DmitrySH Опубликовано 17 июня, 2017 Поделиться Опубликовано 17 июня, 2017 Вам уже ответили, удалять эти зубы. Зуб мудрости нельзя использовать. Следующий вопрос? Ссылка на комментарий
stomt Опубликовано 1 июля, 2017 Автор Поделиться Опубликовано 1 июля, 2017 "Шестой и седьмой зубы нужно удалять, причина степень их разрушения."-- на шестом зубе пока что пломба стоит, или точнее она "залита", еще сильнее чем на седьмом, на котором еще донедавна была стенка.Где на шестом сильное разрушение -- в корне, в коронке? Ибо действительно если пломба сойдет с шестого -- то трудно представить как там ее снова поставить."Зуб мудрости нельзя использовать" -- даже теоретически и на некоторое время. Вот в этой стороне зуб мудрости наверно еще прорезается,и какая то мелко-пекущая и ноющая боль от зуба мудрости и десны над ним, от этого разрушеного до корня, или шестого что еще с пломбой. Ссылка на комментарий
red_butler Опубликовано 1 июля, 2017 Поделиться Опубликовано 1 июля, 2017 "Шестой и седьмой зубы нужно удалять, причина степень их разрушения."-- на шестом зубе пока что пломба стоит, или точнее она "залита", еще сильнее чем на седьмом, на котором еще донедавна была стенка.Где на шестом сильное разрушение -- в корне, в коронке? Ибо действительно если пломба сойдет с шестого -- то трудно представить как там ее снова поставить."Зуб мудрости нельзя использовать" -- даже теоретически и на некоторое время. Вот в этой стороне зуб мудрости наверно еще прорезается,и какая то мелко-пекущая и ноющая боль от зуба мудрости и десны над ним, от этого разрушеного до корня, или шестого что еще с пломбой.Да Вы и без нас прекрасно обходитесь... 1 Ссылка на комментарий
anvladd Опубликовано 1 июля, 2017 Поделиться Опубликовано 1 июля, 2017 (изменено) Легко сказать. Удаляйте. То есть мне теперь надо жалеть и жалеть почему я не удалил стенку этого уже спиляного зуба. Что теперь доудалить стенку не получится?А шестой -- почему уж такой кандидат на удаление?"Шестой и седьмой зубы нужно удалять, причина степень их разрушения."-- на шестом зубе пока что пломба стоит, или точнее она "залита", еще сильнее чем на седьмом, на котором еще донедавна была стенка.Где на шестом сильное разрушение -- в корне, в коронке? Ибо действительно если пломба сойдет с шестого -- то трудно представить как там ее снова поставить."Зуб мудрости нельзя использовать" -- даже теоретически и на некоторое время. Вот в этой стороне зуб мудрости наверно еще прорезается,и какая то мелко-пекущая и ноющая боль от зуба мудрости и десны над ним, от этого разрушеного до корня, или шестого что еще с пломбой.вы ж вроде взрослый человек,что вам ещё не понятно,все же вроде объяснили уже. Зуб сгнил-смиритесь Изменено 1 июля, 2017 пользователем anvladd Ссылка на комментарий
stomt Опубликовано 3 июля, 2017 Автор Поделиться Опубликовано 3 июля, 2017 Да я не маленький ребенок -- но зубы рвать я не спешусь.Моя врачиха посмотрела на вывешенную пленку здесь -- и сказала, что мол корни есть, значит сперва их надо лечить.Потому интересно узнать -- что значит "зуб сгнил". Корни сгнили, разрушенны и ничему не годятся, или вы имеете ввиду что коронковой части нету? Потом -- ну читал, что зубы мудрости возможно использовать для поддержки протезирования -- почему здесь пишут категорически, что невозможно использовать? Вот пару месяцев назад -- у меня начал портися правый верхний зуб мудрости. Врач начала его пилит, намекая, что так много не спиляет -- а потом когда уже поставила пломбу -- говорит: что сперва казалось, что немного, а пришлось ей где-то 3/4 спилить, но поставить пломбу.То есть и ставят пломбу -- почему не использовать под коронку или мост?Здесь вопрос в догонку -- я и вы понимаете, что зубы разрушены очень сильно.Но может и даже в этой ситуации можно как то остановить разрушение зубов, точнее зубной "ткани", которая у меня очень слабая. Вот даже зуб мудрости, и то разрушился большими темпами.Какие микроэлементы, или средства можно принимать, хоть поздно, а может как-то пригодится? Врач давно говорила, что у меня вымивается кальций -- но это следствие. А какие причины? Даже если поставить коронку -- она ведь тоже будет разрушатся и в этой сиуации, это вообще малоперспективно. Как зубы даже поздно укрепить? Ссылка на комментарий
