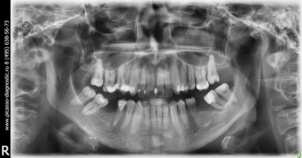
AIR70 Опубликовано 28 июня, 2017 Поделиться Опубликовано 28 июня, 2017 Уважаемые доктора!В настоящий момент прохожу лечение у терапевта, меняю старые пломбы.В процессе возник вопрос о целесообразности сохранения верхней правой пятерки.В зубе достаточно большая пломба, под замену, зуб витальный, расположен небно.В целом, в челюсти зубы скучены.Мой доктор посоветовала проконсультироваться у ортодонта, она предполагает, что после удаления, произойдет разгрузка челюсти с правой стороны и самопроизвольное сдвижение соседних зубов в сторону дефекта.Прошу совета, сохранять зуб или удалить?К полноценному ортодонтическому лечению не готова по ряду объективных причин.Заранее благодарю за ответы. Зуб1.bmp Ссылка на комментарий
red_butler Опубликовано 28 июня, 2017 Поделиться Опубликовано 28 июня, 2017 Данный раздел требует больший объем объективных данных.http://forum.stom.ru/topic/4655-patcientam/ Ссылка на комментарий
AIR70 Опубликовано 28 июня, 2017 Автор Поделиться Опубликовано 28 июня, 2017 Добавляю фото Ссылка на комментарий
Рекомендуемые сообщения
Для публикации сообщений создайте учётную запись или авторизуйтесь
Вы должны быть пользователем, чтобы оставить комментарий
Создать аккаунт
Зарегистрируйте новый аккаунт в нашем сообществе. Это очень просто!
Регистрация нового пользователяВойти
Уже есть аккаунт? Войти в систему.
Войти