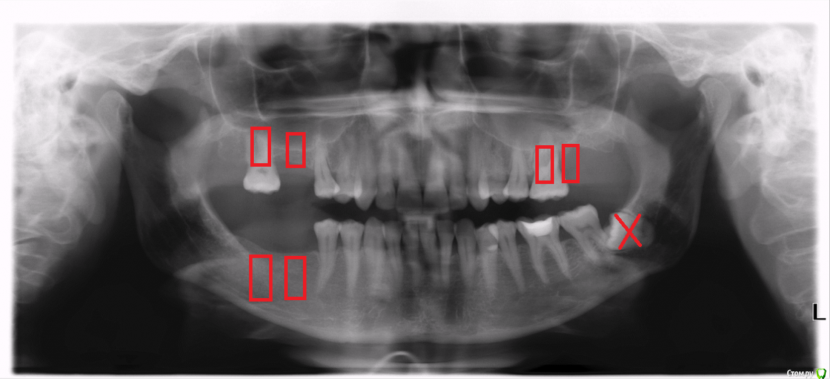
ElenaNorge Опубликовано 16 июня, 2017 Поделиться Опубликовано 16 июня, 2017 (изменено) Здравствуйте уважаемые специалисты!У меня назрел вопрос протезирования. У меня вот такая ситуация с зубами - см. прикрепленный панорамный снимок.Можно ли мне поставить импланты, включая зуб 26 на ВЧ слево, который еще не удален, но очень сильный кандидат на это, так как беспокоит? Какой план имплантирования является наилучшим для моего случая? Заранее благодарю за ответ. С уважением:-) Изменено 16 июня, 2017 пользователем ElenaNorge Ссылка на комментарий
kamranchick Опубликовано 19 июня, 2017 Поделиться Опубликовано 19 июня, 2017 займитесь сначала правой стороной, так сказать, разгрузите левую сторону, как восстановите правую сторону, займетесь левой стороной, чтобы было чем жевать, зуб 2.6 если особо не шатается, можете депульпировать чтобы не болел, и походите с ним какое то время Ссылка на комментарий
ElenaNorge Опубликовано 19 июня, 2017 Автор Поделиться Опубликовано 19 июня, 2017 займитесь сначала правой стороной, так сказать, разгрузите левую сторону, как восстановите правую сторону, займетесь левой стороной, чтобы было чем жевать, зуб 2.6 если особо не шатается, можете депульпировать чтобы не болел, и походите с ним какое то времяОгромное спасибо за ответ. Не могли бы вы ответить на следующие вопросы :1. Мне необходим sinus lift/наращивание?2. По неудаленному зубу, если необходим sinus lift/наращивание как лучше: - удалить зуб, сразу sinus lift/наращивание, ждать 6 мес, потом имплант - удалить зуб, сразу sinus lift/наращивание + имплант. Получаю различную информацию от врачей, не могу понять как лучше. С уважением. Ссылка на комментарий
kamranchick Опубликовано 19 июня, 2017 Поделиться Опубликовано 19 июня, 2017 Огромное спасибо за ответ. Не могли бы вы ответить на следующие вопросы :1. Мне необходим sinus lift/наращивание?2. По неудаленному зубу, если необходим sinus lift/наращивание как лучше: - удалить зуб, сразу sinus lift/наращивание, ждать 6 мес, потом имплант - удалить зуб, сразу sinus lift/наращивание + имплант. Получаю различную информацию от врачей, не могу понять как лучше. С уважением. Задачи у всех одни, методик много, кто во что верит и у кого в руках что лучше работает.1. Да нужен.2.На усмотрение врача, после просмотра компьютерной томограммы. работают все методики, и все по показаниям, не бывает что то лучше а что то хуже... Ссылка на комментарий
ElenaNorge Опубликовано 20 июня, 2017 Автор Поделиться Опубликовано 20 июня, 2017 Задачи у всех одни, методик много, кто во что верит и у кого в руках что лучше работает.1. Да нужен.2.На усмотрение врача, после просмотра компьютерной томограммы. работают все методики, и все по показаниям, не бывает что то лучше а что то хуже... Спасибо большое за ответ. Еще один вопрос, если можно. :-)Российские и рижские врачи говорят, что нельзя летать самолетом 3 недели после синус лифт операции, но норвежские и немецкие врачи сообщили мне, что у них нет таких ограничений. Почему? Проблема в том, что нужно лететь после операции, но не хочется получить осложнений после операции. Ссылка на комментарий
