natalie_summerwhile Опубликовано 10 июля, 2017 Поделиться Опубликовано 10 июля, 2017 Ссылка на комментарий
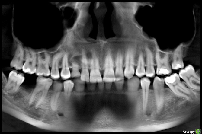
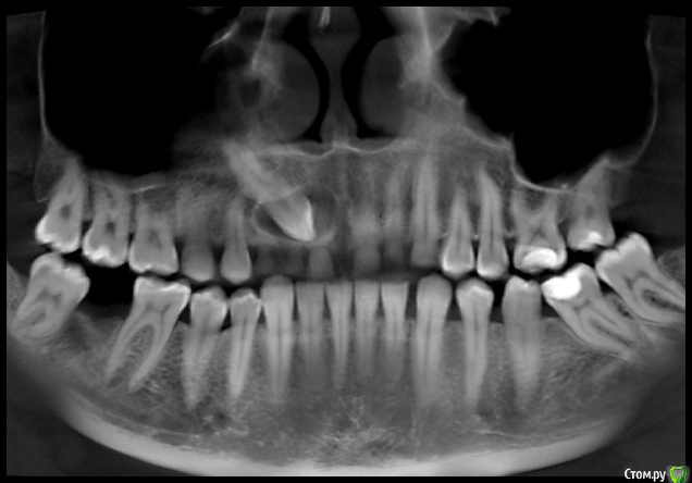
natalie_summerwhile Опубликовано 10 июля, 2017 Автор Поделиться Опубликовано 10 июля, 2017 Во рту вместо клыка молочный Ссылка на комментарий
Opdihatop Опубликовано 11 июля, 2017 Поделиться Опубликовано 11 июля, 2017 Ну как бы да. А что тут такого? Ссылка на комментарий
Qvonti Опубликовано 12 декабря, 2018 Поделиться Опубликовано 12 декабря, 2018 Ортодонтии быть в данном случае!) Ссылка на комментарий
Рекомендуемые сообщения
Для публикации сообщений создайте учётную запись или авторизуйтесь
Вы должны быть пользователем, чтобы оставить комментарий
Создать аккаунт
Зарегистрируйте новый аккаунт в нашем сообществе. Это очень просто!
Регистрация нового пользователяВойти
Уже есть аккаунт? Войти в систему.
Войти