Перейти к содержанию
Стоматология для всех

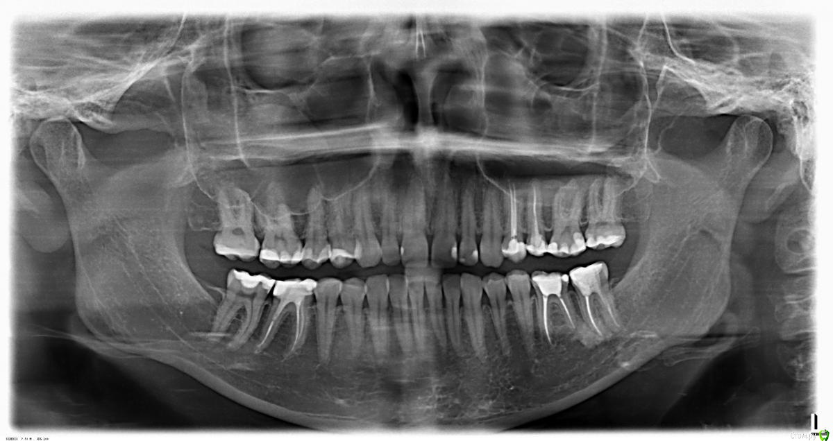
Что можно сказать о состоянии костной ткани по снимку - грозит ли пародонтоз?


begemotik

Рекомендуемые сообщения

Здравствуйте, мне 36 лет, пол женский.
Уже лет с 20 начала замечать небольшие "черные треугольники" в районе нижних резцов, но меня лечили только от кариеса и игнорировали мои вопросы по поводу десен, мол, они с возрастом опускаются у всех.
Так ли это - нормально ли состояние моих десен и костной ткани, учитывая возраст? 
post-51311-0-92631400-1497726563_thumb.jpgpost-51311-0-88961300-1497727119_thumb.jpg

Ссылка на комментарий

Не придирайтесь к себе, по снимкам все хорошо.

Из рекомендаций покрыть зубы без нервов коронками, для профилактики их раскола в будущем.

  • Поддерживаю 2
Ссылка на комментарий

Не придирайтесь к себе, по снимкам все хорошо.

Из рекомендаций покрыть зубы без нервов коронками, для профилактики их раскола в будущем.

Рада бы не придираться, но вычитала, что в норме костная ткань идет четко по уровню границ между коронками и корнями зубов. А у меня, насколько мне показалось по снимку, это не так. 

К тому же есть случай пародонтоза с потерей зубов у близкого родственника.

 

Насчет коронок я сомневаюсь, т. к. как минимум две из них будут на видном при улыбке месте, то есть подойдут только циркониевые. Врач говорит прямо, что менять их придется раз в несколько лет, именно потому что десны опускаются (он уверяет, что это нормально и все меняют коронки). Я не уверена, что потяну по бюджету раз в 5 лет менять 5 коронок, 2 из которых циркониевые. Пока мне кажется, что в случае раскола зуба и установки импланта это мне дешевле обойдется - не все же сразу они расколются.

Ссылка на комментарий

Для публикации сообщений создайте учётную запись или авторизуйтесь

Вы должны быть пользователем, чтобы оставить комментарий

Создать аккаунт

Зарегистрируйте новый аккаунт в нашем сообществе. Это очень просто!

Регистрация нового пользователя

Войти

Уже есть аккаунт? Войти в систему.

Войти
×
×
  • Создать...
Вверх