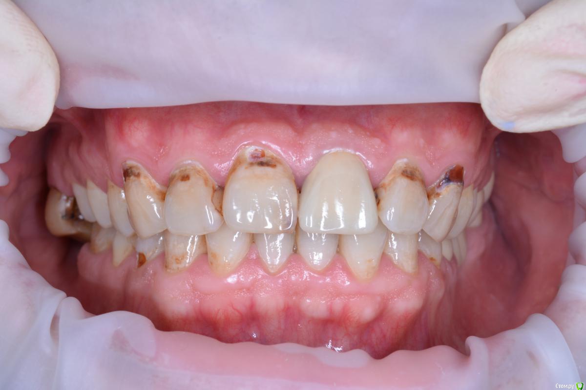
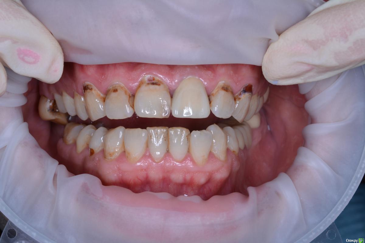
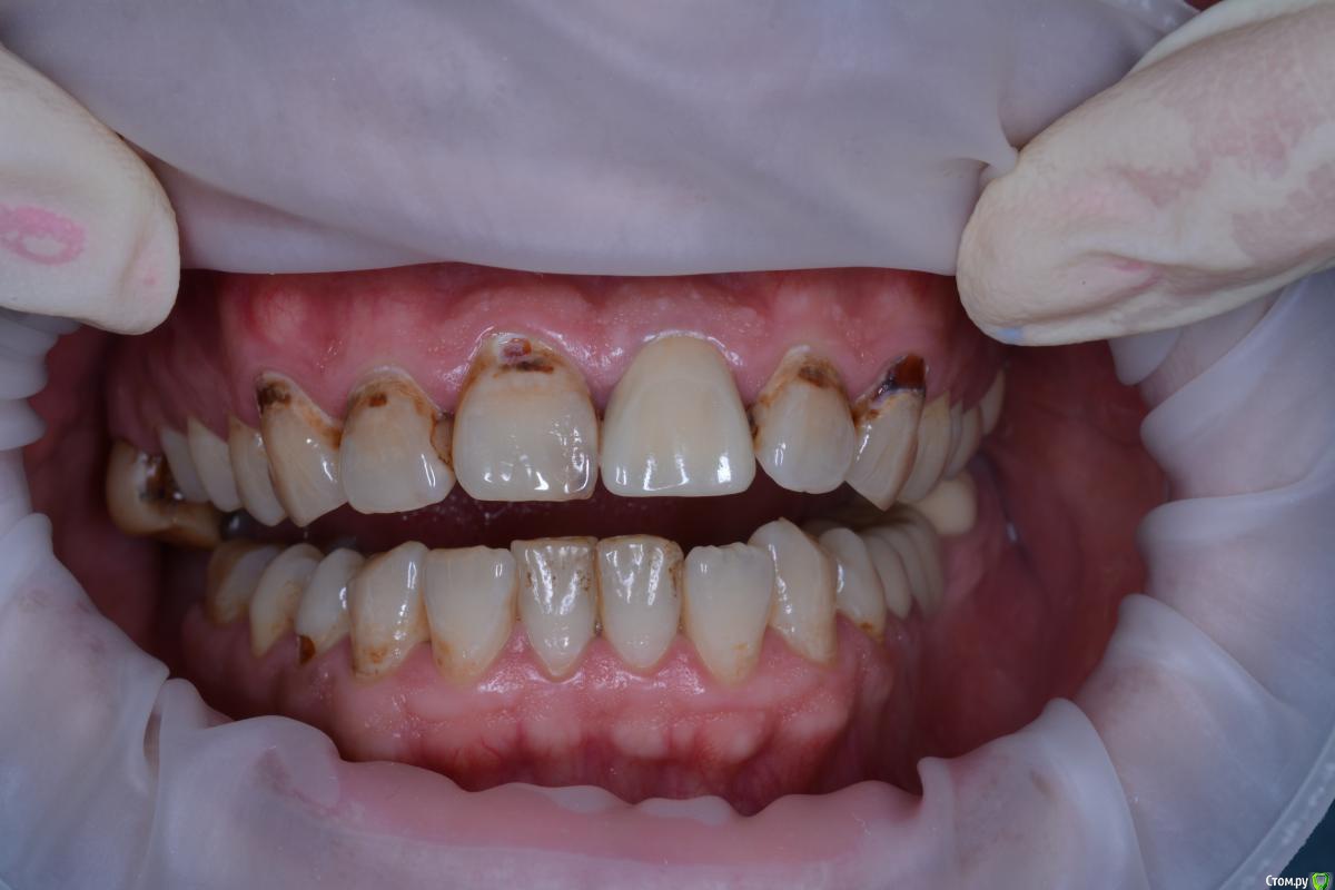
alekcandr ovs. Опубликовано 3 июля, 2017 Поделиться Опубликовано 3 июля, 2017 Планируется протезирование от 13---23 Получиться ли перекрыть цвет E.max??? может диоксид с нанесением??? Ссылка на комментарий
DrNice Опубликовано 3 июля, 2017 Поделиться Опубликовано 3 июля, 2017 Получится, с нанесением. Даже полная анатомия в данном случае прокатит. Ссылка на комментарий
alekcandr ovs. Опубликовано 3 июля, 2017 Автор Поделиться Опубликовано 3 июля, 2017 Получится, с нанесением. Даже полная анатомия в данном случае прокатит.e.max или циркон??? Ссылка на комментарий
DmitrySH Опубликовано 3 июля, 2017 Поделиться Опубликовано 3 июля, 2017 Е.мах, кариес сперва полечите только. 1 Ссылка на комментарий
alekcandr ovs. Опубликовано 3 июля, 2017 Автор Поделиться Опубликовано 3 июля, 2017 ок.спасибо!!! Ссылка на комментарий
DR.P Опубликовано 3 июля, 2017 Поделиться Опубликовано 3 июля, 2017 (изменено) Сейчас, выполняю похожее лечение. Пролечил кариес этих флюорозных эрозий. Оттенок в тон культей. Все делал с коффердамом, получается ретракция платком и полное обнажение границ эрозий. Получилось отлично. После уже препарирование. Я выбрал виниры на рефракторе...но это потому что люблю его больше. Но так же можно сделать и на имаксе, думаю MO будет достаточно Изменено 3 июля, 2017 пользователем DR.P Ссылка на комментарий
