арбузова Опубликовано 31 мая, 2017 Поделиться Опубликовано 31 мая, 2017 (изменено) Пришла к стоматологу с нижн восьмеркой реагирующей на хол-горячее, с такой же реакцией и от четверки в этом же ряду. Сказали, что это 8, ее недавно лечили от кариеса, проверять реакцию водой не стали, вскрыли, поставили девитализирующую пасту на 7 дней. Первый-второй день еще ничего было, на третий жевать не могу, субфебрилитет, так и должно быть? Спрашивала врача, точно лечить будем, восьмерка, дофига каналов, сказала, что да, на крайняк пойдем дедовским путем, все умертвим, чтоб ничего не болело, если какой канал не найдем. Боль - это результат вот этого умертвления? Или на восьмерках всегда так? Не помню, чтобы после наложения пасты и постановки времен пломбы так болело. Боль отдает в верхн челюсть, в нижнюю до четверки, чуть ли не в глаз иногда кажется. Что делать? Ну, кроме полоскания? Изменено 31 мая, 2017 пользователем арбузова Ссылка на комментарий
St. Опубликовано 1 июня, 2017 Поделиться Опубликовано 1 июня, 2017 Повышенная температура у взрослых обычно не связана с воспалением нерва в зубах.Каналы в зубах мудрости обычно очень сложные, да и сами зубы у большинства людей не функциониональны ( т.е. они есть, но расположены так что не жуют). Поэтому лечат их крайне редко, каналы в них лечат ещё реже.Чтобы сказать насколько это оправдано в вашей ситуации нужно видеть ваши снимки ( прицельный, панорамный). Если что-то беспокоит или есть какие-то непонятные вопросы по лечению обязательно обратитесь к своему врачу Ссылка на комментарий
арбузова Опубликовано 1 июня, 2017 Автор Поделиться Опубликовано 1 июня, 2017 Ага, завтра уже иду, надо было, наверное, раньше, как боль началась, чего терпела спрашивается? Чего-то думала, что на восьмерке так и должно быть, а, возможно, просто пасты положили больше, чтобы все убить. Врач решил спасать, у меня 6 тут же нет, и все зубы рядом мертвые до четверки. Ссылка на комментарий
арбузова Опубликовано 2 июня, 2017 Автор Поделиться Опубликовано 2 июня, 2017 (изменено) В общем, наверное, много пасты, врач сказала, что нерв сам отвалился, чуток поработала в в каналах и запломбировала, говорит, зуб простой оказался, всего два канала. Зуб болит, чуть меньше, отдает в четверку, в шею тоже. Положили стомафил. Муниципальная поликлиника. Что в каналах боюсь предположить, снимок не делали ни до, ни после. Это я решила компенсировать затраченные на него средства, уплаченные этому же врачу за лечение этого зуба 2 месяца назад по поводу кариеса - черного пятна в пломбе, которое наблюдалось еще 2 года назад, но нелеченного по причине "не цепляния" пятна. Во рту вкус лекарства, не проходит спустя 4 часа после установки. Это из-за материала пломбы? Изменено 2 июня, 2017 пользователем арбузова Ссылка на комментарий
red_butler Опубликовано 2 июня, 2017 Поделиться Опубликовано 2 июня, 2017 http://forum.stom.ru/topic/20613-sovety-patcientam-obiazatelno-k-prochteniiu/ снимок не делали ни до, ни после. сделайте Ссылка на комментарий
арбузова Опубликовано 2 июня, 2017 Автор Поделиться Опубликовано 2 июня, 2017 У меня тут был снимок четырехгодичной давности с этой восьмеркой вот http://forum.stom.ru/topic/17715-vopros-pro-devitaliziruiuschuiu-pastu/?hl=%D0%B4%D0%B5%D0%B2%D0%B8%D1%82%D0%B0%D0%BB%D0%B8%D0%B7%D0%B8%D1%80%D1%83%D1%8E%D1%89%D0%B0%D1%8F&do=findComment&comment=272630Может, правда, 2 канала. Шестерку, что на этом снимке, я удалила, врач, ее вынимающий, сказал нормальная была шестерка, что болело тогда так и не выяснили, потому как после удалегия 6 болеть все продолжило в той же мере и закономерности. Ссылка на комментарий
