zxc Опубликовано 21 июля, 2017 Поделиться Опубликовано 21 июля, 2017 http://s019.radikal.ru/i603/1707/84/4fccbc3ac763.jpghttp://s008.radikal.ru/i303/1707/de/c3ecf5951069.jpg 3 Ссылка на комментарий
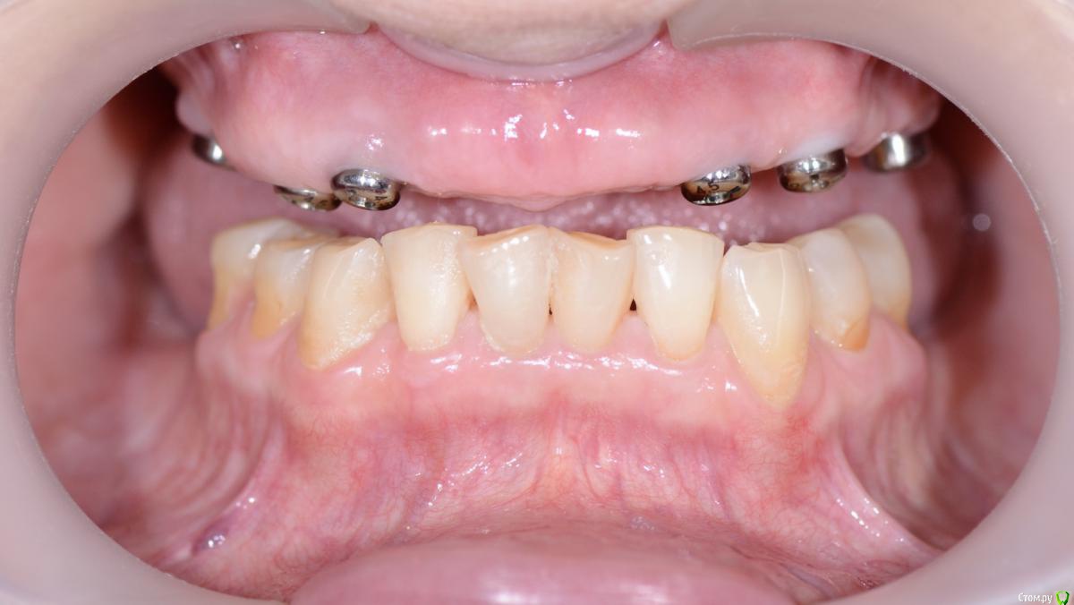
zxc Опубликовано 31 июля, 2017 Автор Поделиться Опубликовано 31 июля, 2017 Перед слепком под постоянку http://s46.radikal.ru/i111/1707/f0/f2077353b94c.png 6 Ссылка на комментарий
Freelancer1981 Опубликовано 31 июля, 2017 Поделиться Опубликовано 31 июля, 2017 здорово.сколько отжимали по срокам?бором вначале проходили? Ссылка на комментарий
zxc Опубликовано 31 июля, 2017 Автор Поделиться Опубликовано 31 июля, 2017 здорово.сколько отжимали по срокам?бором вначале проходили?2 недели, только скальпель Ссылка на комментарий
Freelancer1981 Опубликовано 31 июля, 2017 Поделиться Опубликовано 31 июля, 2017 а как это можно скальпелем сделать? Ссылка на комментарий
zxc Опубликовано 31 июля, 2017 Автор Поделиться Опубликовано 31 июля, 2017 Режу, расклиниваю десну, сажаю времянки и все Ссылка на комментарий
Freelancer1981 Опубликовано 31 июля, 2017 Поделиться Опубликовано 31 июля, 2017 и на имплантах тоже?или только в области центральных?и если можно схематически куда и какие разрезы.Спасибо Ссылка на комментарий
zxc Опубликовано 31 июля, 2017 Автор Поделиться Опубликовано 31 июля, 2017 и на имплантах тоже?или только в области центральных?и если можно схематически куда и какие разрезы.СпасибоДа везде режу, схематично как нарисовать не знаю, просто херачу по гребню и все 5 Ссылка на комментарий
Freelancer1981 Опубликовано 31 июля, 2017 Поделиться Опубликовано 31 июля, 2017 просто считается что первый 1 мм от шейки импланта трогать нельзя Ссылка на комментарий
Freelancer1981 Опубликовано 31 июля, 2017 Поделиться Опубликовано 31 июля, 2017 а чем вы расклинивате Ссылка на комментарий
zxc Опубликовано 31 июля, 2017 Автор Поделиться Опубликовано 31 июля, 2017 а чем вы расклиниватеВремянками Ссылка на комментарий
Freelancer1981 Опубликовано 1 августа, 2017 Поделиться Опубликовано 1 августа, 2017 а вы сами так начали делать или кто то научил? Ссылка на комментарий
zxc Опубликовано 1 августа, 2017 Автор Поделиться Опубликовано 1 августа, 2017 Это единственный способ за короткое время посадить времянки и сформировать профиль. В клинике нет возможности приглашать на регулярные коррекции, делать нужно за короткое время и с минимальными визитами дабы не засорять запись Ссылка на комментарий
Freelancer1981 Опубликовано 1 августа, 2017 Поделиться Опубликовано 1 августа, 2017 я понял, а откуда потчерпнули инфу что так можно делать? Ссылка на комментарий
