стихия Опубликовано 3 июля, 2017 Поделиться Опубликовано 3 июля, 2017 Здравствуйте, уважаемые стоматологи! Очень прошу вашей помощи. Ситуация такая: год назад пломбировали мне каналы в 26-м зубе. Через пол-года начала чувствовать десну и щеку, сам зуб не болел. Пошла к врачу, сделали снимки, сказал гранулема на 25(про 26-й ничего не сказал), можно наблюдать, если воспалится - сделать резекцию верхушки корня. На прошлой неделе вспухла немного щека и заложило гайморовую пазуху. Опять сделали снимок и сказали удалять 26, спасти зуб нельзя, а в 25 лечить кисту. Я в шоке. Удалять не хотелось бы. Очень прошу посмотреть мои снимки и дать совет: можно ли вылечить кисту 26-го без удаления? Сейчас опухоль спала и зуб практически не беспокоит. Что будет, если вообще его пока не трогать? Выкладываю снимки, сделанные: 1. год назад 2. пол-года назад 3. на прошлой неделе.1. http://s015.radikal.ru/i330/1707/e8/be0d848983dd.jpg2. http://s018.radikal.ru/i508/1707/f4/68ec5e31521b.jpg3. http://s019.radikal.ru/i608/1707/17/603d3bfcc4b7.jpg Ссылка на комментарий
DmitrySH Опубликовано 3 июля, 2017 Поделиться Опубликовано 3 июля, 2017 Здравствуйте!У вас гранулемы на трех зубах, еще седьмой. Все три зуба требуют лечения. Успех лечения не 100%, но шансы есть. В ходе лечения может выявится что-то, из-за чего потребуется удаление. Ищите грамотного эндодонтиста. Ссылка на комментарий
стихия Опубликовано 3 июля, 2017 Автор Поделиться Опубликовано 3 июля, 2017 (изменено) Дмитрий, спасибо, что ответили. Немного обнадежили. Проблема в том, что город у нас маленький и опытных эндодонтистов нет, под микроскопом никто не лечит. Про гранулему на 27 вообще никто ни разу не сказал, хотя была на консультации у многих врачей. Подскажите еще, пожалуйста, каким образом лечить 26-й зуб? Каналы вроде там хорошо запломбированы... как до гранулемы добраться? Делать надрез в десне или все-таки через каналы? И еще: были ли уже видны гранулемы год назад, когда пломбировали каналы (снимок 1) или они появились позже? Изменено 3 июля, 2017 пользователем стихия Ссылка на комментарий
стихия Опубликовано 4 июля, 2017 Автор Поделиться Опубликовано 4 июля, 2017 Начала сегодня лечение. Сняли вкладку и коронку с 25 зуба, вроде все удачно. А вот с каналом произошел неприятный сюрприз - распломбировать его не удалось. Зуб был залечан 15 лет назад, видать каким-то материалом вроде цемента (так сказал врач). Заложил лек-во в канал, которое растворит цемент, если получится, и дальше будем пробовать проходить канал. Если канал не пройдем, будем делать резекцию верхушки и тогда получается зря снимали коронку А насчет 26-го: по-прежднему настаивает на удалении, говорит нет смысла даже пробовать лечить. Говорит, зуб выдвинулся (снизу 14 лет не было антагониста), корни сильно оголились и немного уже пошатывается. Была еще сегодня у одного врача. Она предлагает в 26-м попробовать распломбировать только медиальный канал (который рядом с 25) и заложить пасту лечебную. Говорит, что гранулема в основном около медиального корня, может достаточно будет только его пролечить. Что скажете про такой вариант лечения 26-го зуба? Ссылка на комментарий
