Перейти к содержанию
Стоматология для всех

Интересные семерки


Opdihatop

Рекомендуемые сообщения

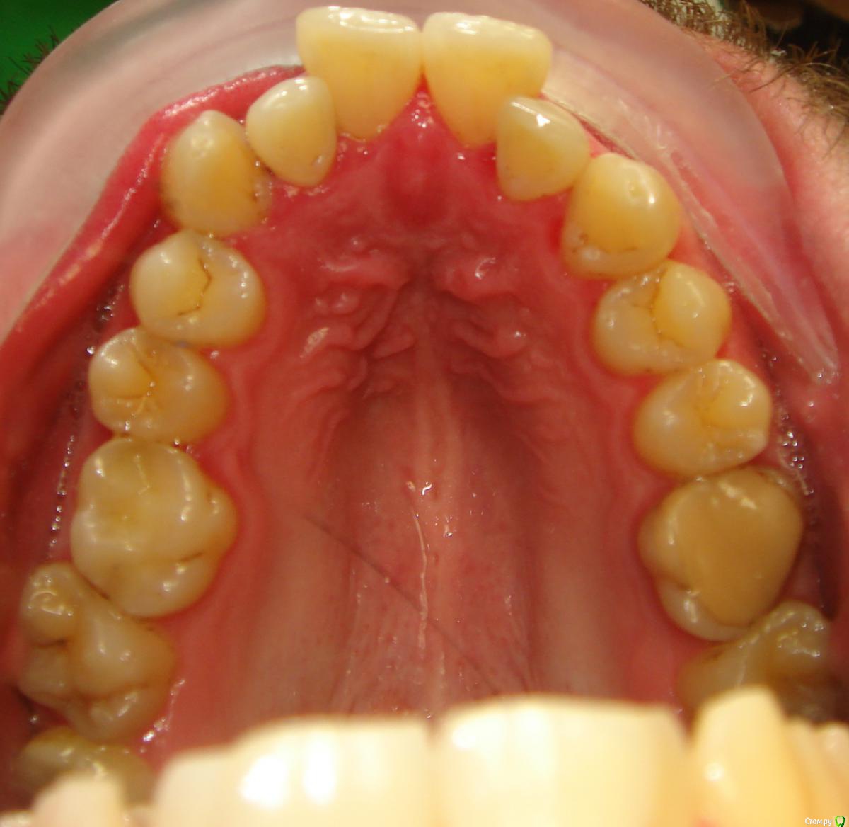
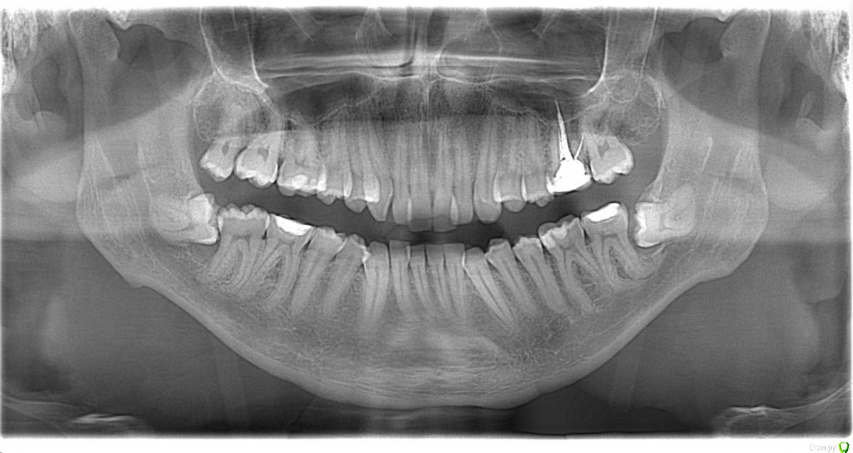
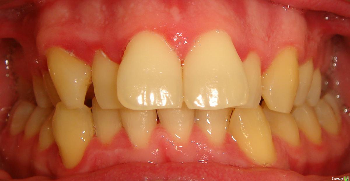
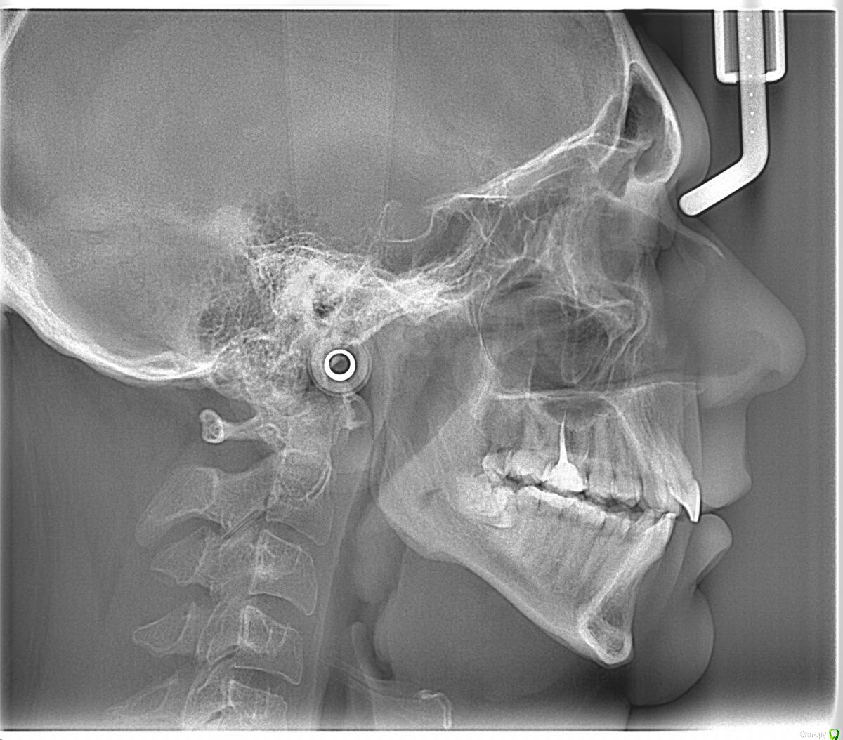
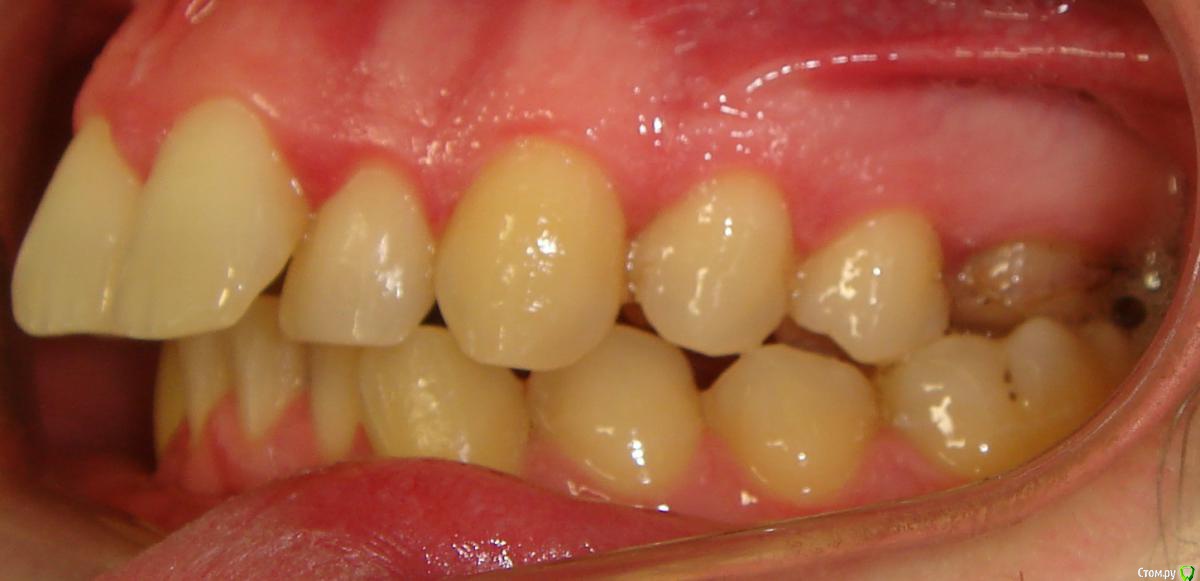
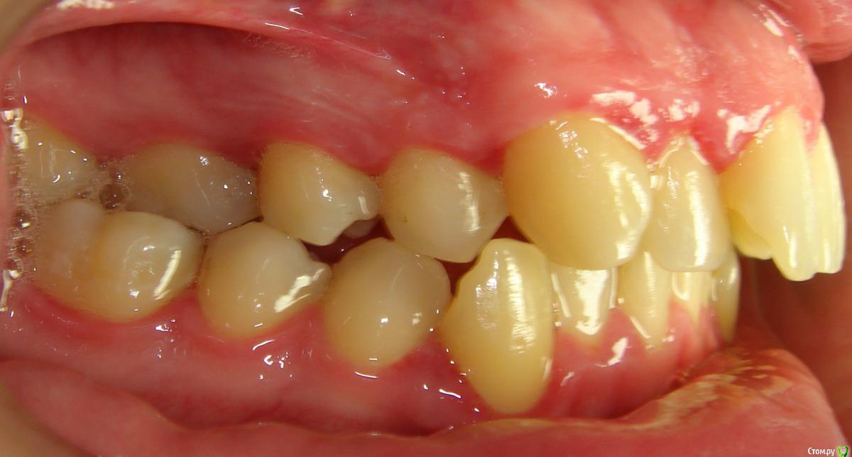
Здравствуйте, Коллеги. Вот такой вот случай, пациент 32 года. Изначально, хотел дистализировать в первом сегменте с целью апрайтинга 13 - 16, провести апрайтинг боковых зубов н/ч, затем САРПЕ и MEAW, понятно, что восьмерки долой еще до лечения. Но потом увидел форму корней 37, 47 (это не искажение, по