amys Опубликовано 1 августа, 2017 Поделиться Опубликовано 1 августа, 2017 Здравствуйте!Два дня назад 7й нижний зуб справа обломился под самый корень вместе со штифтом и коронкой. Каналы лечились 25 лет назад, возможно, резорцин-формалиновым способом (когда я ставила на него коронку, ортопед сказал, что в корни лучше не лезть). На приеме терапевт сказал, что зуб придётся удалять, так как при постановке вкладки корень может треснуть, но на всякий случай, посоветовала консультацию ортопеда. Ортопед сказал, что возьмётся сделать вкладку на имеющихся каналах, так как перелечить их вряд ли получится. Вопрос: имеет ли смысл ставить вкладку в данной ситуации, или стоит попытаться перелечить каналы? Если каналы были лечены резорцин-формалином, возможно ли их вообще перелечить? Спасибо. Ссылка на комментарий
red_butler Опубликовано 1 августа, 2017 Поделиться Опубликовано 1 августа, 2017 http://forum.stom.ru/topic/20613-sovety-patcientam-obiazatelno-k-prochteniiu/ 1 Ссылка на комментарий
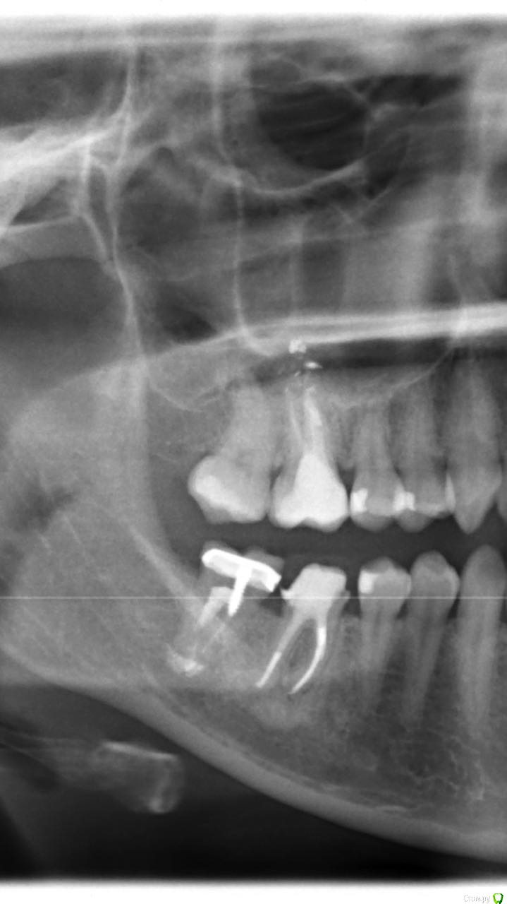
amys Опубликовано 2 августа, 2017 Автор Поделиться Опубликовано 2 августа, 2017 Извините, снимок не прикрепился в первом сообщении. Ссылка на комментарий
dok1 Опубликовано 2 августа, 2017 Поделиться Опубликовано 2 августа, 2017 Удаляйте и ставьте имплант. Ёсли всё сделать одновременно - выиграете время. Ссылка на комментарий
IvanK Опубликовано 2 августа, 2017 Поделиться Опубликовано 2 августа, 2017 К сожалению, только удаление. Сделайте панорамный снимок (ОПТГ) и сходите еще к паре ортопедом можете прикрепить снимок в своей теме, почитать варианты протезирования Ссылка на комментарий
red_butler Опубликовано 2 августа, 2017 Поделиться Опубликовано 2 августа, 2017 +1 за удаление Ссылка на комментарий
amys Опубликовано 2 августа, 2017 Автор Поделиться Опубликовано 2 августа, 2017 Это снимок ДО того, как зуб отломился. А почему не попробовать полечить? Или в процессе лечения могут возникнуть осложнения? Ссылка на комментарий
IvanK Опубликовано 2 августа, 2017 Поделиться Опубликовано 2 августа, 2017 Все мы ДО были пободрее)) Ссылка на комментарий
red_butler Опубликовано 2 августа, 2017 Поделиться Опубликовано 2 августа, 2017 Основное показание к удалению, это дефицит твёрдых тканей зуба, который не позволяет полноценно восстановить зуб. Кроме этого есть проблемы с коррекции каналами.Если хотите сохранить во что бы то не стало... Перелечивайте у эндодонтиста с микроскопом.Делайте хирургическую подготовку. И протезируйте коронкой.Получите работу сравнимую в финансовом плане с имплантацией, сомнительным прогнозом, без гарантии на перелечивание корневых каналов и с ограниченной до недели/месяца гарантией на ортопедию. Ссылка на комментарий
amys Опубликовано 2 августа, 2017 Автор Поделиться Опубликовано 2 августа, 2017 Основное показание к удалению, это дефицит твёрдых тканей зуба, который не позволяет полноценно восстановить зуб. Кроме этого есть проблемы с коррекции каналами.Если хотите сохранить во что бы то не стало... Перелечивайте у эндодонтиста с микроскопом.Делайте хирургическую подготовку. И протезируйте коронкой.Получите работу сравнимую в финансовом плане с имплантацией, сомнительным прогнозом, без гарантии на перелечивание корневых каналов и с ограниченной до недели/месяца гарантией на ортопедию.С эндодонтистом и микроскопом понятно. А в чем заключается хирургическая подготовка?А сделать так, как предлагает ортопед - без перелечивания каналов - совсем неправильно? Зуб начнёт болеть? Ссылка на комментарий
dok1 Опубликовано 2 августа, 2017 Поделиться Опубликовано 2 августа, 2017 Хир. подготовка - это хирургическое удлиннение коронковой( наддесневой ) части зуба. Делается для того, что бы дефект заканчиволся до уровня десны, а не под десну. Микроскоп при перелечивании нужен для контроля обработки стенок каналов, дабы не оставить старый пломбировочный материал и патологически изменные ткани. В противном случае все телодвижения не имеют смысла. Ссылка на комментарий
red_butler Опубликовано 2 августа, 2017 Поделиться Опубликовано 2 августа, 2017 А сделать так, как предлагает ортопед - без перелечивания каналов - совсем неправильно? Зуб начнёт болеть? задайте эти вопросы своему врачу, мы всей картины не видим 1 Ссылка на комментарий
Рекомендуемые сообщения
Для публикации сообщений создайте учётную запись или авторизуйтесь
Вы должны быть пользователем, чтобы оставить комментарий
Создать аккаунт
Зарегистрируйте новый аккаунт в нашем сообществе. Это очень просто!
Регистрация нового пользователяВойти
Уже есть аккаунт? Войти в систему.
Войти