Паращук Роман Опубликовано 4 июля, 2017 Поделиться Опубликовано 4 июля, 2017 по 26 -комп. томография. Покажет и где процесс и есть ли смысл в сохранении,выдвинутый зуб можно вернуть обратно.по 25- не жалейте за ту коронку, разковырять канал думаю проблемой не будет,главное что бы док мимо не пошел,по ходу вкладки. Ссылка на комментарий
DmitrySH Опубликовано 4 июля, 2017 Поделиться Опубликовано 4 июля, 2017 Делать надрез в десне или все-таки через каналы? И еще: были ли уже видны гранулемы год назад, когда пломбировали каналы (снимок 1) или они появились позже? Или через каналы или удалять. Год назад была уже была гранулема. Ссылка на комментарий
стихия Опубликовано 5 июля, 2017 Автор Поделиться Опубликовано 5 июля, 2017 (изменено) Спасибо всем откликнувшимся! выдвинутый зуб можно вернуть обратноА есть в этом смысл? Мне этот зуб уже обрезали, когда год назад снизу мост ставила. Именно поэтому и был он депульпирован и запломбирован. Теперь если его вернуть обратно, он будет короче рядомстоящих и к мосту не будет примыкать.Проблема 26-го зуба еще в том, что там есть пародонтальные карманы, особенно со стороны семерки глубокий карман. Врач, который мне этот зуб год назад лечил(и получается не увидел гранулему на снимке! ), говорит, что периодонтит начался именно из-за карманов. по 26 -комп. томография. Покажет и где процесс и есть ли смысл в сохраненииЕсть КТ сделанная год назад. Не знаю, актуальна ли она, можно по ней что-то сказать относительно целесообразности лечения 26-го зуба?http://s019.radikal.ru/i609/1707/60/31106a68e6e5.jpghttp://s019.radikal.ru/i626/1707/30/f8e0cda058b2.jpg Посмотрите, пожалуйста, по второму снимку КТ кажется, что у пятерки 2 канала. Так ли это? (на прицельных снимках только один виден) Изменено 5 июля, 2017 пользователем стихия Ссылка на комментарий
DmitrySH Опубликовано 5 июля, 2017 Поделиться Опубликовано 5 июля, 2017 Посмотрите, пожалуйста, по второму снимку КТ кажется, что у пятерки 2 канала. Так ли это? Все зависит от ракурса. В пятерке 2 канала Ссылка на комментарий
стихия Опубликовано 5 июля, 2017 Автор Поделиться Опубликовано 5 июля, 2017 Сделала сегодня КТ. Посмотрите, пожалуйста, на мою 6-ку: можно ли ее сохранить или все же удаление? [/url]">http://http://i069.radikal.ru/1707/ff/8d6897a22740.jpg [/url]">http://http://s018.radikal.ru/i520/1707/64/abdd98ec31eb.jpg [/url]">http://http://s019.radikal.ru/i623/1707/34/383f02202856.jpg [/url]">http://http://s018.radikal.ru/i515/1707/8c/2be4e3ec1cea.jpg [/url]">http://http://s019.radikal.ru/i606/1707/b3/fab8d09e1db5.jpg [/url]">http://http://radikal.ru'>http://s019.radikal.ru/i619/1707/c2/6821dccbcc94.jpg Ссылка на комментарий
DmitrySH Опубликовано 5 июля, 2017 Поделиться Опубликовано 5 июля, 2017 Проблема в том, что город у нас маленький и опытных эндодонтистов нет, под микроскопом никто не лечит. Так если некому лечить, то советы мало помогут Ссылка на комментарий