red_butler Опубликовано 2 июня, 2017 Поделиться Опубликовано 2 июня, 2017 сделайте актуальный снимок Ссылка на комментарий
арбузова Опубликовано 7 июня, 2017 Автор Поделиться Опубликовано 7 июня, 2017 (изменено) Вот зуб) Изменено 7 июня, 2017 пользователем арбузова Ссылка на комментарий
red_butler Опубликовано 8 июня, 2017 Поделиться Опубликовано 8 июня, 2017 Вот зуб)Я бы этот зуб удалил Ссылка на комментарий
арбузова Опубликовано 8 июня, 2017 Автор Поделиться Опубликовано 8 июня, 2017 Я бы этот зуб удалил почему? Ссылка на комментарий
red_butler Опубликовано 9 июня, 2017 Поделиться Опубликовано 9 июня, 2017 почему?требуется повторное лечение корневых каналов с последующим протезированием Ссылка на комментарий
арбузова Опубликовано 9 июня, 2017 Автор Поделиться Опубликовано 9 июня, 2017 Так плохо полечили? При увеличении, вроде, в каналах какое-то наполнение видно. Ссылка на комментарий
арбузова Опубликовано 4 июля, 2017 Автор Поделиться Опубликовано 4 июля, 2017 Не подскажете, я так и не поняла, что у меня с зубом? Каналы не все запломбировали? Киста? Или чего ещё? Ссылка на комментарий
Zlata-doctor Опубликовано 5 июля, 2017 Поделиться Опубликовано 5 июля, 2017 вот что вас побуждает так лечиться? Дешевизна? Сколько вам лет? Я не понимаю.Ну есть уже интернет, куча ресурсов, где подробно уже обьясняется что и как должно быть сделано!!! Кладете мышьяки, потом "пульпируете" да удаляете, потом удивляетесь и бежите на форум. Ведь сами пишите, что снимка не делали ни до, ни после-значит, знаете, что он должен быть. Неужели сложно организовать себе нормальное качественное лечение? Вернее, неужели ваше здоровье так мало значит для вас? Не говорите про деньги, просто посчитайте, во сколько вам может обойтись восстановление функции жевания теперь. 1 Ссылка на комментарий
арбузова Опубликовано 5 июля, 2017 Автор Поделиться Опубликовано 5 июля, 2017 (изменено) Я сейчас без работы, соответственно, иду в муниципальную поликлинику, лечу зуб за 1500 от кариеса, потом оказывается, что это пульпит. Лечу там же его, т.к. мне сказали, что перелечивание бесплатно. Про снимки спрашиваю у лечащего врача, мне говорят, что не нужно, меня это удивляет, но я не умею спорить со знающим, имеющим высшую категорию, лечащим больше 10 лет зубы, человеком. В чем проблема? Вы думаете, что придя в первую попавшуюся клинику можно получить не такое же, только в 3 раза дороже? Если мне и тут ничего не могут сказать что у меня с зубом, что говорить о разговоре вживую? Мне здесь уже третий стоматолог ничего внятно сказать не может. Изменено 5 июля, 2017 пользователем арбузова Ссылка на комментарий
St. Опубликовано 6 июля, 2017 Поделиться Опубликовано 6 июля, 2017 Не подскажете, я так и не поняла, что у меня с зубом? Каналы не все запломбировали? Киста? Или чего ещё? За пределами корня зуба воспаление( то что вы назвали "киста"), потому что каналы заполнены материалом не очень плотно и "продезинфицированы" недостаточно. Все дело усложняется тем что зуб находится далеко, да и впринципе 8 зубы чаще всего имеют сложное строение каналов и в условиях муниципальной поликлиники адекватно их полечить мягко говоря непросто. Поэтому если оставить как есть , то в любой момент как только иммунитет ослабнет зуб разболится, еще и щека припухнуть может. Поэтому Я бы этот зуб удалил А перелечивать как положено это сложно, дорого и долго. И в случае 8 зубов чаще всего не имеет смысла из рациональных соображений. 2 Ссылка на комментарий
