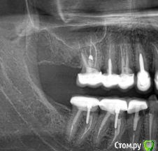
МартаМ Опубликовано 3 августа, 2017 Поделиться Опубликовано 3 августа, 2017 Добрый день. Буду очень благодарна за консультацию.Правая нижняя шестерка начала болеть в прошлом декабре. Боль ощущалась при нажатии, постукивании именно в этом зубе.Врач отправила на панорамный снимок,оказалась киста между пятым и шестым. Пятый удалили, кисту вычистили. Шестерка продолжает болеть.Несколько дней назад сделала еще раз снимок. Врач, который делал снимок, сказал, что шестерка справа "проблемная". Моя доктор никакой проблемы не видит.А что вы можете мне по этому поводу сказать?Зуб продолжает болеть, сильная боль при накусывании плюс постоянный дискомфорт где-то в глубине десны. Первый снимок - до удаления пятерки, второй - свежий. Ссылка на комментарий
___49___ Опубликовано 3 августа, 2017 Поделиться Опубликовано 3 августа, 2017 Есть боль - есть проблема , кт этого участка может многое объяснить . Ссылка на комментарий
МартаМ Опубликовано 3 августа, 2017 Автор Поделиться Опубликовано 3 августа, 2017 Кт=компьютерная томография? Увы, я практически уверена, что у нас ее не делают((А на снимке никакого криминала не видно? Затемнение между корнями может свидетельствовать о чем-то нехорошем? Ссылка на комментарий
___49___ Опубликовано 3 августа, 2017 Поделиться Опубликовано 3 августа, 2017 (изменено) Кт=компьютерная томография? Увы, я практически уверена, что у нас ее не делают((А на снимке никакого криминала не видно? Затемнение между корнями может свидетельствовать о чем-то нехорошем?Кт - Комп.томография. Затемнение не четко выражено - требует комплексного подхода из осмотра, сбора анамнеза, Rснимка для решения задачи . у вас был или есть свищ(прыщ) на десне около 6 ки ? Изменено 3 августа, 2017 пользователем ___49___ Ссылка на комментарий
МартаМ Опубликовано 4 августа, 2017 Автор Поделиться Опубликовано 4 августа, 2017 у вас был или есть свищ(прыщ) на десне около 6 ки ? Мой врач ничего об этом не говорил. Визуально - да, какой-то маленький пупырышек есть, уже много месяцев. Ссылка на комментарий
___49___ Опубликовано 4 августа, 2017 Поделиться Опубликовано 4 августа, 2017 (изменено) Если этот "пупырышек " является свищем - то можно вставить в него резиновую тупую иголочку ( гутаперча ) и сделать снимок . тоже может быть достаточно информативным методом . Изменено 4 августа, 2017 пользователем ___49___ 1 Ссылка на комментарий
МартаМ Опубликовано 4 августа, 2017 Автор Поделиться Опубликовано 4 августа, 2017 (изменено) В том-то и дело, что это не отверстие, скорее как мягкий нарост. Я спрашивала у своего стоматолога, когда оно только появилось, заподозрила, что нарыв. Он ответил отрицательно, сказал "ничего особенного".Оно не болезненное, не беспокоит. Болит действительно шестерка, именно зуб. Изменено 4 августа, 2017 пользователем МартаМ Ссылка на комментарий
Bier Опубликовано 5 августа, 2017 Поделиться Опубликовано 5 августа, 2017 судя по тому, что я вижу, 6ка на удаление. 1 Ссылка на комментарий
Doc Опубликовано 5 августа, 2017 Поделиться Опубликовано 5 августа, 2017 В межкорневой зоне явное разрежение. Либо бифуркация, либо перфорация. И то и другое - повод для удаления. Но по одному снимку диагноз нельзя ставить и тем более удалять зуб. 1 Ссылка на комментарий
Павел7809 Опубликовано 7 августа, 2017 Поделиться Опубликовано 7 августа, 2017 Судя по снимку - зубу конец. И есть сомнения по поводу следующего. Ссылка на комментарий
МартаМ Опубликовано 10 августа, 2017 Автор Поделиться Опубликовано 10 августа, 2017 В межкорневой зоне явное разрежение. Либо бифуркация, либо перфорация. И то и другое - повод для удаления. Но по одному снимку диагноз нельзя ставить и тем более удалять зуб.Врач уверяет, что затемнение вызвано тем, что зуб разрушен глубоко под десну, а боль - невралгия. У невролога была, проблем не обнаружили. Ссылка на комментарий
МартаМ Опубликовано 10 августа, 2017 Автор Поделиться Опубликовано 10 августа, 2017 Судя по снимку - зубу конец. И есть сомнения по поводу следующего.А можно хотя бы чуть-чуть подробнее?Что с 6кой и что со следующим? Ссылка на комментарий
IvanK Опубликовано 10 августа, 2017 Поделиться Опубликовано 10 августа, 2017 сделайте кт, и все сразу будет ясно возможно стоит сходить на консультацию к другому Врачу 1 Ссылка на комментарий
МартаМ Опубликовано 10 августа, 2017 Автор Поделиться Опубликовано 10 августа, 2017 судя по тому, что я вижу, 6ка на удаление.А можно детальнее? Ссылка на комментарий
Doc Опубликовано 10 августа, 2017 Поделиться Опубликовано 10 августа, 2017 Врач уверяет, что затемнение вызвано тем, что зуб разрушен глубоко под десну, а боль - невралгия. У невролога была, проблем не обнаружили.Собственно, если зуб разрушен глубоко под десну, то именно это и есть показание к удалению, а невралгия тут не причем. 1 Ссылка на комментарий
dok1 Опубликовано 11 августа, 2017 Поделиться Опубликовано 11 августа, 2017 Да там и 44 внимания требует. Ссылка на комментарий
Рекомендуемые сообщения
Для публикации сообщений создайте учётную запись или авторизуйтесь
Вы должны быть пользователем, чтобы оставить комментарий
Создать аккаунт
Зарегистрируйте новый аккаунт в нашем сообществе. Это очень просто!
Регистрация нового пользователяВойти
Уже есть аккаунт? Войти в систему.
Войти