стихия Опубликовано 5 июля, 2017 Автор Поделиться Опубликовано 5 июля, 2017 (изменено) Так если некому лечить, то советы мало помогутНо все же, хотелось бы знать, какие шансы у этого зуба? Если зуб можно спасти и шансы у него неплохие, я могу поехать в Минск на лечение (я из Беларуси). Если зуб совсем ненадежный (из-за десневых карманов или по еще каким-то причинам), тогда буду удалять, что ж поделаешь. Я очень переживаю по поводу зубов, они у меня плохие с детства, но стараюсь лечить и берегу каждый зубик. Пожалуйста, дайте совет по поводу этого 26-го зуба, буду очень благодарна.Еще добавлю: у меня хронический гайморит, вот и сейчас пазухи заложены(да и по снимку это видно). Не будет ли гайморит в дальнейшем влиять на состояние этого зуба, даже если его вылечат? Изменено 5 июля, 2017 пользователем стихия Ссылка на комментарий
DmitrySH Опубликовано 6 июля, 2017 Поделиться Опубликовано 6 июля, 2017 у меня хронический гайморит, вот и сейчас пазухи заложены(да и по снимку это видно). Не будет ли гайморит в дальнейшем влиять на состояние этого зуба, даже если его вылечат? Наоборот. Скорее всего гайморит возник от воспаления вокруг зуба. Как решится проблема с зубом, так и гайморит пройдет ( если он от зуба)Вы поймите, для нас такие зубы, это ежедневная работа. Но обещать на 100% что кто-то где-то вылечит, это невозможно. Ссылка на комментарий
стихия Опубликовано 6 июля, 2017 Автор Поделиться Опубликовано 6 июля, 2017 Вы поймите, для нас такие зубы, это ежедневная работа. Но обещать на 100% что кто-то где-то вылечит, это невозможно. Я все понимаю, что гарантий мне никто не даст. Так я и не прошу гарантий или обещаний на форуме Да и какие вообще могут быть гарантии на здоровье. Но по снимку зуба ведь можно примерно оценить, насколько сложный этот зуб. Вот вы, Дмитрий, пишете, что для вас это ежедневная работа. Т.е. вы такие зубы лечите? Не отправляете сразу на удаление? И насколько успешно? простите, что задаю много вопросов... просто конкретного ответа, что делать с этим зубом мне так и не дали... Ссылка на комментарий
DmitrySH Опубликовано 6 июля, 2017 Поделиться Опубликовано 6 июля, 2017 . Вот вы, Дмитрий, пишете, что для вас это ежедневная работа. Т.е. вы такие зубы лечите? Не отправляете сразу на удаление? И насколько успешно? Конечно лечим. очень успешно. На снимках не вижу поводов для удаления. Если в ходе лечения выявляется что зуб невозможно вылечить, то удаляем. Ссылка на комментарий
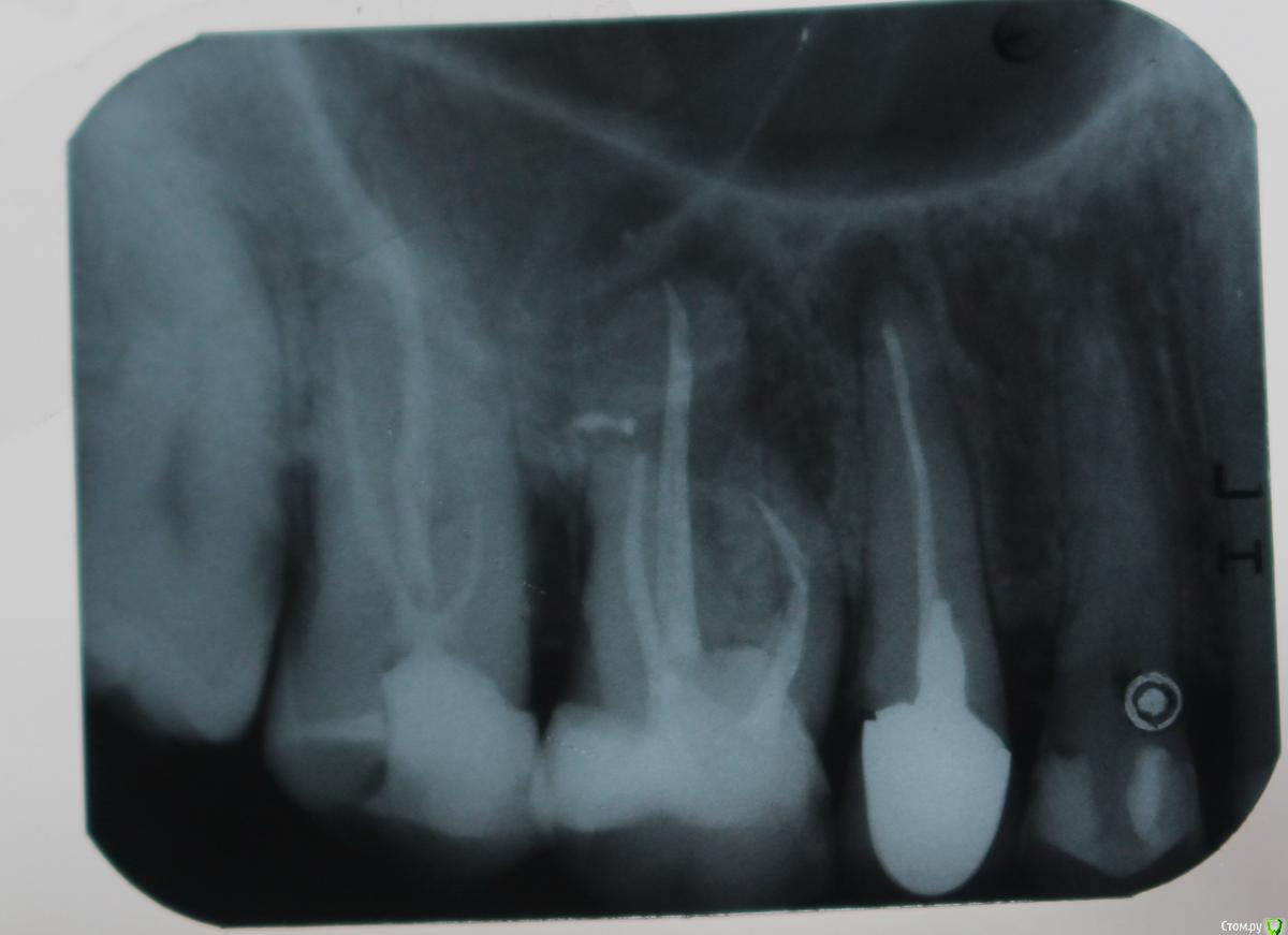
стихия Опубликовано 14 июля, 2017 Автор Поделиться Опубликовано 14 июля, 2017 Здравствуйте! Опять к вам с вопросами, уважаемые стоматологи. Продолжаю лечение 25 зуба. Как я писала ранее, сняли коронку и вкладку, но канал распломбировать не смогли. Сегогдня была еще у другого доктора, тоже пытался распломбировать канал. Врач нашел еще 2 канала, но центральный, самый длинный канал так и не прошел (говорит, что там цемент). Прошу взглянуть на мой сегодняшний снимок: действительно ли это доп.каналы или это доктор пошел мимо и произошла перфорация стенки? Меня насторожило то, что взглянув на снимок после попытки пройти канал, доктор(терапевт) начал активно предлагать удаление 25-го зуба (((http://s010.radikal.ru/i312/1707/e2/4dc46765def4.jpg Еще вопрос по резекции. Хирург предлагает делать резекцию верхушки (т.