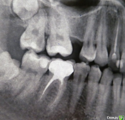
anaG2011 Опубликовано 27 июля, 2017 Поделиться Опубликовано 27 июля, 2017 (изменено) Здравствуйте!На верхних 6 и 7 зубах стояли пломбы с 2001г. Откололся кусочек 7ки.Врач высверлил старые пломбы. Каналы не вскрывали. На 7ке поставил "лечебную прокладку".Закрыл зубы временными пломбами. На холод-горячее-накусывание не реагируют. Скажите, пожалуйста, каким способом предпочтительнее восстановить 6 и 7 :пломбами или керамическими вкладками ?Какие минусы каждого из вариантов?(антагонист 7ки - недепульпир. зуб с пломбой 2001г.) Заранее спасибо. С временными пломбами: http://s016.radikal.ru/i337/1707/21/0e977cd9dd43.jpg До начала лечения: http://i057.radikal.ru/1707/b8/d717547654e5.jpg Изменено 27 июля, 2017 пользователем anaG2011 Ссылка на комментарий
DmitrySH Опубликовано 27 июля, 2017 Поделиться Опубликовано 27 июля, 2017 Керамические реставрации дороже, требуют 2 визита ( если не фрезеруются сразу в клинике), дольше прослужат, защитят тонкие бугры от сколов. Пломбы наоборот. Ссылка на комментарий
anaG2011 Опубликовано 27 июля, 2017 Автор Поделиться Опубликовано 27 июля, 2017 Керамические реставрации дороже, требуют 2 визита ( если не фрезеруются сразу в клинике), дольше прослужат, защитят тонкие бугры от сколов. Пломбы наоборот. Речь идет об изготовлении вкладок на станке из кубика в 1 прием. 1. Смущает необходимость бОльшего объема препарирования оставшихся здоровых тканей по сравнению с пломбами. 2. Стираемость антагониста 7ки. Спасибо Ссылка на комментарий
dok1 Опубликовано 28 июля, 2017 Поделиться Опубликовано 28 июля, 2017 Несмущайтесь. Вкладка надёжнее. Количество сошлифвки неглавное Ссылка на комментарий
anaG2011 Опубликовано 28 июля, 2017 Автор Поделиться Опубликовано 28 июля, 2017 Я так понимаю, что под керам накладку сошлифовывают превентивно то, что может сколоться. Просто мнения врачей в этом вопросе разошлись.Один врач категорически за накладки. В другом месте, где консультировалась сказали : можно пока поставить пломбы, а при необходимости поменять на накладки. Что со стираемостью антагониста 7ки ? Спасибо Ссылка на комментарий
anaG2011 Опубликовано 1 августа, 2017 Автор Поделиться Опубликовано 1 августа, 2017 (изменено) Здравствуйте! Вчера на 6ку и 7ку поставили керам вкладки Церек.К концу приема (3ч) прошла анестезия и процесс припасовки вкладок был в некоторых моментах с болью.По прикусу, мне показалось, нормально. Сегодня врач снова пришлифовал по прикусу т.к. зубы (кажется 7ка) болят при накусывании, легкая чувствительность на горячее/холодное, отдает в антагонисты немного. Пока той стороной не ем. Нормальны ли такие симптомы после установки керам. вкладок на живые зубы ?( с временными пломбами зубы не беспокоили) Изменено 1 августа, 2017 пользователем anaG2011 Ссылка на комментарий
IvanK Опубликовано 2 августа, 2017 Поделиться Опубликовано 2 августа, 2017 Нормальны ли такие симптомы после установки керам. вкладок на живые зубы ? нет обратитесь к Врачу Ссылка на комментарий
anaG2011 Опубликовано 2 августа, 2017 Автор Поделиться Опубликовано 2 августа, 2017 Вчера лечащий врач пришлифовал вкладки по прикусу повторно.Сказал, что боли должны пройти. Ссылка на комментарий
Рекомендуемые сообщения
Для публикации сообщений создайте учётную запись или авторизуйтесь
Вы должны быть пользователем, чтобы оставить комментарий
Создать аккаунт
Зарегистрируйте новый аккаунт в нашем сообществе. Это очень просто!
Регистрация нового пользователяВойти
Уже есть аккаунт? Войти в систему.
Войти