kamranchick Опубликовано 11 августа, 2017 Поделиться Опубликовано 11 августа, 2017 Ссылка на комментарий
Хью Крейн Опубликовано 11 августа, 2017 Поделиться Опубликовано 11 августа, 2017 Композит на небной поверхности не мешает окклюзии? Ссылка на комментарий
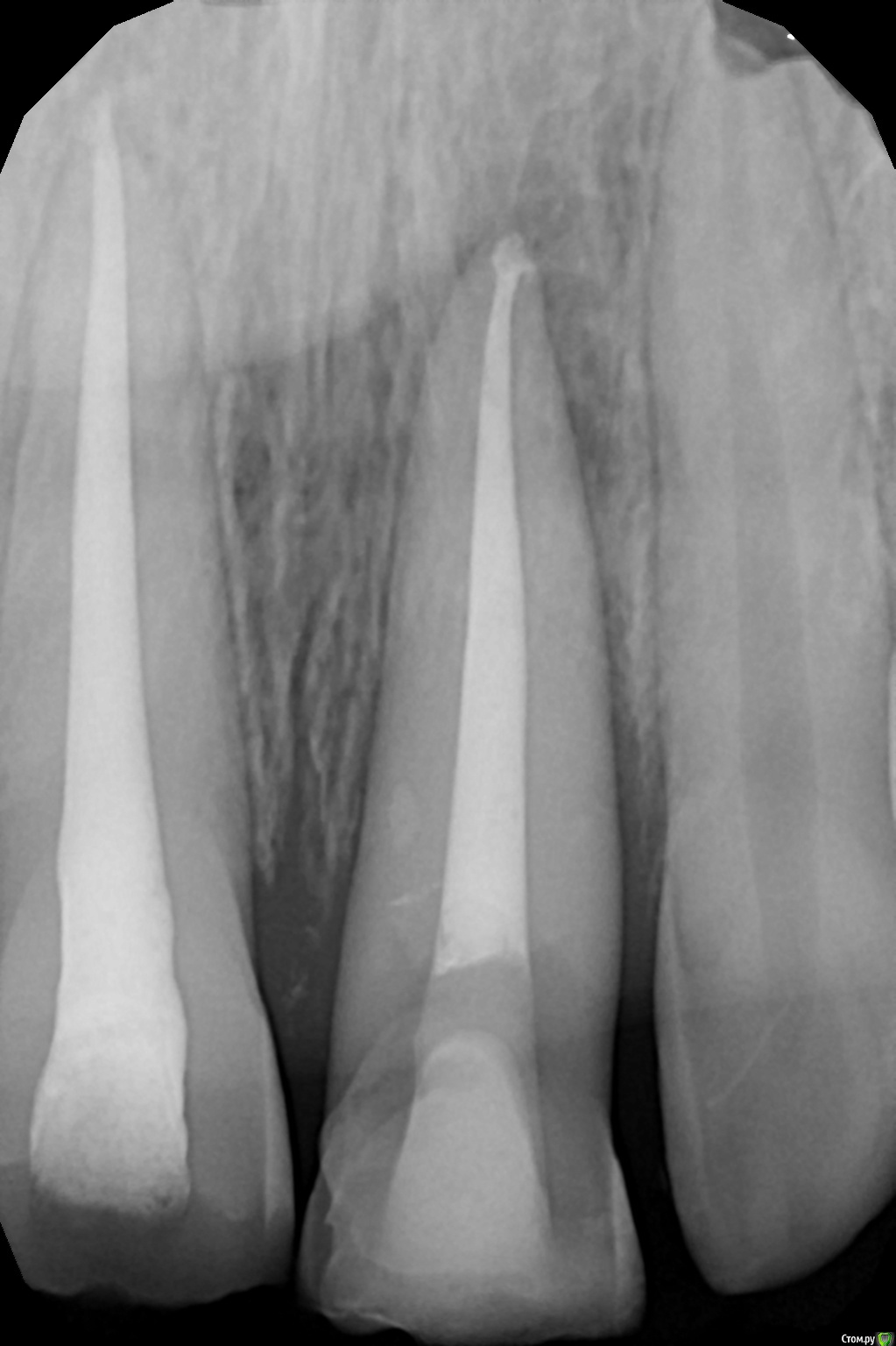
kamranchick Опубликовано 11 августа, 2017 Автор Поделиться Опубликовано 11 августа, 2017 Композит на небной поверхности не мешает окклюзии?мешает, а как быть?) Ссылка на комментарий
Art 7 Опубликовано 11 августа, 2017 Поделиться Опубликовано 11 августа, 2017 ставишь стекловолоконную балку между апроксимальных поверхностях соседних зубов) Ссылка на комментарий