арбузова Опубликовано 6 июля, 2017 Автор Поделиться Опубликовано 6 июля, 2017 За пределами корня зуба воспаление( то что вы назвали "киста"), потому что каналы заполнены материалом не очень плотно и "продезинфицированы" недостаточно. Все дело усложняется тем что зуб находится далеко, да и впринципе 8 зубы чаще всего имеют сложное строение каналов и в условиях муниципальной поликлиники адекватно их полечить мягко говоря непросто. Поэтому если оставить как есть , то в любой момент как только иммунитет ослабнет зуб разболится, еще и щека припухнуть может. ПоэтомуА перелечивать как положено это сложно, дорого и долго. И в случае 8 зубов чаще всего не имеет смысла из рациональных соображений.Спасибо, у меня еще вопрос, у меня вот здесь http://forum.stom.ru/topic/17715-vopros-pro-devitaliziruiuschuiu-pastu/?hl=%D0%B4%D0%B5%D0%B2%D0%B8%D1%82%D0%B0%D0%BB%D0%B8%D0%B7%D0%B8%D1%80%D1%83%D1%8E%D1%89%D0%B0%D1%8F&do=findComment&comment=272630 есть снимок с этой восьмеркой 4 летней давности, если присмотреться, это потемнение есть и там, то есть эта киста была и 4 года назад? Или мне это только кажется? Я там интересовалась болью в окрестностях шестерки, мне сказали проще удалить, 6 удалила, боль осталась, может, это была восьмерка? Я на этой строне спать уже 2 месяца не могу. Ссылка на комментарий
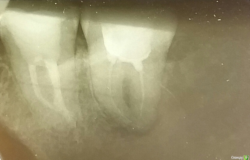
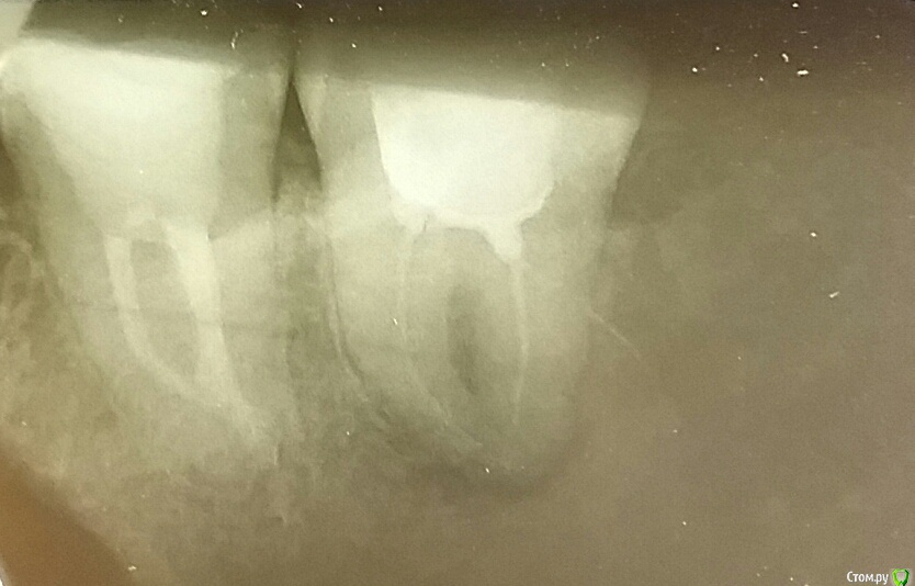
арбузова Опубликовано 9 июля, 2017 Автор Поделиться Опубликовано 9 июля, 2017 (изменено) Вот снимок 4 года назад, была ли тут киста? Тогда мне казалось, что болит 6.для сравнения повесила рядом и снимок сделанный сразу после лечения восьмерки. Изменено 9 июля, 2017 пользователем арбузова Ссылка на комментарий
арбузова Опубликовано 10 июля, 2017 Автор Поделиться Опубликовано 10 июля, 2017 Ну вот, а я уже понадеялась, что нашла причину этой четырехлетней боли. Что же тут могло болеть у меня?, болело на холода - когда не укутаю подбородок теплым в +5 и ниже, когда устану, болело, когда пульпит в 8 зубе пришел, боль усилилась так, что спать не могла на этой стороне, сейчас, если сплю на этой стороне больше болит, чем, когда на другой стороне, но теперь ноющмая боль постоянна. Есть предположения что это может быть? Или что нужно сделать, чтобы понять что болит? Ссылка на комментарий
арбузова Опубликовано 11 октября, 2017 Автор Поделиться Опубликовано 11 октября, 2017 (изменено) Перелечила, все равно пока болит, не пойму как теперь состояние по снимкам, лучше? Не подскажете что делать? Подождать, может, перестанет или таки удалять? И как-то не нравятся с правой стороны от восьмерки разводы у зуба темные, что это дефект снимка? Изменено 11 октября, 2017 пользователем арбузова Ссылка на комментарий
Рекомендуемые сообщения
Для публикации сообщений создайте учётную запись или авторизуйтесь
Вы должны быть пользователем, чтобы оставить комментарий
Создать аккаунт
Зарегистрируйте новый аккаунт в нашем сообществе. Это очень просто!
Регистрация нового пользователяВойти
Уже есть аккаунт? Войти в систему.
Войти