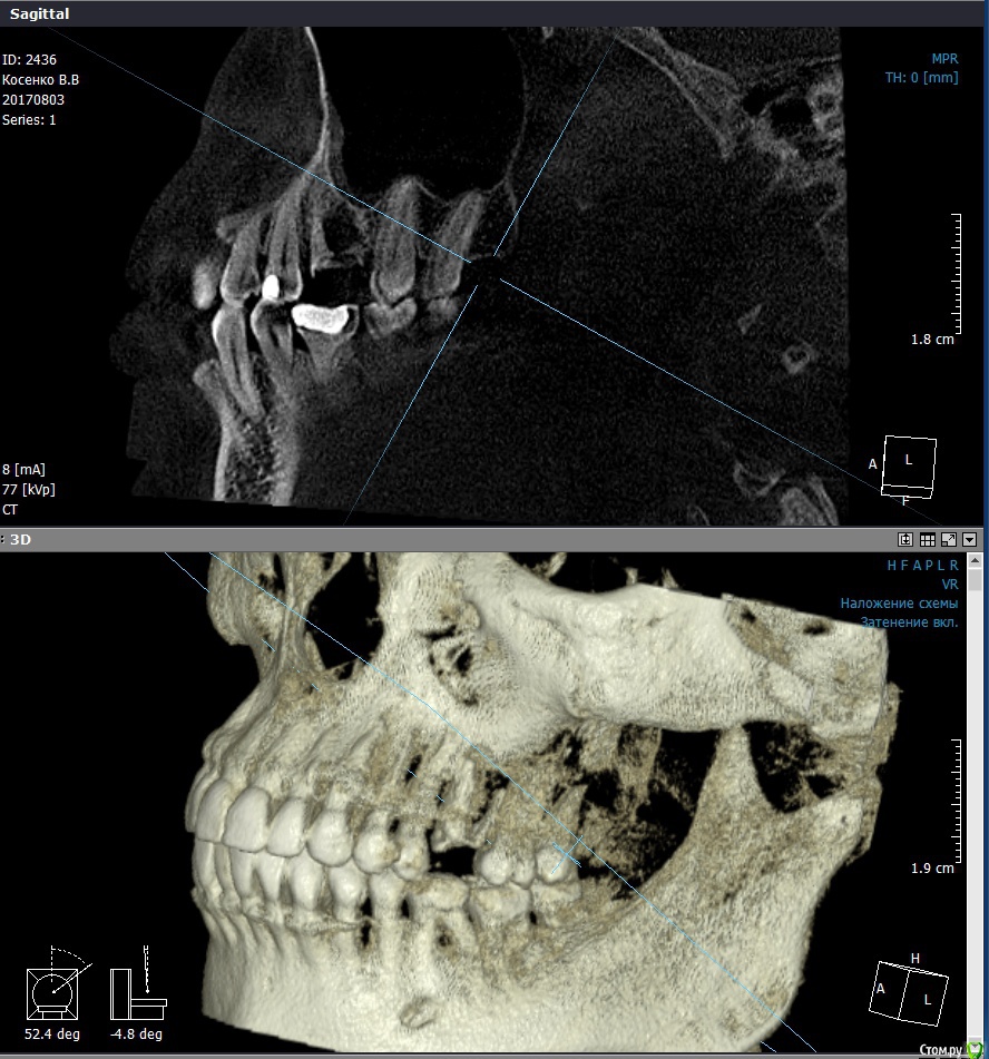
valenkos Опубликовано 21 августа, 2017 Автор Поделиться Опубликовано 21 августа, 2017 Сделала скриншоты, пожалуйста, посмотрите Ссылка на комментарий
valenkos Опубликовано 21 августа, 2017 Автор Поделиться Опубликовано 21 августа, 2017 (изменено) Остальные картинки в архиве, так как больше картинок вставить не получаетсяhttps://www.dropbox.com/s/935ee0acbvn775s/Pics.zip?dl=0 Изменено 21 августа, 2017 пользователем valenkos Ссылка на комментарий
Alejandro Опубликовано 22 августа, 2017 Поделиться Опубликовано 22 августа, 2017 Удалять Ссылка на комментарий
red_butler Опубликовано 22 августа, 2017 Поделиться Опубликовано 22 августа, 2017 Удалять Ссылка на комментарий
valenkos Опубликовано 22 августа, 2017 Автор Поделиться Опубликовано 22 августа, 2017 а что дальше можно сделать? Я живу в маленьком городке, здесь предлагают делать мостик, но ведь тогда будут портиться соседние зубы... Ссылка на комментарий
Alejandro Опубликовано 22 августа, 2017 Поделиться Опубликовано 22 августа, 2017 Ищите хорошего имплантолога, привязка к месту жительства - плохая мотивация. 1 Ссылка на комментарий
valenkos Опубликовано 22 августа, 2017 Автор Поделиться Опубликовано 22 августа, 2017 Спасибо большое за советы Ссылка на комментарий
red_butler Опубликовано 22 августа, 2017 Поделиться Опубликовано 22 августа, 2017 Спасибо большое за советыТему можно закрывать? Ссылка на комментарий
valenkos Опубликовано 22 августа, 2017 Автор Поделиться Опубликовано 22 августа, 2017 Да, спасибо Ссылка на комментарий
Рекомендуемые сообщения