DrNice Опубликовано 4 июля, 2017 Поделиться Опубликовано 4 июля, 2017 e.max или циркон???Емакс, не знаю как вы, но я от каркасных реставраций пытаюсь уйти полностью. 1 Ссылка на комментарий
alekcandr ovs. Опубликовано 8 июля, 2017 Автор Поделиться Опубликовано 8 июля, 2017 Сейчас, выполняю похожее лечение. Пролечил кариес этих флюорозных эрозий. Оттенок в тон культей. Все делал с коффердамом, получается ретракция платком и полное обнажение границ эрозий. Получилось отлично. После уже препарирование. Я выбрал виниры на рефракторе...но это потому что люблю его больше. Но так же можно сделать и на имаксе, думаю MO будет достаточноспасибо!!! Пошел Вашим путем,немного запарился с платком от коффера,очень он не хотел полностью отдавливать десну.Вы какие платки используете??? Ссылка на комментарий
Рекомендуемые сообщения
Для публикации сообщений создайте учётную запись или авторизуйтесь
Вы должны быть пользователем, чтобы оставить комментарий
Создать аккаунт
Зарегистрируйте новый аккаунт в нашем сообществе. Это очень просто!
Регистрация нового пользователяВойти
Уже есть аккаунт? Войти в систему.
Войти