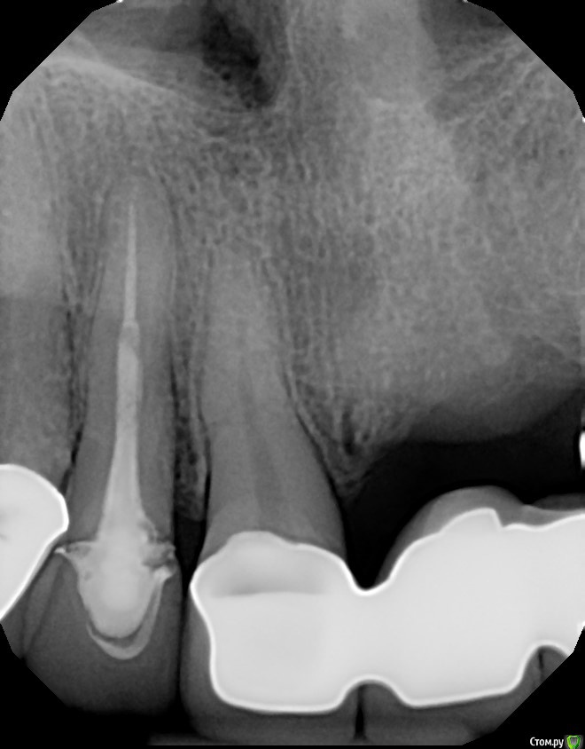
Dirina12 Опубликовано 11 июля, 2017 Поделиться Опубликовано 11 июля, 2017 Чтобы сохранить зуб предлагают делать операцию (endodontic surgery) потому что там соит пост (штифт) и если лечить через зуб то от зуба ничего не останется и не на что будет прикрепить коронку.. Поможет ли это и стоит ли делать?Зуб номер 7 ( маленький отдельный зуб) Ссылка на комментарий
shishok Опубликовано 11 июля, 2017 Поделиться Опубликовано 11 июля, 2017 А по какому поводу операция?Что беспокоит? Ссылка на комментарий
Dirina12 Опубликовано 11 июля, 2017 Автор Поделиться Опубликовано 11 июля, 2017 А по какому поводу операция?Что беспокоит?Зуб чувствительный, и боль проходит вверь сквозь синус в голову. Наверное кариес между зубом и коронкой. Ссылка на комментарий
Рекомендуемые сообщения
Для публикации сообщений создайте учётную запись или авторизуйтесь
Вы должны быть пользователем, чтобы оставить комментарий
Создать аккаунт
Зарегистрируйте новый аккаунт в нашем сообществе. Это очень просто!
Регистрация нового пользователяВойти
Уже есть аккаунт? Войти в систему.
Войти