КТ они и правда такие) и кисты прорезывания за ними. В связи с этим мне кажется, что апрайтинг снизу невозможен, так как эти верхушки никуда меня не пустят, разве что ввиду проблем с пародонтом семерки тоже уйдут. Вопрос: что делать??? Даже если отбросить мультилуп и готовить его на ортогнатию, то апрайт все-равно нужен, как поступить? Заранее спасибо!

 

P.S.: Забыл... сверху семерки такие же.

post-43383-0-61151000-1497128428_thumb.jpg

post-43383-0-42913800-1497128431_thumb.jpg

post-43383-0-53464400-1497128439_thumb.jpg

post-43383-0-20124000-1497128441_thumb.jpg

post-43383-0-89864800-1497128443_thumb.jpg

post-43383-0-60253100-1497128445_thumb.jpg

post-43383-0-67082800-1497128448_thumb.jpg

post-43383-0-91955700-1497128450_thumb.jpg

post-43383-0-98783600-1497128460_thumb.jpg

post-43383-0-58305800-1497128471_thumb.jpg

post-43383-0-22475000-1497128481_thumb.jpg

post-43383-0-21464500-1497128491_thumb.jpg

Изменено пользователем Opdihatop
Ссылка на комментарий

Для публикации сообщений создайте учётную запись или авторизуйтесь

Вы должны быть пользователем, чтобы оставить комментарий

Создать аккаунт

Зарегистрируйте новый аккаунт в нашем сообществе. Это очень просто!

Регистрация нового пользователя

Войти

Уже есть аккаунт? Войти в систему.

Войти
×
×
  • Создать...
Вверх