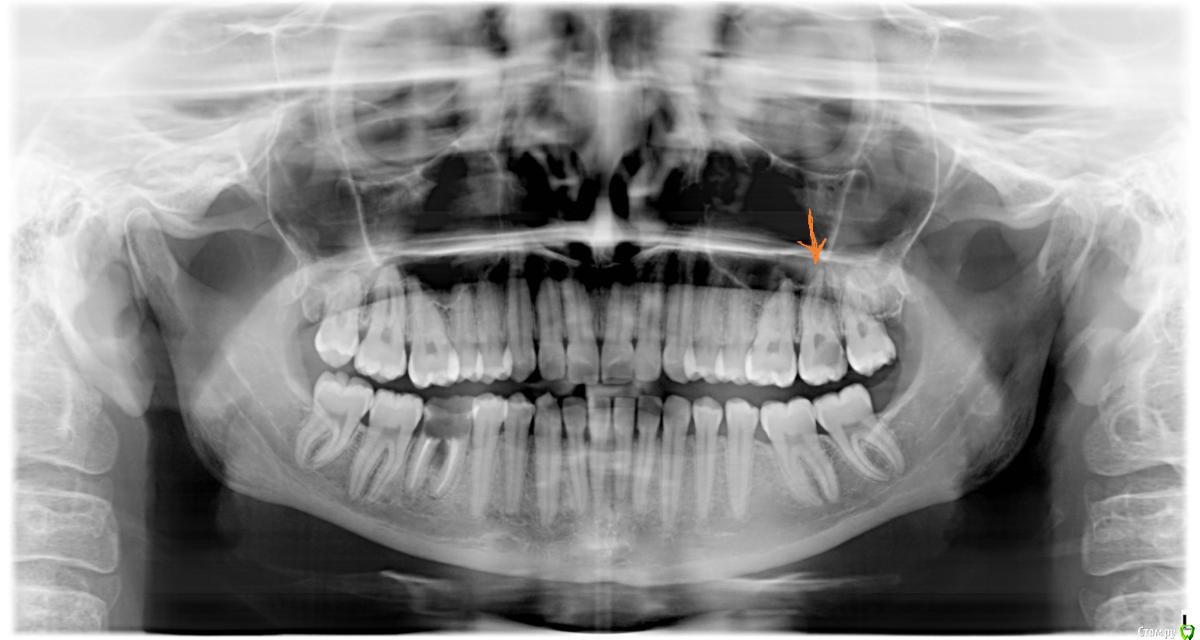
Оксана1318 Опубликовано 2 августа, 2017 Поделиться Опубликовано 2 августа, 2017 (изменено) Добрый день! Скажите, пожалуйста, сегодня я была на приеме у врача стоматолога. Она сделала снимок и сказала, что кариес глубокий, возможно даже пульпит. Пока точно она не видит, будет понятно только после того, как начнётся лечение. На фото это зуб шестерка справа . Со стороны оранжевой стрелки . На стрелку не обращайте внимания, этот зуб уже вылечили. Интересует шестерка рядом. Снимок сделан 7 месяцев назад. Скорее всего за это время стало хуже. Зуб не болел, все хорошо было вроде. Предлагали сегодня начать работу, но я не смогла по времени. Записалась на лечение через 4 дня. Скажите, может ли за эти 4 дня стать хуже? И если там нет пульпита, за эти 4 дня он может развиться? Очень переживаю, что не согласилась лечить сегодня. Новый снимок из клиники не забрала. Поэтому полугодовой давности только. Заранее спасибо! Изменено 2 августа, 2017 пользователем Оксана1318 Ссылка на комментарий
IvanK Опубликовано 3 августа, 2017 Поделиться Опубликовано 3 августа, 2017 Здравствуйте,так и не понятно, на что обращать внимание, какой зуб лечили?))) стрелка указывает на зуб, пульпит, возможно уже периодонтитрядом, 26, скорее всего кариес, если его Доктор видела во рту Скажите, может ли за эти 4 дня стать хуже? вряд ли И если там нет пульпита, за эти 4 дня он может развиться? вряд ли Не паникуйте. За 4 дня ничего не изменится Ждем новый снимок) Ссылка на комментарий
Рекомендуемые сообщения
Для публикации сообщений создайте учётную запись или авторизуйтесь
Вы должны быть пользователем, чтобы оставить комментарий
Создать аккаунт
Зарегистрируйте новый аккаунт в нашем сообществе. Это очень просто!
Регистрация нового пользователяВойти
Уже есть аккаунт? Войти в систему.
Войти