stomt Опубликовано 3 июля, 2017 Автор Поделиться Опубликовано 3 июля, 2017 Ну касательно этого гнилого зуба -- разве мой врач может что-то сказать.Но не работает она -- нету на чем. Может такое быть, чтобы не последний врач стоматолог имел такие длительные проблемы с оборудованием?Потому я сходил в другое отделение -- там к зубам такие категорические как и вы здесь на форуме, ибо они дают гарантию, и должны соблюдать "протокол(ы)".И вот касательно одного нижнего зуба, который весь полый, лиш внешняя стенка и часть внутренней стенки (недавно остатки пломбы "отошли")-- врач взял "эту пружину" (которой мне мой врач выдергивала нервы или пломбировала каналы) и ковырялся в каналах. Но ничего больше не делал. Думаю он професионал -- но не открыл ли он таким образом канал, и даже минимально его не закрыл? Такая беспечность могла быть обусловлена тем что лечится у него вряд ли буду. Ссылка на комментарий
anvladd Опубликовано 3 июля, 2017 Поделиться Опубликовано 3 июля, 2017 (изменено) имел такие длительные проблемы с оборудованием? может задуматься пора......... Изменено 3 июля, 2017 пользователем anvladd Ссылка на комментарий
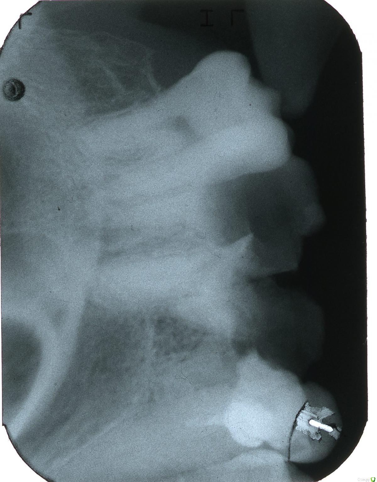
stomt Опубликовано 3 июля, 2017 Автор Поделиться Опубликовано 3 июля, 2017 Может быть...Вот я прикреплю здесь скан пленки правых верхних зубов.Зуб мудрости (8-ой) пока что цел.А вот следующий за ним (7-ой) как раз в последний месяц разрушился (фактически все кроме задней стенки, и то она чересчур тонкая).Что там с корнями -- можно ли их как-то использовать под культю или штифт?А то -- все время тянул с непломбировочным подходом к лечению зубов.Этот зуб еще прошлым летом гноился всередине, и то вот сейчас припоминаю очень глубоко -- что аж на небо выходил гной или припухлость.В то же время - следующий зуб (6-ой) уже больше 15 лет испилян (раньше и то очень давно врач ортопед говорила, что возможно культю туда вставить).С ним какая ситуация по снимке? Ссылка на комментарий
dok1 Опубликовано 4 июля, 2017 Поделиться Опубликовано 4 июля, 2017 Весна.... затянулась. К чему бы? Ссылка на комментарий
stomt Опубликовано 4 июля, 2017 Автор Поделиться Опубликовано 4 июля, 2017 Нет, здесь серьезный вопрос. Хотелось бы услышать мнение дантистов-професионалов. Как и что лечить, хотя и мне очевидно, что снимок накладывается, или он просто несколько размытый. Ссылка на комментарий
dok1 Опубликовано 4 июля, 2017 Поделиться Опубликовано 4 июля, 2017 А вы с кем всё это время общались? Вам же сказали - удалять. Лечить нечего. Или вы только свои посты видите? 1 Ссылка на комментарий
stomt Опубликовано 4 июля, 2017 Автор Поделиться Опубликовано 4 июля, 2017 Так только выставил новый снимок - "удаляйте". Вчера, позавчера обсуждался другой - левый нижний - теперь выставил снимок правого верхнего (чтобы новую тему не создавать ) - и снова удаляйте. Где где, но здесь удалять мне никак не подходит. Ну разве использовать еще жывой зуб мудрости в качестве опоры потом. Ссылка на комментарий
Паращук Роман Опубликовано 4 июля, 2017 Поделиться Опубликовано 4 июля, 2017 Земляк,не мучай коллег,приходи я тебя бесплатно осмотрю и дам консультацию,только не испытывай терпения камрадов.ПиСи: Компрессор работает. 3 Ссылка на комментарий