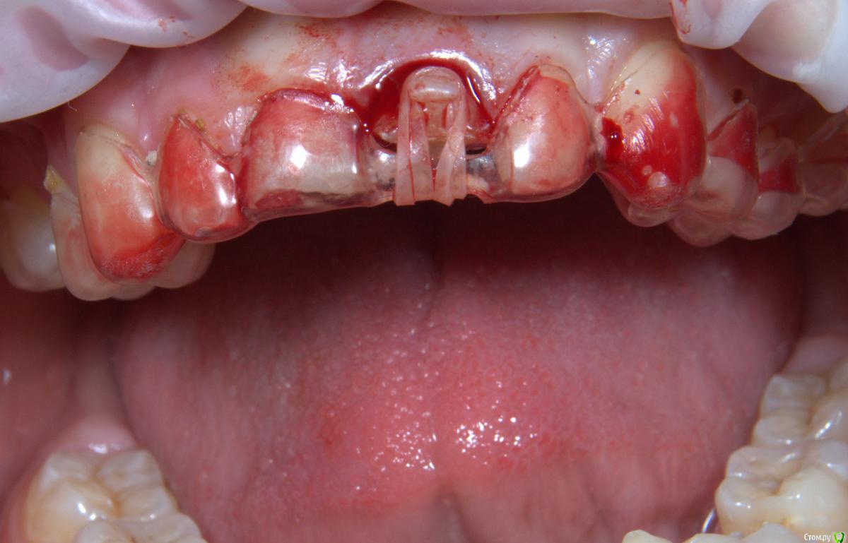
kamranchick Опубликовано 11 августа, 2017 Автор Поделиться Опубликовано 11 августа, 2017 ставишь стекловолоконную балку между апроксимальных поверхностях соседних зубов)Спасибо Артурчик)Попробуем так))) просто шатается сильно, страшно трогать пока что) Ссылка на комментарий
1586Doc Опубликовано 11 августа, 2017 Поделиться Опубликовано 11 августа, 2017 (изменено) Это обычная силиконовая каппа ?вытягиваем, потом стабилизация ? Как на долго? Изменено 11 августа, 2017 пользователем 1586Doc Ссылка на комментарий
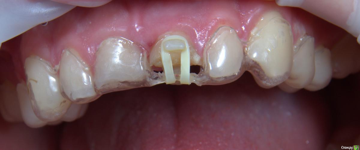
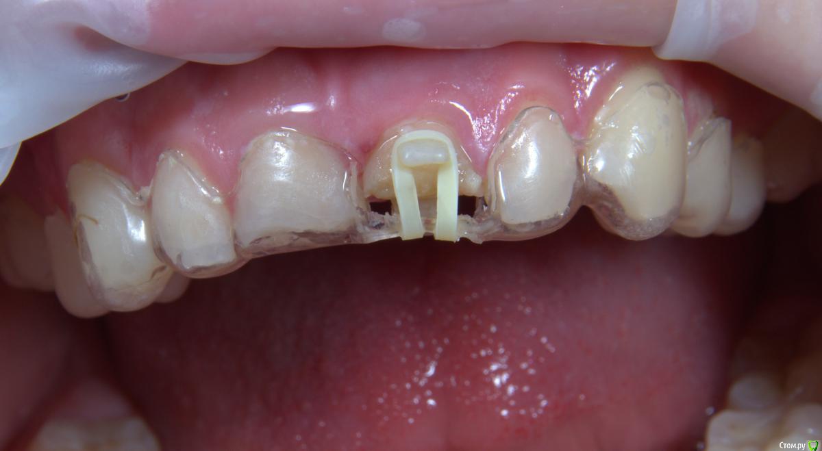
