kamranchick Опубликовано 24 июля, 2017 Поделиться Опубликовано 24 июля, 2017 Ребятулечки, а можно тут как то поставить имплантат, без инвазии?В принципето молоток приветствуется если он тут сработает и сработает ли.хочу поставить 3.5 на 8.5 Ссылка на комментарий
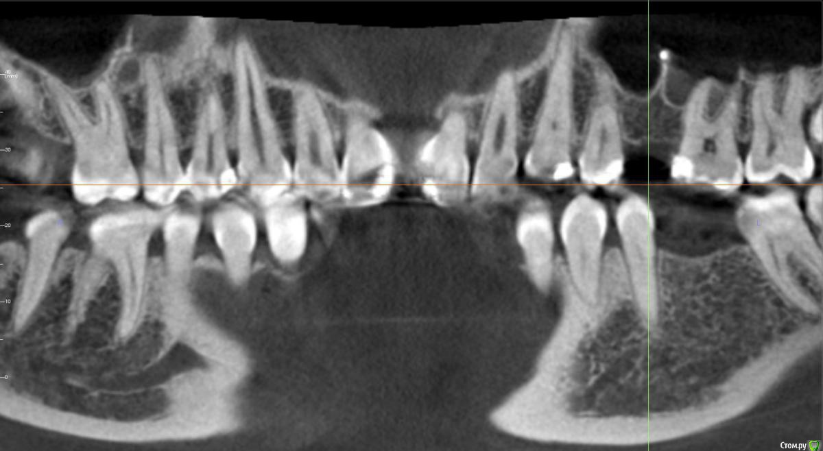
kamranchick Опубликовано 24 июля, 2017 Автор Поделиться Опубликовано 24 июля, 2017 Сработает. Комп рисует без 1,5-2 мм, так что очень даже. Апикально кость с фрезы прям в перегонку стукнуть?))) Ссылка на комментарий
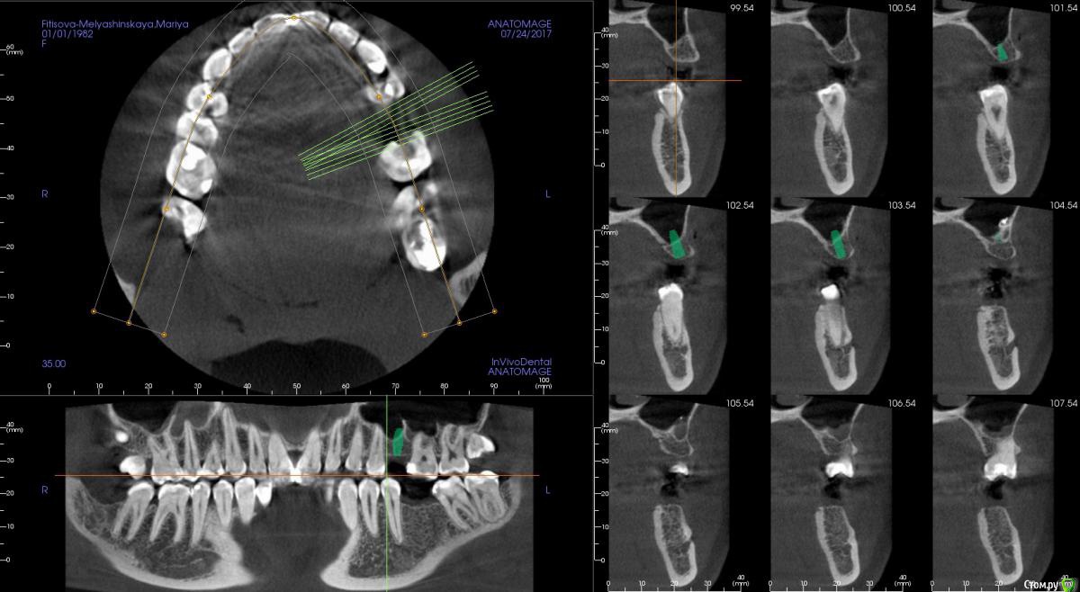
kamranchick Опубликовано 31 июля, 2017 Автор Поделиться Опубликовано 31 июля, 2017 Как то вот так получилось Ссылка на комментарий
Bobon Опубликовано 31 июля, 2017 Поделиться Опубликовано 31 июля, 2017 длина 8,5? Ссылка на комментарий
kamranchick Опубликовано 31 июля, 2017 Автор Поделиться Опубликовано 31 июля, 2017 длина 8,5?ага Ссылка на комментарий
Bobon Опубликовано 31 июля, 2017 Поделиться Опубликовано 31 июля, 2017 у некоторых производителей есть импланты длиной по 6 мм, целесообразно ли их использование или лучше не рисковать? Ссылка на комментарий
kamranchick Опубликовано 31 июля, 2017 Автор Поделиться Опубликовано 31 июля, 2017 у некоторых производителей есть импланты длиной по 6 мм, целесообразно ли их использование или лучше не рисковать?у некоторых есть и 4 мм длина, все по показаниям... Ссылка на комментарий
pit Опубликовано 31 июля, 2017 Поделиться Опубликовано 31 июля, 2017 Хорошо получилось. У всех производителей можно обрезать имплант длинной 8,5 мм как минимум на 2мм) Ссылка на комментарий
kamranchick Опубликовано 31 июля, 2017 Автор Поделиться Опубликовано 31 июля, 2017 Хорошо получилось. У всех производителей можно обрезать имплант длинной 8,5 мм как минимум на 2мм)Пётр!)) Вы опять за старое?)) научите молодёжь сейчас, начнут в техничку бегать₽ Ссылка на комментарий
Bobon Опубликовано 1 августа, 2017 Поделиться Опубликовано 1 августа, 2017 у некоторых есть и 4 мм длина, все по показаниям...в каких случаях такие применяете? Ссылка на комментарий
kamranchick Опубликовано 1 августа, 2017 Автор Поделиться Опубликовано 1 августа, 2017 в каких случаях такие применяете?Пока не приходилось такие коротышки применять Ссылка на комментарий
pit Опубликовано 1 августа, 2017 Поделиться Опубликовано 1 августа, 2017 Пётр!)) Вы опять за старое?)) научите молодёжь сейчас, начнут в техничку бегать₽Зачем в техничку, прямо во время операции в стерильных условиях! Ссылка на комментарий
kamranchick Опубликовано 1 августа, 2017 Автор Поделиться Опубликовано 1 августа, 2017 Зачем в техничку, прямо во время операции в стерильных условиях!не надо так))) пусть работают правильно "по протоколу" Ссылка на комментарий
pit Опубликовано 1 августа, 2017 Поделиться Опубликовано 1 августа, 2017 не надо так))) пусть работают правильно "по протоколу" Я ж не настаиваю. Такие вещи пригождаются, когда вроде все по протоколу, а что-то иднт не так. Ссылка на комментарий