red_butler Опубликовано 20 июня, 2017 Поделиться Опубликовано 20 июня, 2017 Спасибо большое за ответ. Еще один вопрос, если можно. :-)Российские и рижские врачи говорят, что нельзя летать самолетом 3 недели после синус лифт операции, но норвежские и немецкие врачи сообщили мне, что у них нет таких ограничений. Почему? Проблема в том, что нужно лететь после операции, но не хочется получить осложнений после операции. Потому что нет полноценных исследований по этому вопросу Ссылка на комментарий
kamranchick Опубликовано 20 июня, 2017 Поделиться Опубликовано 20 июня, 2017 Спасибо большое за ответ. Еще один вопрос, если можно. :-)Российские и рижские врачи говорят, что нельзя летать самолетом 3 недели после синус лифт операции, но норвежские и немецкие врачи сообщили мне, что у них нет таких ограничений. Почему? Проблема в том, что нужно лететь после операции, но не хочется получить осложнений после операции. чем больше у вас будет вопросов, тем больше сомнений у вас будет. доверьтесь своему сердцу и идите к тому врачу которые ближе будет вам по душе. Ссылка на комментарий
Bier Опубликовано 20 июня, 2017 Поделиться Опубликовано 20 июня, 2017 займитесь сначала правой стороной, так сказать, разгрузите левую сторону, как восстановите правую сторону, займетесь левой стороной, чтобы было чем жевать, зуб 2.6 если особо не шатается, можете депульпировать чтобы не болел, и походите с ним какое то времяа за что вы 17й зуб приговорили? Я бы наверху только 1 имплантат, в позицию 16 поставил. С остальным согласен.Что касается перелетов, если операция пройдет без осложнений - летать можно. Если с перфорацией мембраны - летать не рекомендуется. Ссылка на комментарий
ElenaNorge Опубликовано 21 июня, 2017 Автор Поделиться Опубликовано 21 июня, 2017 а за что вы 17й зуб приговорили? Я бы наверху только 1 имплантат, в позицию 16 поставил. С остальным согласен.Что касается перелетов, если операция пройдет без осложнений - летать можно. Если с перфорацией мембраны - летать не рекомендуется.Нет, нет 17 не приговорили, приговорили 26. :-). Насчет операции - все поняла. Спасибо за разъяснение. чем больше у вас будет вопросов, тем больше сомнений у вас будет. доверьтесь своему сердцу и идите к тому врачу которые ближе будет вам по душе. Вот это как раз самое сложное. Живу в Норвегии, здесь один зуб будет стоить где-то 3000 евро. Ищу специалиста в другой стране, скорее всего в Риге . :-) Kamranchickier, Bier - Спасибо большое за ответы на мои вопросы. Ссылка на комментарий
kamranchick Опубликовано 21 июня, 2017 Поделиться Опубликовано 21 июня, 2017 Приезжайте в питер) готов поговорить с Биером, думаю он за 2000 евро поставит имплантат) и магнитик с питера даст в подарок)) Ссылка на комментарий
ElenaNorge Опубликовано 21 июня, 2017 Автор Поделиться Опубликовано 21 июня, 2017 Спасибо, так бы и сделала, только прямые рейсы до Питера отменили, нужно лететь через Ригу. Ну, а в таком случае, можно уже и там делать. :-) Ссылка на комментарий
Рекомендуемые сообщения
Для публикации сообщений создайте учётную запись или авторизуйтесь
Вы должны быть пользователем, чтобы оставить комментарий
Создать аккаунт
Зарегистрируйте новый аккаунт в нашем сообществе. Это очень просто!
Регистрация нового пользователяВойти
Уже есть аккаунт? Войти в систему.
Войти