an_ver Опубликовано 20 июля, 2017 Поделиться Опубликовано 20 июля, 2017 http://forum.stom.ru/topic/35094-uslovno-semnyj-s-vinirami/ 9 Ссылка на комментарий
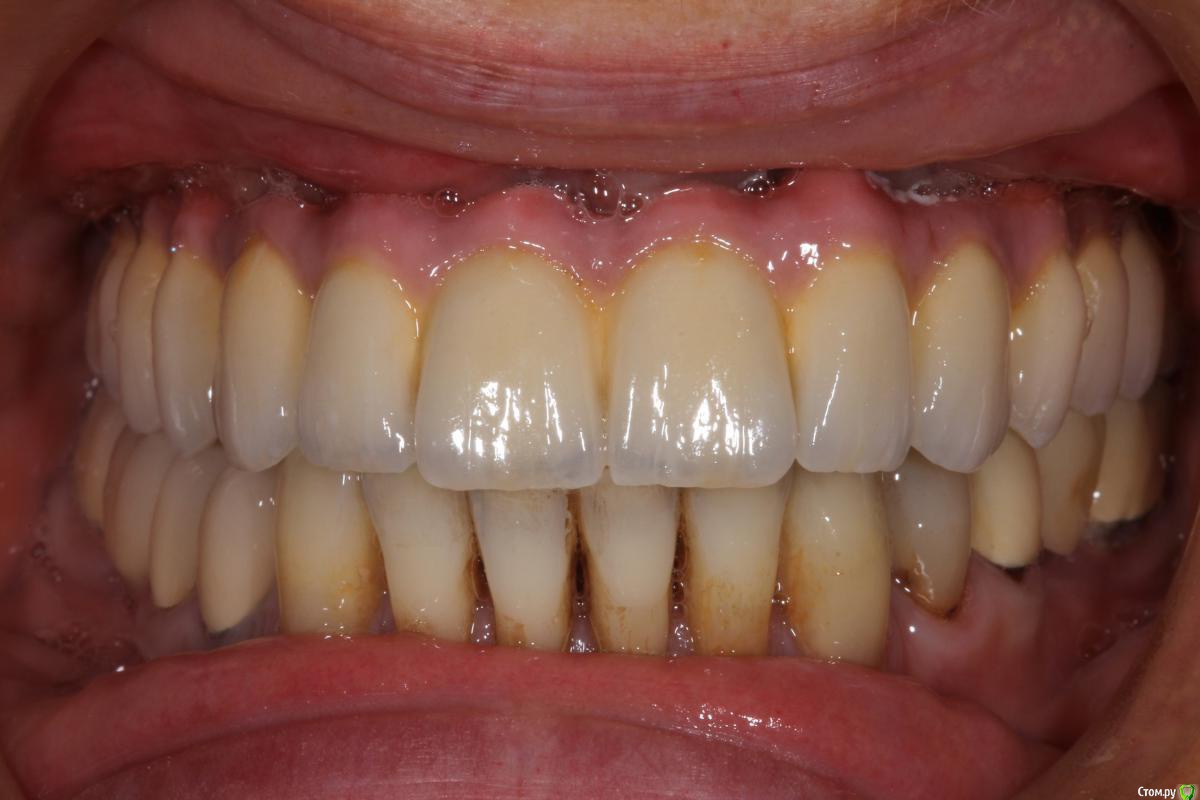
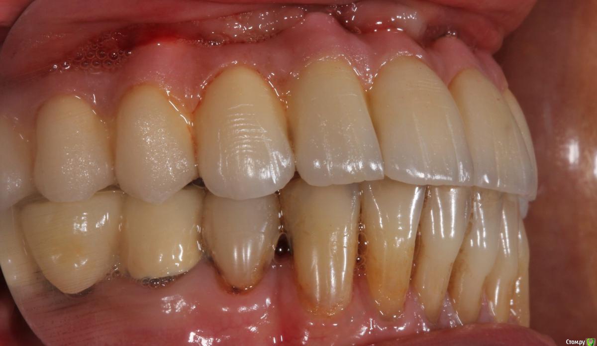
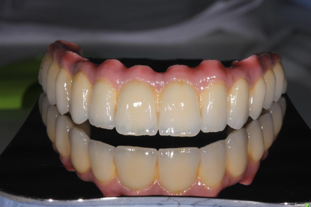
Sampson Опубликовано 28 июля, 2017 Поделиться Опубликовано 28 июля, 2017 Разрешите придраться? Медиальные грани 21.11 можно было сделать выражение и поближе друг к другу. У меня все. Отличная работа. 1 Ссылка на комментарий
an_ver Опубликовано 30 июля, 2017 Автор Поделиться Опубликовано 30 июля, 2017 Разрешите придраться? Медиальные грани 21.11 можно было сделать выражение и поближе друг к другу. У меня все. Отличная работа.Согласен. Ссылка на комментарий
Рекомендуемые сообщения
Для публикации сообщений создайте учётную запись или авторизуйтесь
Вы должны быть пользователем, чтобы оставить комментарий
Создать аккаунт
Зарегистрируйте новый аккаунт в нашем сообществе. Это очень просто!
Регистрация нового пользователяВойти
Уже есть аккаунт? Войти в систему.
Войти