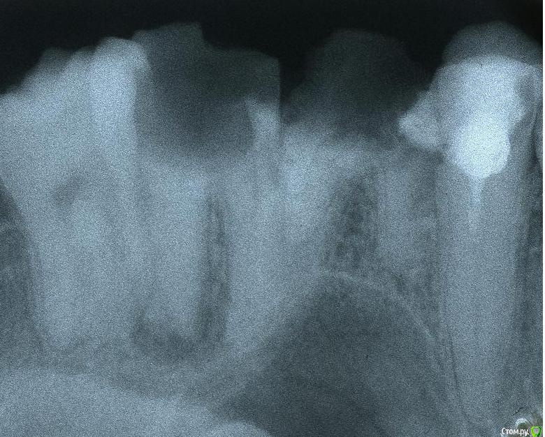
stomt Опубликовано 17 июля, 2017 Поделиться Опубликовано 17 июля, 2017 Вот есть снимок правого верхнего зуба (7-ки). Там очевидна бифуркация, и гной. Только непонятно -- под самим корнем или посредине тоже. Хотелось бы услышать варианты лечение зуба, хотя понятно что это трудный случай -- но просто удалить не могу себе позволить.Бифуркация кажется до самого верха не дошла пока-что. Ссылка на комментарий
Stomart Опубликовано 17 июля, 2017 Поделиться Опубликовано 17 июля, 2017 Вы наверно имеете ввиду "перфорация"? Снимок плохого качества, не видно ничего. Ссылка на комментарий
stomt Опубликовано 17 июля, 2017 Автор Поделиться Опубликовано 17 июля, 2017 Я не специалист -- потому термин "перфорация" не утреблял -- хотя насколько понял это когда уже сеть дырка (в этом случае) от процеса бифуркации.Про бифуркацию мне сами врачи сказали -- однако темная вертикальная полоса -- это гной, часть гранулемы? Просто следствие бифуркации, очевидно, это не есть.Касательно качества снимка -- оно должно быть хорошого качества, ибо в предыдущем снимке, было явное накладывание изображений (потому я специально его переделывал). Ссылка на комментарий
red_butler Опубликовано 17 июля, 2017 Поделиться Опубликовано 17 июля, 2017 Зуб удалять.Не плодите темы. Ссылка на комментарий
Рекомендуемые сообщения