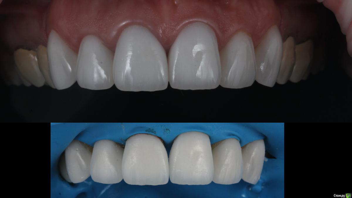
Ibulat_1986 Опубликовано 27 июля, 2017 Поделиться Опубликовано 27 июля, 2017 вкратце1. планирование2. коррекция зенитов3. ретриты 4. внутриканальное отбеливание фронтальных резцов5. вкладки с керамической облицовкой6. emax BL27. фиксация 8. продолжение работы в боковом сегменте По мне так есть определенный дисколорит между двойками и центральные при определенном угле "серят". 5 Ссылка на комментарий
Бендер Опубликовано 28 июля, 2017 Поделиться Опубликовано 28 июля, 2017 9 Покрасить десну темнокрасной акриловой краской10 Курс загара 10 сеансов по 10 минут 2 Ссылка на комментарий
bakagaidzin Опубликовано 28 июля, 2017 Поделиться Опубликовано 28 июля, 2017 матрицу почистите) 1 Ссылка на комментарий
Evikrol Опубликовано 28 июля, 2017 Поделиться Опубликовано 28 июля, 2017 Сменил вспышку? Ссылка на комментарий
M@estro Опубликовано 28 июля, 2017 Поделиться Опубликовано 28 июля, 2017 Очень симпатишшна! 1 Ссылка на комментарий
Ibulat_1986 Опубликовано 18 сентября, 2017 Автор Поделиться Опубликовано 18 сентября, 2017 Сменил вспышку? комбинирую: кольцевая, биполярка и софты Ссылка на комментарий
Ibulat_1986 Опубликовано 18 сентября, 2017 Автор Поделиться Опубликовано 18 сентября, 2017 матрицу почистите)я в курсе, все никак руки не доходят Ссылка на комментарий
Freelancer1981 Опубликовано 19 сентября, 2017 Поделиться Опубликовано 19 сентября, 2017 вкратце1. планирование2. коррекция зенитов3. ретриты 4. внутриканальное отбеливание фронтальных резцов5. вкладки с керамической облицовкой6. emax BL27. фиксация 8. продолжение работы в боковом сегменте По мне так есть определенный дисколорит между двойками и центральные при определенном угле "серят".чем корректировали десну,трогали кость?Сколько после этого с времяшками ходили Ссылка на комментарий
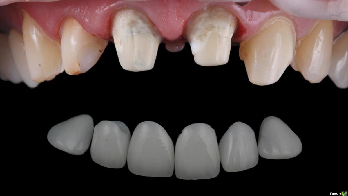
Ibulat_1986 Опубликовано 20 сентября, 2017 Автор Поделиться Опубликовано 20 сентября, 2017 БШ позволяла работать без резекциис ВРК 3 недели - окончательно слизистая дозрела на постоянных Ссылка на комментарий
Dman Опубликовано 22 сентября, 2017 Поделиться Опубликовано 22 сентября, 2017 БШ позволяла работать без резекциис ВРК 3 недели - окончательно слизистая дозрела на постоянныхкак определяете БШ? Ссылка на комментарий
Freelancer1981 Опубликовано 23 сентября, 2017 Поделиться Опубликовано 23 сентября, 2017 БШ позволяла работать без резекциис ВРК 3 недели - окончательно слизистая дозрела на постоянныхоткорректированная десна потом возвращается к исходной или остается на уровне коррекции Ссылка на комментарий
Evgen-Vozhd Опубликовано 25 сентября, 2017 Поделиться Опубликовано 25 сентября, 2017 чем препарировали? использовали оптику? Ссылка на комментарий
Рекомендуемые сообщения
Для публикации сообщений создайте учётную запись или авторизуйтесь
Вы должны быть пользователем, чтобы оставить комментарий
Создать аккаунт
Зарегистрируйте новый аккаунт в нашем сообществе. Это очень просто!
Регистрация нового пользователяВойти
Уже есть аккаунт? Войти в систему.
Войти