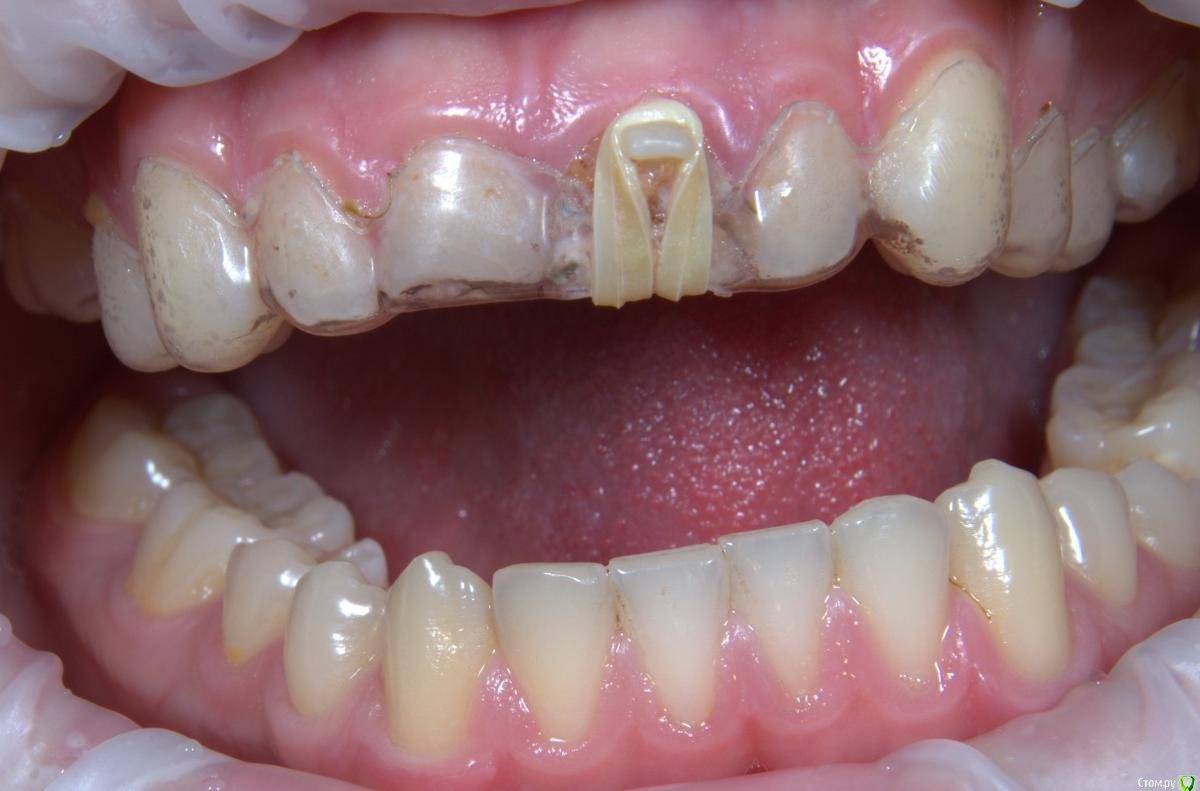
kamranchick Опубликовано 11 августа, 2017 Автор Поделиться Опубликовано 11 августа, 2017 Это обычная силиконовая каппа ?вытягиваем, потом стабилизация ? Как на долго?капу сделали вакуум формером, помоему она пластмассовая вроде. стабилизация 2-3 месяца... Ссылка на комментарий
Рекомендуемые сообщения
Для публикации сообщений создайте учётную запись или авторизуйтесь
Вы должны быть пользователем, чтобы оставить комментарий
Создать аккаунт
Зарегистрируйте новый аккаунт в нашем сообществе. Это очень просто!
Регистрация нового пользователяВойти
Уже есть аккаунт? Войти в систему.
Войти