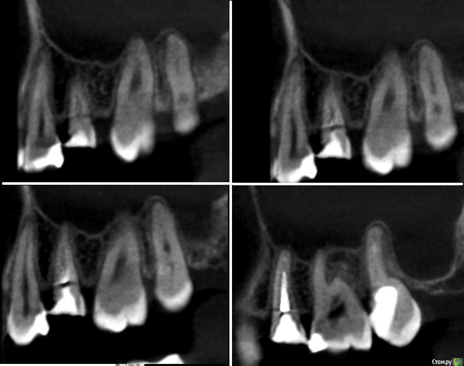
kurkuma Опубликовано 27 июня, 2017 Поделиться Опубликовано 27 июня, 2017 Всем добрый день! Ситуация такая: лечили мне зуб 15, после последней промывки каналов и закладки лекарства за верхушку корня зуба (йод+метронидазол+не помню что) вечером этого же дня из носа полило и заложило пазуху. По кт выявили гайморит. Теперь у меня встал вопрос- продолжать ли спасать зуб(вкладка+коронка), которую предлагают в клинике или зуб лучше удалить( как советует лор). Я например по кт вижу одни поперечные трещины, что подразумевает удаление зуба. В клинике сказали всё нормально, трещин нет(????) лечите гайморит. Что подскажете вы, уважаемые участники форума? Ссылка на комментарий
St. Опубликовано 27 июня, 2017 Поделиться Опубликовано 27 июня, 2017 Корни этого зуба действительно выходят в гайморову пазуху, это вариант нормы.То что смушает вас на снимке скорее всего артефакт. Исходя только из снимка показаний удалению не вижу. 3 Ссылка на комментарий
DmitrySH Опубликовано 27 июня, 2017 Поделиться Опубликовано 27 июня, 2017 Лечить зуб, гайморит сам пройдет 1 Ссылка на комментарий
Рекомендуемые сообщения
Для публикации сообщений создайте учётную запись или авторизуйтесь
Вы должны быть пользователем, чтобы оставить комментарий
Создать аккаунт
Зарегистрируйте новый аккаунт в нашем сообществе. Это очень просто!
Регистрация нового пользователяВойти
Уже есть аккаунт? Войти в систему.
Войти