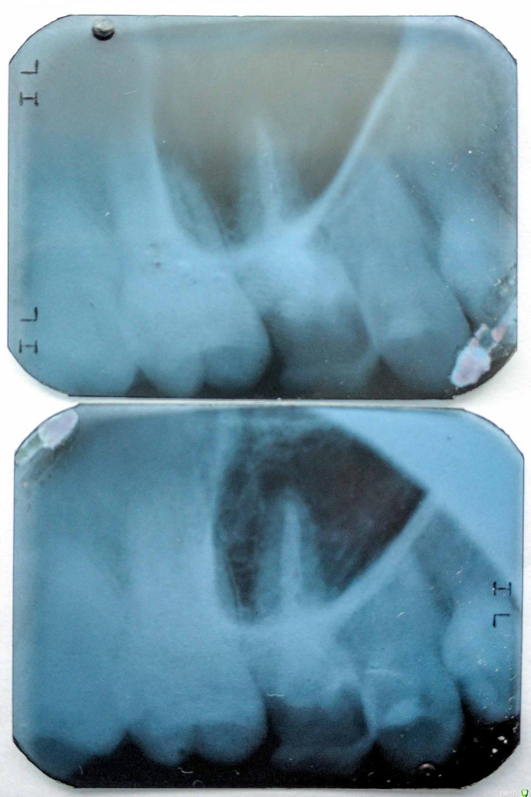
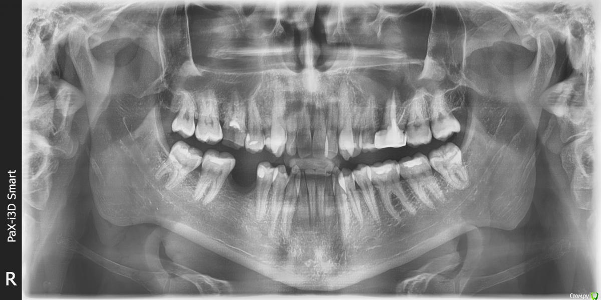
Баурсак Опубликовано 27 июня, 2017 Поделиться Опубликовано 27 июня, 2017 Здравствуйте, прошу помощи.Панарамный снимок сделан 14.04.2017, при планировании лечения зуба 25 (стоит пломба, чувствительность к холодному и горячему).Лечить еще не ходил и вот только собираюсь.Для надежности сегодня сходил и сделал снимки отдельных зубов, того же 25 и еще 16 (тоже планируется лечение, зуб мертвый и начал крошиться).На одиночном снимке зуба 16 видна какая то темная область (снимали его два раза для исключения ошибки). Я очень переживаю, на апрельском снимке темной зоны не видно. Десна в том месте не болит, зуб 16 потемневший, рядом с десной имеет темное обрамление.Подскажите пожалуйста что на снимке? Ссылка на комментарий
shishok Опубликовано 27 июня, 2017 Поделиться Опубликовано 27 июня, 2017 На отдельных снимках наслаивается проекция гайморовой пазухи. Ссылка на комментарий
Баурсак Опубликовано 27 июня, 2017 Автор Поделиться Опубликовано 27 июня, 2017 На отдельных снимках наслаивается проекция гайморовой пазухи.Спасибо! А то я не на шутку испугался... Ссылка на комментарий
Рекомендуемые сообщения
Для публикации сообщений создайте учётную запись или авторизуйтесь
Вы должны быть пользователем, чтобы оставить комментарий
Создать аккаунт
Зарегистрируйте новый аккаунт в нашем сообществе. Это очень просто!
Регистрация нового пользователяВойти
Уже есть аккаунт? Войти в систему.
Войти