Dirina12 Опубликовано 20 июня, 2017 Поделиться Опубликовано 20 июня, 2017 (изменено) Изменено 20 июня, 2017 пользователем Dirina12 1 Ссылка на комментарий
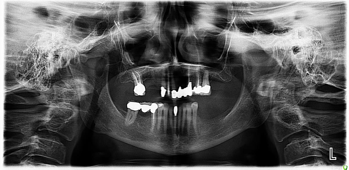
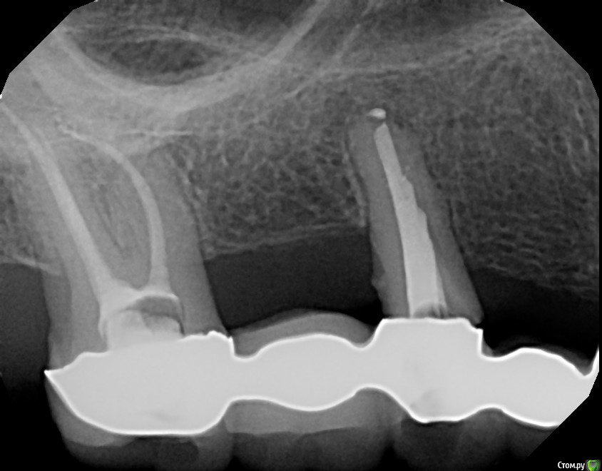
Dirina12 Опубликовано 20 июня, 2017 Автор Поделиться Опубликовано 20 июня, 2017 Эта проблема уже давно. Началось с того что под коронкой заболел зуб. Там был мост и поэтому врач переделал канал через коронку. Болт не ушла. Была такая тянущая боль, как жжёт. Локализации боли не было, болела вся сторона. На снимке ничего не показывало, тогда врач предположил что это средний зуб , распилил мост и удалил зуб. Болт никуда не ушла. И вот 16 июня мне опять открыли зуб и прочистили каналы. Но вот уже 4 й день а зуб болит. Без таблеток не могу( анальгин). Что делать? Может снять коронку и там будет кариес? Может ли кариес давать болт если нерв удалён.? Удалить зуб? Ну уже и так удалили один зуб зря. Первый снимок это уже до удаления среднего зуба. Второй снимок после. Вот тот последний слева ( на снимке) болит. 1 Ссылка на комментарий
Dirina12 Опубликовано 20 июня, 2017 Автор Поделиться Опубликовано 20 июня, 2017 Конечно там слово "боль" , айфон исправляет на болт Ссылка на комментарий
annda Опубликовано 21 июня, 2017 Поделиться Опубликовано 21 июня, 2017 Пусть анестезию к этому зубу поставят и посмотрите,пройдет боль или нет.Если не пройдет,то проблема не в этом зубе. 1 Ссылка на комментарий
Рекомендуемые сообщения
Для публикации сообщений создайте учётную запись или авторизуйтесь
Вы должны быть пользователем, чтобы оставить комментарий
Создать аккаунт
Зарегистрируйте новый аккаунт в нашем сообществе. Это очень просто!
Регистрация нового пользователяВойти
Уже есть аккаунт? Войти в систему.
Войти