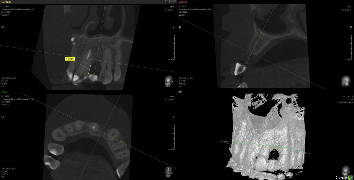
Kostoprav Опубликовано 12 июня, 2017 Поделиться Опубликовано 12 июня, 2017 Уважаемые коллеги! подскажите советом что бы вы сделали в данной ситуации.резорбция кости на корне 21 зуба по высоте почти 6 мм, пациент хочет имплант.боюсь если просто закрутить винт + сст эстетики не будет ни какой так как нет костной поддержки мягких тканей Ссылка на комментарий
Kostoprav Опубликовано 12 июня, 2017 Автор Поделиться Опубликовано 12 июня, 2017 Ситуация во рту Ссылка на комментарий
Bier Опубликовано 12 июня, 2017 Поделиться Опубликовано 12 июня, 2017 Я бы подумал о коронке с консолью. 1 Ссылка на комментарий
Большой Зеленый Опубликовано 12 июня, 2017 Поделиться Опубликовано 12 июня, 2017 +1 Ссылка на комментарий
Kostoprav Опубликовано 12 июня, 2017 Автор Поделиться Опубликовано 12 июня, 2017 боюсь он зуб обтачивать не захочет.а что если попробовать нарастить кости, у кого нибудь получалось? я слышал чудеса про эмдогейн Ссылка на комментарий
kamranchick Опубликовано 13 июня, 2017 Поделиться Опубликовано 13 июня, 2017 боюсь он зуб обтачивать не захочет.а что если попробовать нарастить кости, у кого нибудь получалось? я слышал чудеса про эмдогейнхотите нарастить, бога ради) цитопласт либо по кюри тут сработает) Ссылка на комментарий
syrovovec Опубликовано 15 июня, 2017 Поделиться Опубликовано 15 июня, 2017 На сколько сработает? До костных пик? Этого все равно маловато будет. 1 Ссылка на комментарий
Рекомендуемые сообщения
Для публикации сообщений создайте учётную запись или авторизуйтесь
Вы должны быть пользователем, чтобы оставить комментарий
Создать аккаунт
Зарегистрируйте новый аккаунт в нашем сообществе. Это очень просто!
Регистрация нового пользователяВойти
Уже есть аккаунт? Войти в систему.
Войти