Перейти к содержанию
Стоматология для всех

Сверхчувствительный зуб или периодонтит после лечения пришеечного кариеса


NatalyaKerch

Рекомендуемые сообщения

Здравствуйте! Прошу помощи! Я в растерянности, лечащий стоматолог говорит, всё, что мог сделал.

В апреле пролечила неглубокий пришеечный кариес 4 нижнего левого зуба. До лечения зуб болел только при нажатии на боковую сторону, не на жевательную, в покое не беспокоил вообще. После лечения (когда уже и десна от вмешательства зажила) боль при нажатии на пломбу, при попадании пищи на боковую сторону зуба, при чистке зуба очень сильная боль, аж до передергивания. Обратилась за консультацией к тому же врачу: всё хорошо, всё пройдет, применяйте пасту для чувствительных зубов.

Потерпела до июня. Не прошло. Обратилась к другому стоматологу. Наложили более толстый слой пломбы, интенсивность боли уменьшилась, но при нажатии на определенную полоску на боковой поверхности зуба всё равно боль. Плюс к этому на жевательной области закрыли пломбами фиссуры и стало больно и просто жевать! На тот момент были обычные рентгеновские снимки, на них проблемы не видели.

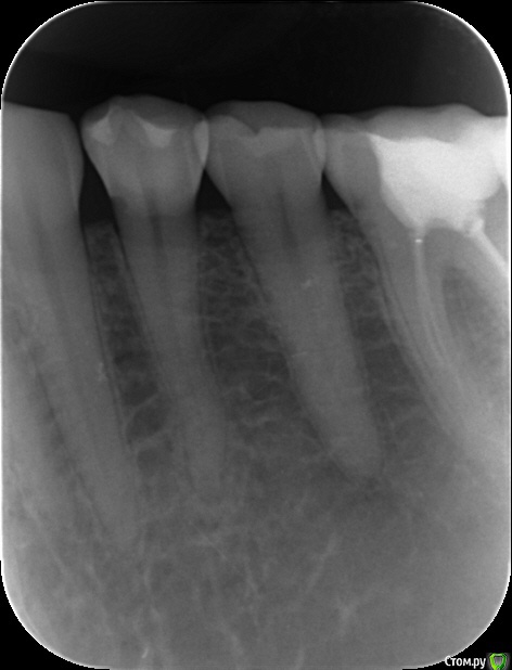
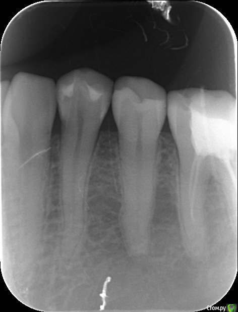
В июле обратилась в стоматологию, в которой был в наличии Бифлюорид. И там на цифровом рентгене (снимок прилагаю) диагностировали еще один пришеечный кариес. Пролечили. Боль с жевательной поверхности исчезла. Но до боковой поверхности дотронуться невозможно. Болеть стало уже на стоматологическом кресле при шлифовке при отхождении действия укола. Потерпела, сколько могла. Пришла в августе опять. Опять наложили более толстый слой. Опять лучше, но боль есть.

 

На сегодняшний день. В покое зуб не беспокоит. Сверху над проблемным зубом зуба нет, так что жевательная нагрузка почти нулевая. На холодное -горячее просто чувствительность, не боль. При нажатии ногтем на боковую поверхность сильная боль. При чистке зуба сильная боль. Десна с отеком, болит терпимо, состояние десны улучшается. Нервы не удаляли. Со слов врачей зуб витальный.

 

Прилагаю два снимка. От 18 июля, это когда обнаружили повторно кариес. От 9 августа - после всех пломбировок. На июльском снимке хирург (ходила отдельно со снимком на консультацию) диагностирует расширение периодонтальной щели. Другие врачи не видят!!! На августовском снимке щель уже не видна, она что могла самоизлечиться? 

 

Есть ли фиброзный периодонтит? Удалять нерв? Чем опасно расширение периодонтальной щели? Нерв рекомендовал удалить по снимку хирург, но он сам терапевтическое лечение не оказывает, а рекомендуемый им врач утверждает, что нет показаний для удаления нерва, периодонтальную щель не видит. СПАСИБО!

post-52260-0-19412100-1502803924_thumb.jpg

post-52260-0-96379400-1502803937_thumb.jpg

Ссылка на комментарий

Для публикации сообщений создайте учётную запись или авторизуйтесь

Вы должны быть пользователем, чтобы оставить комментарий

Создать аккаунт

Зарегистрируйте новый аккаунт в нашем сообществе. Это очень просто!

Регистрация нового пользователя

Войти

Уже есть аккаунт? Войти в систему.

Войти
×
×
  • Создать...
Вверх