Перейти к содержанию
Стоматология для всех

Замена коронок на имплантатах


Кирилл 1986

Рекомендуемые сообщения

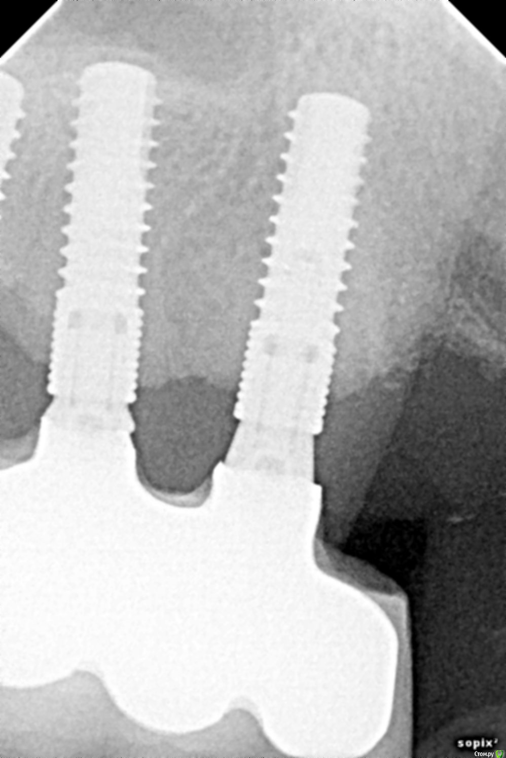
Уважаемые стоматологи хирурги и ортопеды, стоит вопрос замены коронок на имплантатах.

Имплантаты Конмет, установлены и запротезированы в 2010-2011 г. На данный момент пациента беспокоит только наличие сколов керамики. Учитывая атрофию костной ткани ( особенно у 1.7), какую хир. подготовку можно провести? Стоит ли объединять данные имплантаты с другими ( установленными в 2017 г. во фронтальном отделе)? И самое главное: какие возможны последствия (появление воспаления или подвижности), через какое время и как они могут сказаться? 

У кого какие мнения? Заранее всем спасибо.

post-46579-0-50136800-1499673819_thumb.jpg

post-46579-0-84594000-1499673812_thumb.jpg

Ссылка на комментарий

Для публикации сообщений создайте учётную запись или авторизуйтесь

Вы должны быть пользователем, чтобы оставить комментарий

Создать аккаунт

Зарегистрируйте новый аккаунт в нашем сообществе. Это очень просто!

Регистрация нового пользователя

Войти

Уже есть аккаунт? Войти в систему.

Войти
×
×
  • Создать...
Вверх