Елена 89 Опубликовано 8 июня, 2017 Поделиться Опубликовано 8 июня, 2017 Здравствуйте, Дорогие доктора! Помогите пожалуйста с диагнозом и лечением в следующей ситуации:Мне 27 лет, женщина.В детстве (пример лет в 12) у меня была травма переднего зуба, он начал качаться... мне его "гипсовали" не знаю как правильно называется. В общем он шатался, потом походила с "загипсованным" и он прирос. Но в следствии травмы, как мне уже сейчас сказали, корень не сформировался окончательно. Тогда меня это не беспокоило.Сейчас же я обратилась ко врачу со следующей картиной:У корня этого самого зуба на десне образовалась шишка (или прыщик) размером меньше 1 см, из которого иногда сочится гной. Он не болит, но иногда ощущаются пульсирующие неприятные ощущения, при надавливании чувствуется и сам зуб темнее соседних.Сначала мне поставили диагноз - киста, и предупредили, что надо добиться того, чтоб корень все же закрылся.Провели лечение:1) Почистили канал (зуб был мертвым)2) Положили лекарство (каласепт вроде) поставили временную пломбууже через пару дней прыщик (свищ) рассосался, зуб побелелЯ проходила так 2 недели3) Мне запломбировали этот канал Но уже через пару месяцев и прыщик вернулся и зуб снова потемнел и так мне делали 2 раза.Показывала этот же зуб другому врачу (при проф гигиене полости рта, тоже сказал киста)Предложил сделать операцию - разрезать десну и положить лекарство прямо туда (не через канал, а через десну). Или сделать резекцию корня.Мне показалось это хорошей идеей но я решила посоветоваться с первым врачем.Он же сказал, что у меня не киста, а разряжение костной ткани и это не очень лечится. Скажите пожалуйста что мне делать, зуб очень не хочется удалять (на снимке он передний запломбированный)Заранее Спасибо за помощь Ссылка на комментарий
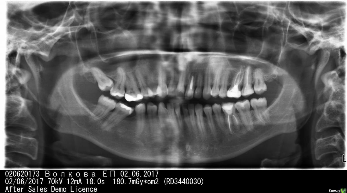
Елена 89 Опубликовано 8 июня, 2017 Автор Поделиться Опубликовано 8 июня, 2017 снимок Ссылка на комментарий
DmitrySH Опубликовано 8 июня, 2017 Поделиться Опубликовано 8 июня, 2017 Как давно проводилось лечение? Ссылка на комментарий
Елена 89 Опубликовано 13 июня, 2017 Автор Поделиться Опубликовано 13 июня, 2017 последнее лечение 7 месяцев назад, полтора года назад первое. Ссылка на комментарий
DmitrySH Опубликовано 13 июня, 2017 Поделиться Опубликовано 13 июня, 2017 Я бы порекомендовал обратиться к эндодонтисту работающему с микроскопом. Сделать ревизию канала, закрыть МТА и если уже не поможет, то еще хирургически почистить через десну. Делать хирургическое лечение без ревизии канала может быть нецелесообразно т.к. материал в канале вероятно инфицирован. Ссылка на комментарий
Елена 89 Опубликовано 15 июня, 2017 Автор Поделиться Опубликовано 15 июня, 2017 Спасибо большое. Попробую найти такого специалиста Ссылка на комментарий
Рекомендуемые сообщения
Для публикации сообщений создайте учётную запись или авторизуйтесь
Вы должны быть пользователем, чтобы оставить комментарий
Создать аккаунт
Зарегистрируйте новый аккаунт в нашем сообществе. Это очень просто!
Регистрация нового пользователяВойти
Уже есть аккаунт? Войти в систему.
Войти