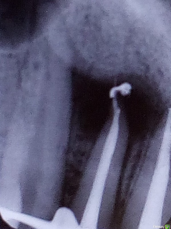
Shelly2000 Опубликовано 10 июля, 2017 Поделиться Опубликовано 10 июля, 2017 Уважаемые специалисты! Помогите, пожалуйста, понять, что изображено на снимках.Было лечение кисты зуба 12, потом пломбирование каналов 12 и 11, потом установлена вкладок в оба зуба.На первом контрольном снимке в момент пломбирования и на втором снимке в момент примерки вкладок около верхушки корня зуба 12 наблюдается нечто инородное.По яркости от пломбировочного материала отличается. Плюс видно перемещение относительно зуба и небольшое изменение формы. Разница по времени между снимками - чуть больше месяца.Что это может быть? Насколько опасно? Ссылка на комментарий
St. Опубликовано 10 июля, 2017 Поделиться Опубликовано 10 июля, 2017 Ничего критичного не увидела.скорее всего пломбирования материал. Наблюдайте. Через 6 и 12 мес нужно будет сделать контрольные снимки. Ссылка на комментарий
Shelly2000 Опубликовано 11 июля, 2017 Автор Поделиться Опубликовано 11 июля, 2017 Ничего критичного не увидела.скорее всего пломбирования материал. Наблюдайте. Через 6 и 12 мес нужно будет сделать контрольные снимки.Пломбировочный материал за пределами зуба - ничего критичного? Как это? Почему тогда всюду пишут об опасности такой пломбировки? Или это зависит от того, какой конкретно материал и как на него реагирует организм? Ссылка на комментарий
dok1 Опубликовано 11 июля, 2017 Поделиться Опубликовано 11 июля, 2017 Милионы людей ходят с подобными артефактами и ничего. Да, конечно, хочется идеальную картинку с пломбировочным материалом в пределах корня. Но современные материалы не раздражают ткани за пределами корня так, как это делают старые, отжившие своё цементы и пасты. А иногда выведение малого количества лечебной пасты заложено технологией лечения. Так что всё у вас в пределах нормы. 2 Ссылка на комментарий
AndyAndy Опубликовано 11 июля, 2017 Поделиться Опубликовано 11 июля, 2017 Я вижу значительное уменьшение воспалительного процесса на верхушке корня. Так что я бы на вашем месте радовался, и забил бы на выведенный материал Ссылка на комментарий
Shelly2000 Опубликовано 11 июля, 2017 Автор Поделиться Опубликовано 11 июля, 2017 Спасибо всем ответившим!Если нет никакого вреда внутренним тканям - тогда, конечно, пусть так и будет.Но именно этот зуб, а точнее - ткани вокруг него, ведь зубу больше нечем ощущать, стали после установки вкладки реагировать на горячее. Ощущение возникновения давления на пару секунд.Вокруг соседнего зуба с точно такой же вкладкой такого не происходит.Думал, что это может быть как-то связано с наличием артефакта. Или причина в другом? Ссылка на комментарий
St. Опубликовано 11 июля, 2017 Поделиться Опубликовано 11 июля, 2017 Думал, что это может быть как-то связано с наличием артефакта. Или причина в другом? Зуб после лечения каналов не может чувствовать температурные раздражители, т.к. как вы правильно сказали чувствовать ему нечем. Ткани вокруг зуба ощущают в основном механическое давление.Так что причина чувствительности на горячее не в этом Ссылка на комментарий
Shelly2000 Опубликовано 11 июля, 2017 Автор Поделиться Опубликовано 11 июля, 2017 Так что причина чувствительности на горячее не в этом А какие тогда есть варианты? До установки вкладки такого не было. Ссылка на комментарий
dok1 Опубликовано 12 июля, 2017 Поделиться Опубликовано 12 июля, 2017 Вкладка проводит тепло хорошо. Адаптируетесь со временем. Ссылка на комментарий
Рекомендуемые сообщения
Для публикации сообщений создайте учётную запись или авторизуйтесь
Вы должны быть пользователем, чтобы оставить комментарий
Создать аккаунт
Зарегистрируйте новый аккаунт в нашем сообществе. Это очень просто!
Регистрация нового пользователяВойти
Уже есть аккаунт? Войти в систему.
Войти