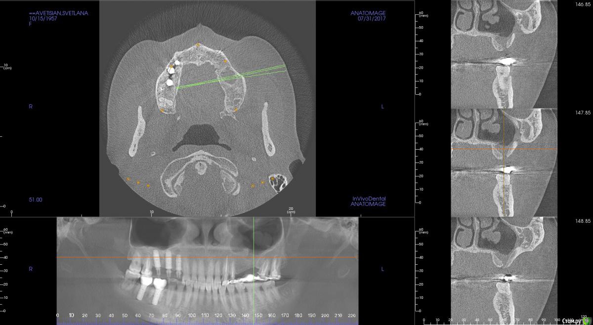
Тимур86 Опубликовано 31 июля, 2017 Поделиться Опубликовано 31 июля, 2017 10 лет назад был удален 26,после чего было 3 закрытия соустья и гайморотомии,какова тактика если синус делать? Ссылка на комментарий
kamranchick Опубликовано 31 июля, 2017 Поделиться Опубликовано 31 июля, 2017 10 лет назад был удален 26,после чего было 3 закрытия соустья и гайморотомии,какова тактика если синус делать?4-5-7 не вариант?)) и 8ку удалить к х*ям собачьим)) как раз без синуса)) и одномометно, ты Admetec попробовал? или я просто так тут жду?)) Ссылка на комментарий
Тимур86 Опубликовано 31 июля, 2017 Автор Поделиться Опубликовано 31 июля, 2017 типа "я не знаю что с этим делать,но давайте 4 и 7 удалим,раз такое дело!"?)))адметеки только сегодня привезли)потестю-напишу Ссылка на комментарий
kamranchick Опубликовано 31 июля, 2017 Поделиться Опубликовано 31 июля, 2017 Ну неужели своим обонянием не сможешь пациента убедить))На самом деле, ничего трудного нет... Остро надо отсепаровывать, и лучше закрытым идти.... И поставить 4.5 на 8.5 и все. Ссылка на комментарий
Bier Опубликовано 1 августа, 2017 Поделиться Опубликовано 1 августа, 2017 да тут все просто. расслоиться остро. немного поднять через соустье и потом сделать обычный латеральный доступ.Либо все поднять через соустье. 2 Ссылка на комментарий
Рекомендуемые сообщения
Для публикации сообщений создайте учётную запись или авторизуйтесь
Вы должны быть пользователем, чтобы оставить комментарий
Создать аккаунт
Зарегистрируйте новый аккаунт в нашем сообществе. Это очень просто!
Регистрация нового пользователяВойти
Уже есть аккаунт? Войти в систему.
Войти