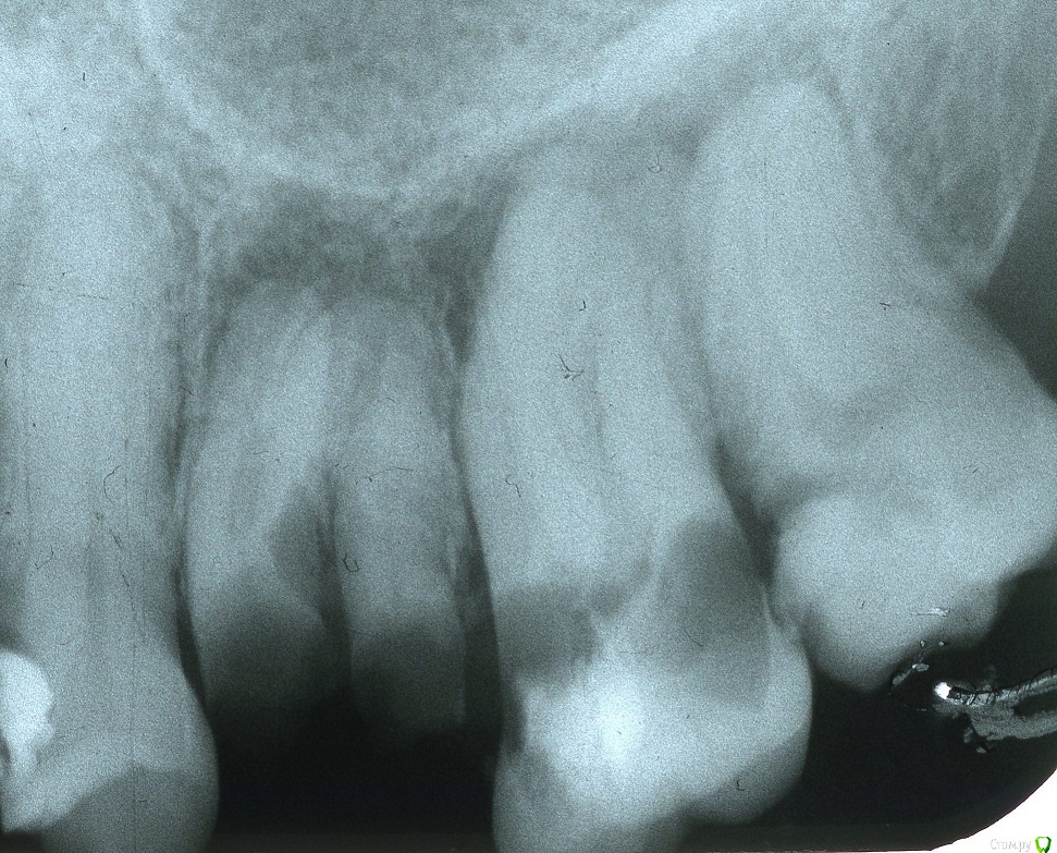
stomt Опубликовано 11 августа, 2017 Поделиться Опубликовано 11 августа, 2017 На снимке видно 7ой верхний левый зуб, с черной надкорневой частью, где есть лишь небольшая перемычка между этими двома кариозными частями (такая ситуация фактически длится как минимум два года, только темной области было меньше). Хотелось бы узнать в специалистов, каким способом возможно вылечить и сохранить этом зуб. Есть ли удаление всей надкорневой части единственным решением? (самая верхняя часть очевидно не поражена кариесом, но ее наверное невозможно сохранить). Ссылка на комментарий
Большой Зеленый Опубликовано 11 августа, 2017 Поделиться Опубликовано 11 августа, 2017 http://forum.stom.ru/topic/20613-sovety-patcientam-obiazatelno-k-prochteniiu/ Внимательно читаем вначале выделенный текст. Ссылка на комментарий
IvanK Опубликовано 14 августа, 2017 Поделиться Опубликовано 14 августа, 2017 6ка уже бесперспективна - удаление7-ка - почти такая же8 - ка - удаление Ссылка на комментарий
red_butler Опубликовано 14 августа, 2017 Поделиться Опубликовано 14 августа, 2017 +1 удаление трех моляров Ссылка на комментарий
Рекомендуемые сообщения