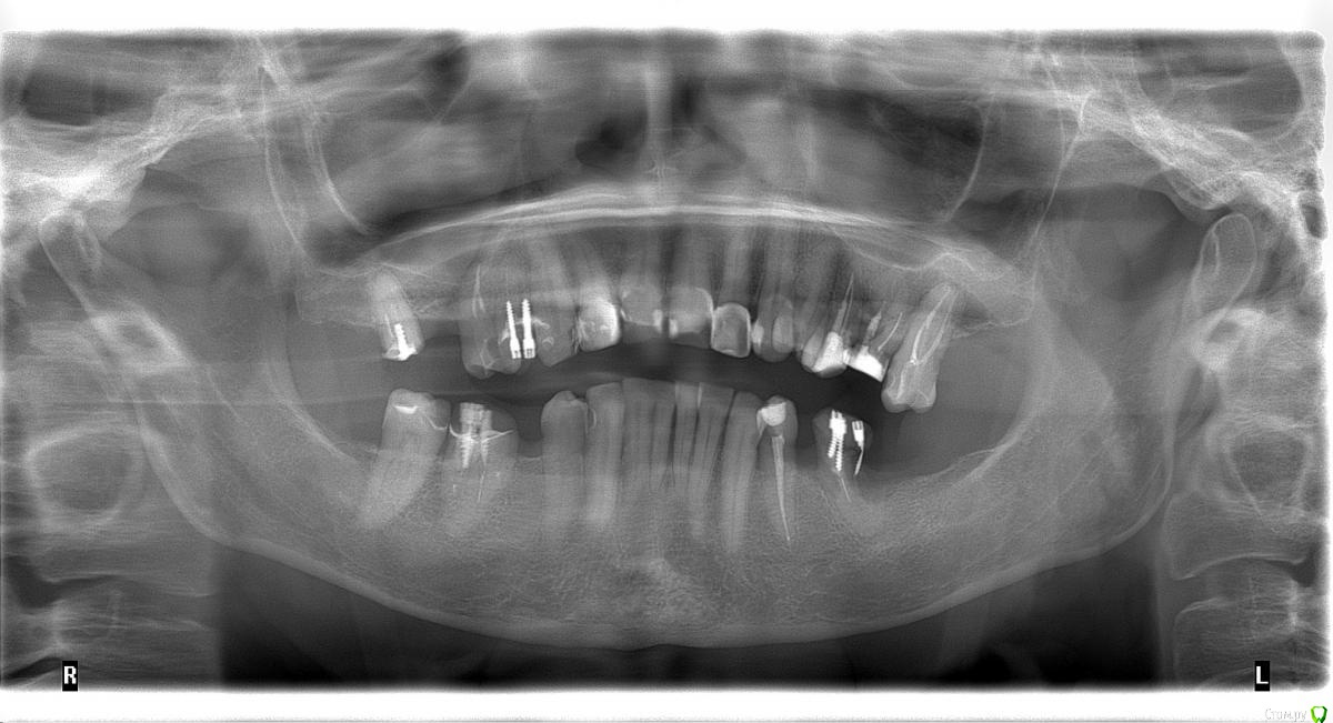
dr.Dre Опубликовано 22 июня, 2017 Поделиться Опубликовано 22 июня, 2017 Добрый день уважанмые коллеги,пациентка 58 лет .Помогите составить план лечения,имплантацию не потянет .Нужно ли здесь поднимать прикус? Ссылка на комментарий
chervoncevdaniil Опубликовано 22 июня, 2017 Поделиться Опубликовано 22 июня, 2017 Добрый день уважанмые коллеги,пациентка 58 лет .Помогите составить план лечения,имплантацию не потянет .Нужно ли здесь поднимать прикус?Вы думаете принять решение поднимать прикус или нет можно только по панорамному снимку не видя ни фото пациентов,ни диагностических моделей,хотя бы в привычном прикусе? Ссылка на комментарий
4ebstom Опубликовано 23 июня, 2017 Поделиться Опубликовано 23 июня, 2017 Что хочет пациент? Ссылка на комментарий
dr.Dre Опубликовано 24 июня, 2017 Автор Поделиться Опубликовано 24 июня, 2017 Что хочет пациент?Мк ,фронт безметал Ссылка на комментарий
Рекомендуемые сообщения
Для публикации сообщений создайте учётную запись или авторизуйтесь
Вы должны быть пользователем, чтобы оставить комментарий
Создать аккаунт
Зарегистрируйте новый аккаунт в нашем сообществе. Это очень просто!
Регистрация нового пользователяВойти
Уже есть аккаунт? Войти в систему.
Войти