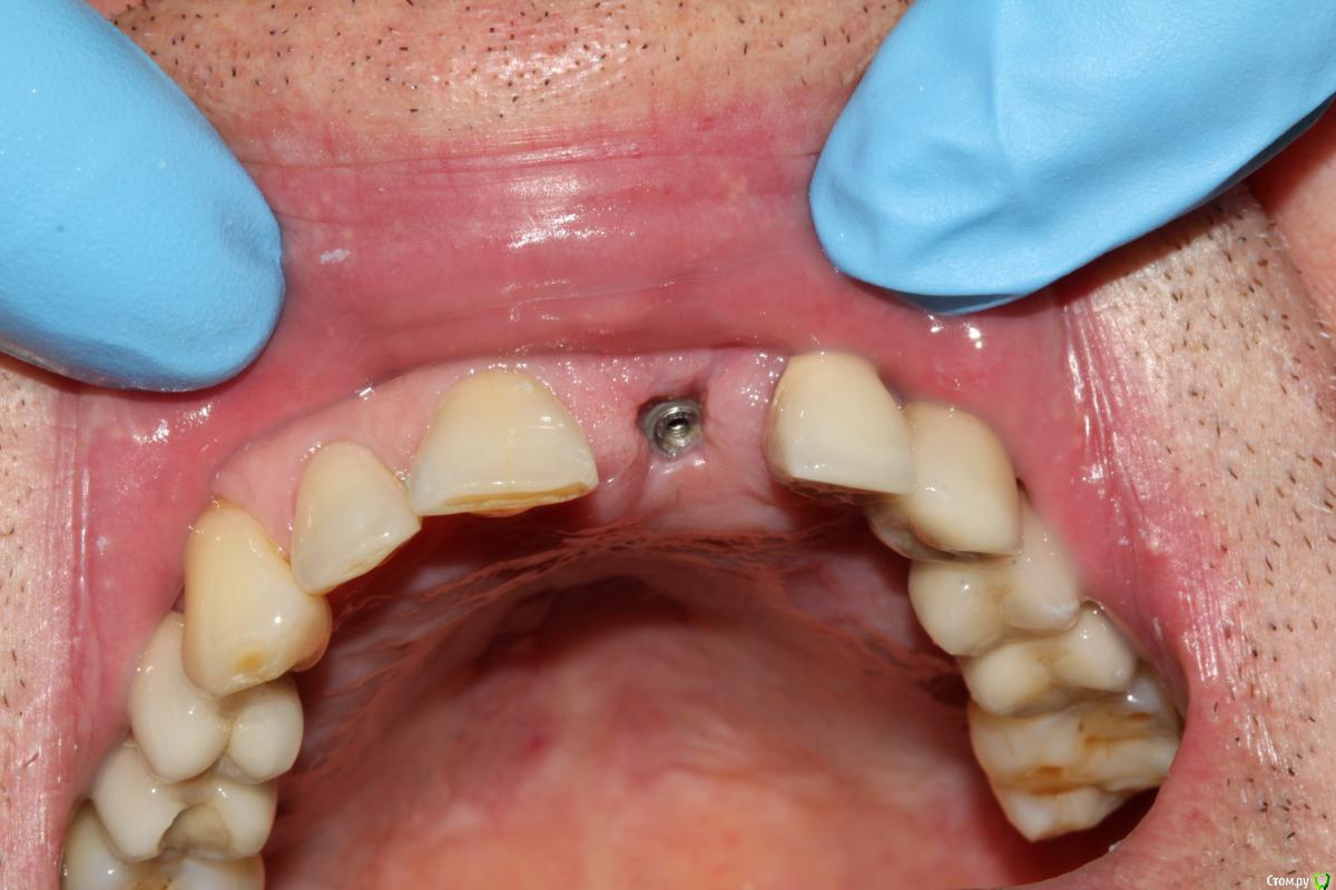
Muhamedgaliev Опубликовано 30 июня, 2017 Поделиться Опубликовано 30 июня, 2017 Доброго времени суток коллеги. 2 недели назад производил имплантацию. Удалил, закрутил(Ankilos), ССТ с бугра, хотел временную конструкцию установить, но не удалось(не правильно выбрал абатмант), заглушил, ушился. Вот такая картина через 2 недели. Имплант виднеется, витка три. И внимание вопрос) Что делать?)) Кто с талкивался с таким клиническим случаем... Ссылка на комментарий
red_butler Опубликовано 30 июня, 2017 Поделиться Опубликовано 30 июня, 2017 вынимать 9 Ссылка на комментарий
Rash163 Опубликовано 30 июня, 2017 Поделиться Опубликовано 30 июня, 2017 временную надо было делать на имплантоводе. Ссылка на комментарий
Тимур86 Опубликовано 30 июня, 2017 Поделиться Опубликовано 30 июня, 2017 вынимать+1!пока хуже не стало...такое ощущение,что недокрутитли 2 Ссылка на комментарий
4ebstom Опубликовано 30 июня, 2017 Поделиться Опубликовано 30 июня, 2017 +1 к недокрутили.вынимать Ссылка на комментарий
kamranchick Опубликовано 30 июня, 2017 Поделиться Опубликовано 30 июня, 2017 +1!пока хуже не стало...такое ощущение,что недокрутитлитам еще топить и топить надо было Ссылка на комментарий
Nazim_NV86 Опубликовано 30 июня, 2017 Поделиться Опубликовано 30 июня, 2017 (изменено) Согласен. Вынимать. Месяц ждать минимум и новый. Платформу ,относительно вестибулярки, минимум на 3мм топить. Изменено 30 июня, 2017 пользователем Nazim_NV86 Ссылка на комментарий
Иван911 Опубликовано 1 июля, 2017 Поделиться Опубликовано 1 июля, 2017 Там на имплантоводе должна быть отметка, обычно 3мм, по ней ориентируйтесь от края слизистой, это минимум. Анкилоз лучше еще глубже чем 3. Здеь я бы выкрутил, промыл и одномоментно вкрутил глубже уже либо с стандартным формирователем, либо индивидуальным. Ссылка на комментарий
Muhamedgaliev Опубликовано 4 июля, 2017 Автор Поделиться Опубликовано 4 июля, 2017 Там на имплантоводе должна быть отметка, обычно 3мм, по ней ориентируйтесь от края слизистой, это минимум. Анкилоз лучше еще глубже чем 3. Здеь я бы выкрутил, промыл и одномоментно вкрутил глубже уже либо с стандартным формирователем, либо индивидуальным.Спасибо Иван за совет. Завтра планирую убрать и закрутить новый. Ссылка на комментарий
Рекомендуемые сообщения
Для публикации сообщений создайте учётную запись или авторизуйтесь
Вы должны быть пользователем, чтобы оставить комментарий
Создать аккаунт
Зарегистрируйте новый аккаунт в нашем сообществе. Это очень просто!
Регистрация нового пользователяВойти
Уже есть аккаунт? Войти в систему.
Войти