к. пройти канал не удалось). Но перед резекцией предлагает поставить вкладку и коронку (пластмассовую). Говорит, после резекции нужно дать нагрузку на зуб, чтобы понаблюдать, как он будет себя вести. Целесообразно ли это? Нужно ли делать вкладку и коронку перед резекцией? p.s. 26 все-таки буду удалять. цена на перелечивание каналов под микроскопом, которую мне озвучили в Минске, выше, чем поставить имплант на это место. и гарантий, что уйдет гранулема после всех этих манипуляций с каналами тоже никаких нет, т.к. кроме гранулем там много других проблем с этим зубом. Ссылка на комментарий
red_butler Опубликовано 15 июля, 2017 Поделиться Опубликовано 15 июля, 2017 Я бы пятый удалил Ссылка на комментарий
St. Опубликовано 15 июля, 2017 Поделиться Опубликовано 15 июля, 2017 5 выглядит сейчас совсем неблагонадежно, я тоже за удаление если не получается полностью удовлетворительно перелечить Ссылка на комментарий
стихия Опубликовано 17 июля, 2017 Автор Поделиться Опубликовано 17 июля, 2017 Спасибо за ответы. Еще вопрос, но уже по удалению(не хочу плодить темы, поэтому спрошу в этом разделе, с позволения модераторов). Хирург предлагает после удаления 5 и 6 подсыпать в лунки "искусственную кость". Мотивирует это тем, что1. это будет способствовать быстрейшему заживлению 2. в дальнейшем если ставить на эти места импланты, все-равно нужно будет это делать, и чтобы не резать потом, можно сделать сразу после удаления.Я засомневалась, т.к. в интернете прочитала, что если зуб удаляется в обострении хронического воспаления делать остеопластику нельзя. Стоит ли это делать в моем случае? Будет ли это эффективно или тут исключительно коммерческий интерес врача? Ссылка на комментарий
Паращук Роман Опубликовано 17 июля, 2017 Поделиться Опубликовано 17 июля, 2017 Да уж... я за удаление 25. Смотря какой хирург и что будет в те лунки "подсыпать". Такая тактика имеет место быть и часто используется. Ссылка на комментарий
стихия Опубликовано 17 июля, 2017 Автор Поделиться Опубликовано 17 июля, 2017 Да уж... я за удаление 25. Смотря какой хирург и что будет в те лунки "подсыпать". Такая тактика имеет место быть и часто используется. я и сама уже поняла, что пора пятерку удалять... шишка над десной увеличилась и гайморит замучил ((То, что такую тактику (подсыпание кости в лунку после удаления) используют, я знаю. Но нужна ли она в моем случае? не будет ли хуже заживать место, где были гранулемы? или тут как повезет? Ссылка на комментарий
Паращук Роман Опубликовано 19 июля, 2017 Поделиться Опубликовано 19 июля, 2017 я и сама уже поняла, что пора пятерку удалять... шишка над десной увеличилась и гайморит замучил ((То, что такую тактику (подсыпание кости в лунку после удаления) используют, я знаю. Но нужна ли она в моем случае? не будет ли хуже заживать место, где были гранулемы? или тут как повезет?Удалив все грануляции и очистив ложе "подсипка" поможет,но не факт что то избавит Вас от будущей "подсипки". Ссылка на комментарий
Рекомендуемые сообщения
Для публикации сообщений создайте учётную запись или авторизуйтесь
Вы должны быть пользователем, чтобы оставить комментарий
Создать аккаунт
Зарегистрируйте новый аккаунт в нашем сообществе. Это очень просто!
Регистрация нового пользователяВойти
Уже есть аккаунт? Войти в систему.
Войти