kamranchick Опубликовано 1 августа, 2017 Автор Поделиться Опубликовано 1 августа, 2017 Я ж не настаиваю. Такие вещи пригождаются, когда вроде все по протоколу, а что-то иднт не так.в случае "неприживления" срезанного апекса имплантата, его потом поменяют по гарантии? Ссылка на комментарий
pit Опубликовано 2 августа, 2017 Поделиться Опубликовано 2 августа, 2017 в случае "неприживления" срезанного апекса имплантата, его потом поменяют по гарантии?в случае "неприживления" срезанного апекса имплантата, его потом поменяют по гарантии?Таких случаев не было, но думаю да. Все зависит от того, как дать объяснения. Выпиленные импланнты с повреждением резьбы меняют же Ссылка на комментарий
Большой Зеленый Опубликовано 2 августа, 2017 Поделиться Опубликовано 2 августа, 2017 Таких случаев не было, но думаю да. Все зависит от того, как дать объяснения. Выпиленные импланнты с повреждением резьбы меняют же Сложно будет объяснить что ты начал выпиливать его с верхушки.))Ну типа на спор хотел удалить через задний проход,но что то пошло не так 1 Ссылка на комментарий
Большой Зеленый Опубликовано 2 августа, 2017 Поделиться Опубликовано 2 августа, 2017 в случае "неприживления" срезанного апекса имплантата, его потом поменяют по гарантии?Его можно отпескоструить и ... снова вкрутить Ссылка на комментарий
kamranchick Опубликовано 2 августа, 2017 Автор Поделиться Опубликовано 2 августа, 2017 так, где тут плетка была?!))) походу нужна торжественная порка!!! надеюсь не забанят за красную попу администратора)) Ссылка на комментарий
pit Опубликовано 2 августа, 2017 Поделиться Опубликовано 2 августа, 2017 Сложно будет объяснить что ты начал выпиливать его с верхушки.))Ну типа на спор хотел удалить через задний проход,но что то пошло не так Объяснить можно что угодно. Например: такова была техника удаления имплантата по поводу тяжелого периимплантита Ссылка на комментарий
Kev Опубликовано 2 августа, 2017 Поделиться Опубликовано 2 августа, 2017 Апексы зубов могут же ломаться при удалении, а у имплантатов почему не мог сломаться кончик на 2 мм?=))))) 1 Ссылка на комментарий
Большой Зеленый Опубликовано 3 августа, 2017 Поделиться Опубликовано 3 августа, 2017 Апексы зубов могут же ломаться при удалении, а у имплантатов почему не мог сломаться кончик на 2 мм?=)))))Отличное объяснение. Ссылка на комментарий
Bobon Опубликовано 3 августа, 2017 Поделиться Опубликовано 3 августа, 2017 осталось разобраться теперь только чем подпиливать можно)))))))) Ссылка на комментарий
kamranchick Опубликовано 3 августа, 2017 Автор Поделиться Опубликовано 3 августа, 2017 осталось разобраться теперь только чем подпиливать можно))))))))бор, рашпиль, хлеборезка) Ссылка на комментарий
IvanK Опубликовано 3 августа, 2017 Поделиться Опубликовано 3 августа, 2017 Сначала резекция верхушки была, не помогла... удалили имплантат) тоже объяснение))))) 2 Ссылка на комментарий
Рекомендуемые сообщения
Для публикации сообщений создайте учётную запись или авторизуйтесь
Вы должны быть пользователем, чтобы оставить комментарий
Создать аккаунт
Зарегистрируйте новый аккаунт в нашем сообществе. Это очень просто!
Регистрация нового пользователяВойти
Уже есть аккаунт? Войти в систему.
Войти