zxc Опубликовано 1 августа, 2017 Автор Поделиться Опубликовано 1 августа, 2017 я понял, а откуда потчерпнули инфу что так можно делать?Я уже и не помню, лет 5 уже по такой схеме действую Пациентам просто говорить про расклинивания десны не стоит) Ссылка на комментарий
Freelancer1981 Опубликовано 1 августа, 2017 Поделиться Опубликовано 1 августа, 2017 эт да..)А разрез единый и один?или возле каждого импланта свой? Ссылка на комментарий
zxc Опубликовано 1 августа, 2017 Автор Поделиться Опубликовано 1 августа, 2017 эт да..)А разрез единый и один?или возле каждого импланта свой?Заезжайте в гости и я с удовольствием все покажу) Пофиг какой разрез, главное не придавливать десну Ссылка на комментарий
Игорь Пеликан Опубликовано 7 августа, 2017 Поделиться Опубликовано 7 августа, 2017 Да везде режу, схематично как нарисовать не знаю, просто херачу по гребню и все Доступно объяснили))) Ссылка на комментарий
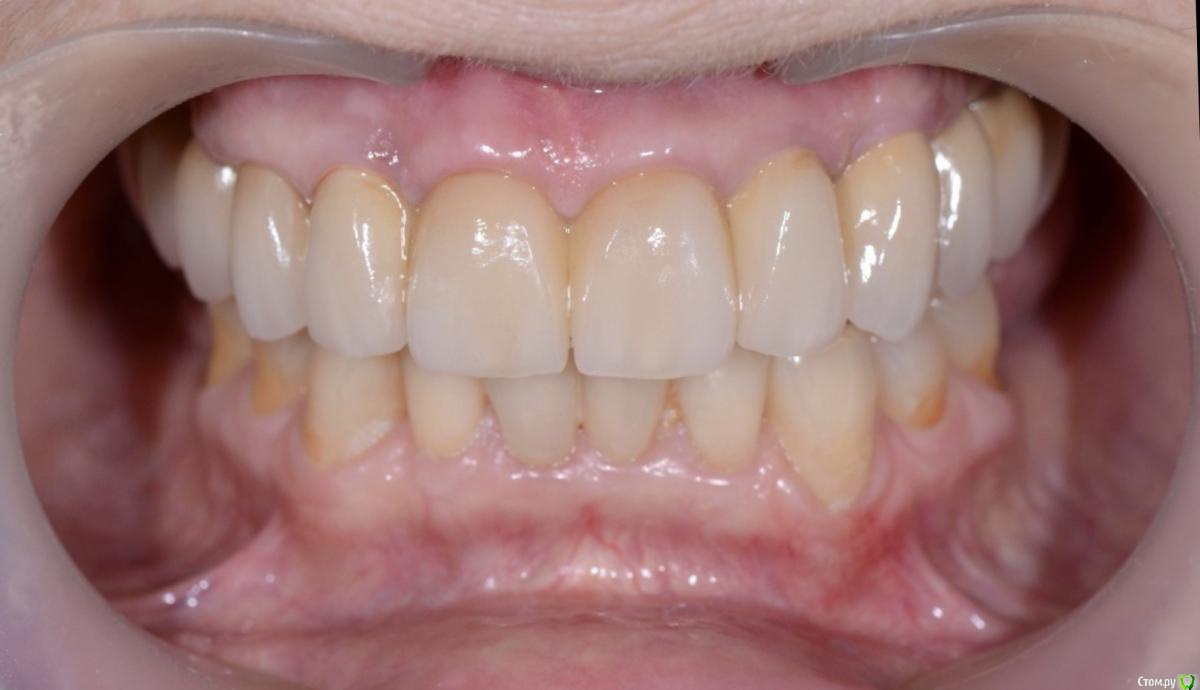
zxc Опубликовано 19 сентября, 2018 Автор Поделиться Опубликовано 19 сентября, 2018 Итог работы 2 Ссылка на комментарий
hogsmeed Опубликовано 19 сентября, 2018 Поделиться Опубликовано 19 сентября, 2018 Круто, а как техники делают времяшки? Какие указания им даете? Ссылка на комментарий
zxc Опубликовано 19 сентября, 2018 Автор Поделиться Опубликовано 19 сентября, 2018 Круто, а как техники делают времяшки? Какие указания им даете?Говорю что розовой десны не будет, делай овоид. Ссылка на комментарий
hogsmeed Опубликовано 19 сентября, 2018 Поделиться Опубликовано 19 сентября, 2018 Говорю что розовой десны не будет, делай овоид.И техник знает на сколько погружаться? Везет вам Ссылка на комментарий
Дмитрий Л. Опубликовано 19 сентября, 2018 Поделиться Опубликовано 19 сентября, 2018 А какие длительные наблюдения в эстетичной зоне? Овоиды то останутся, сосочки не уйдут? И каким методом времянки изготавливаются? Техник из акрила делает? Спасибо за кейс. Ссылка на комментарий
zxc Опубликовано 19 сентября, 2018 Автор Поделиться Опубликовано 19 сентября, 2018 И техник знает на сколько погружаться? Везет вам техник делает так что бы мне было что спиливать, во рту естественно все нужно доводить Ссылка на комментарий
zxc Опубликовано 19 сентября, 2018 Автор Поделиться Опубликовано 19 сентября, 2018 А какие длительные наблюдения в эстетичной зоне? Овоиды то останутся, сосочки не уйдут? И каким методом времянки изготавливаются? Техник из акрила делает? Спасибо за кейс.на временных ходят долго, если уйдут сосочки... жалко конечно но говорят гиалуронку можно влить. Ссылка на комментарий
Рекомендуемые сообщения
Для публикации сообщений создайте учётную запись или авторизуйтесь
Вы должны быть пользователем, чтобы оставить комментарий
Создать аккаунт
Зарегистрируйте новый аккаунт в нашем сообществе. Это очень просто!
Регистрация нового пользователяВойти
Уже есть аккаунт? Войти в систему.
Войти