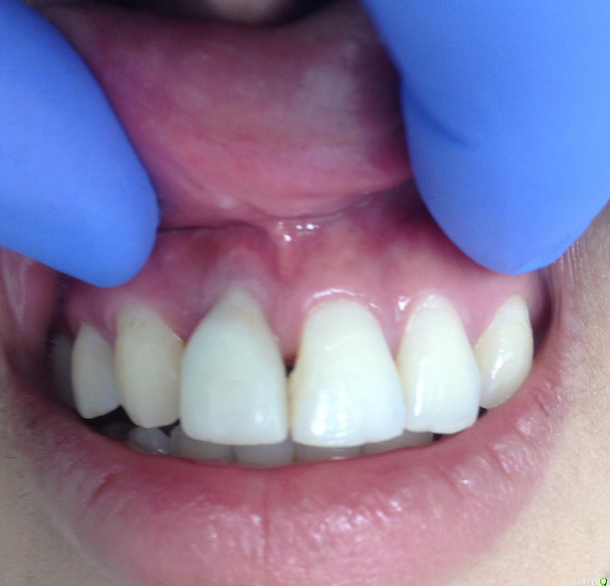
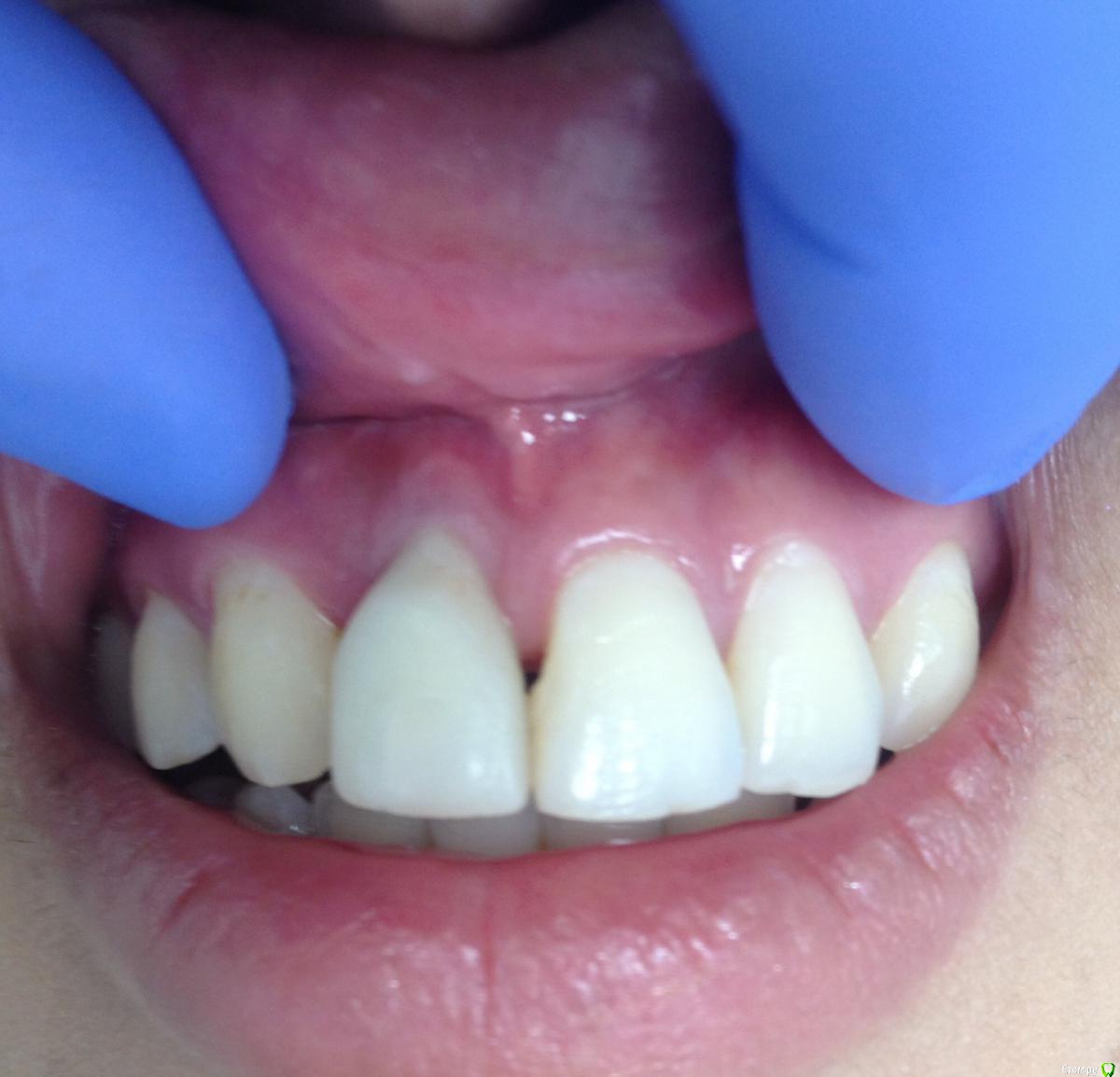
Александр07 Опубликовано 20 июня, 2017 Поделиться Опубликовано 20 июня, 2017 Коллеги, посоветуйте кто каким способом сделал бы коррекцию . Стоит врем коронка на врем абатменте. Хотелось бы опустить зенит и объем добавить. Подложить только вестибулярно сдт ( тоннельно или расщепления), или поставить снова формер с трансплантатом, на какие детали обратить внимание. Ссылка на комментарий
kamranchick Опубликовано 20 июня, 2017 Поделиться Опубликовано 20 июня, 2017 Если владеете, то тоннельно. Ссылка на комментарий
Kostoprav Опубликовано 20 июня, 2017 Поделиться Опубликовано 20 июня, 2017 я бы заглушил имплант , а потом сст с бугра +временная коронка 3 Ссылка на комментарий
АнтонТЛТ Опубликовано 20 июня, 2017 Поделиться Опубликовано 20 июня, 2017 А кт есть? Ссылка на комментарий
Александр07 Опубликовано 21 июня, 2017 Автор Поделиться Опубликовано 21 июня, 2017 А кт есть?После интеграции кт не делали. Ссылка на комментарий
Рекомендуемые сообщения
Для публикации сообщений создайте учётную запись или авторизуйтесь
Вы должны быть пользователем, чтобы оставить комментарий
Создать аккаунт
Зарегистрируйте новый аккаунт в нашем сообществе. Это очень просто!
Регистрация нового пользователяВойти
Уже есть аккаунт? Войти в систему.
Войти