stomt Опубликовано 4 июля, 2017 Автор Поделиться Опубликовано 4 июля, 2017 Компресор здесь не при чем. Разве неработающая установка. И даже так - в отпрыска стоматолога который делит и кресло, и кабинет постоянно кто то есть!!?? И касательно консультации - в конце прошлой недели я уже был вынужден идти к стороннему специалисту. Он конечно не обрадовал касательно зубов сегодняшнего снимка. Сказал - что может кто то и возьмется. А вот касательно нижнего зуба был более благослонен - но порылся пружыной в каналах так 2-3 минуты - и сегодня меня особенно зуб беспокоит. Вообще температура смотря на специфическую головную боль (или чуство давление) есть очевидно в последние 2-3 дня. Надо же - занес инфекцию. Может думал что я продолжу "лечение". Вот сегодня чуствую - глубоко в корнях, внизу от десны - нарыв. Ссылка на комментарий
red_butler Опубликовано 4 июля, 2017 Поделиться Опубликовано 4 июля, 2017 Земляк,не мучай коллег,приходи я тебя бесплатно осмотрю и дам консультацию,только не испытывай терпения камрадов.ПиСи: Компрессор работает.Я бы 100 раз подумал... 3 Ссылка на комментарий
Паращук Роман Опубликовано 4 июля, 2017 Поделиться Опубликовано 4 июля, 2017 Я бы 100 раз подумал... таки да... Ссылка на комментарий
stomt Опубликовано 5 июля, 2017 Автор Поделиться Опубликовано 5 июля, 2017 Зря, вы иронизируете. Хотя стоматология это ваше хлебное дело. Не мое то точно. Может на оперативном вопросе остановимся. Вот жуткая боль после "прощупывание" каналов - очевидно вчера началось развитие инфекции. Надо обязательно уже сегодня идти врачу: или можно хотя бы подождать до завтра? Сегодня мне не очень желательно, но развитие инфекции мне на ровном месте ни к чему - и если "пройтись" по десне то очевидно что нарыв очень глубоко/низко - где то возле самой кости. Какое вариант лечение мне могут предложить, можете подсказать: не то что удалять, если уже другой специалист сказал что этот нижний зуб можно еще использовать, после диагностики каналов -- которая вот привела к таким последствиям. Ссылка на комментарий
stomt Опубликовано 5 июля, 2017 Автор Поделиться Опубликовано 5 июля, 2017 Так что можно принимать - полоскать хотя бы. Чтобы протянуть до завтра. А то боль поутихла, но какая то твердость в корнях и боль при нажатие что я даже не пытаюсь делать - очевидна. А завтра придется идти к новому врачу, пусть что то делает, если не пошел в отпуск. Я к и нему не собирался обращатся - но еще при приеме было очевидно, что в каналах поковырялся - а не закрыл. Ссылка на комментарий
stomt Опубликовано 5 июля, 2017 Автор Поделиться Опубликовано 5 июля, 2017 Странно не услышать ответа на такой довольно простой вопрос: ну попала инфекция глубоко - полоскамием ведь не обойдется, или такими антибиотиками как нимецил тоже? Вот я завтра прийду назад к этому врачу - и он не схочет с этим разбиратся - что мне тогда прийдется делать? Да и если возьмется - зуб болит, теперь если притрагиватся - как стоматолог может уничтожить это нагноение? Не пружиной же для проделки каналов, и так больно - а сейчас особенно. Ссылка на комментарий
DmitrySH Опубликовано 5 июля, 2017 Поделиться Опубликовано 5 июля, 2017 Странно не услышать ответа на такой довольно простой вопрос Ответы уже были раньше, но Вы их не услышали 2 Ссылка на комментарий
stomt Опубликовано 6 июля, 2017 Автор Поделиться Опубликовано 6 июля, 2017 Я вот сейчас спрашиваю о боле в зубе. Вот снова вечером ужасно начал болеть - и лиш теперь это чуствуется несколько меньше. Вот вы предлагали новых врачей. Я сегодня обратился к тому который, как мне сказали, зондировал каналы. Его не будет до понедельника - но как сказала его колега - если есть нарыв? (боль то точно есть очень сильная) никто и так не будет его лечить. А что делать, чего и сколько ждать? И вчера -сегодня до вечера думал что боль прошла - нет. И его колега сказала что врач ничего не сделал чтобы вот развивалось воспаление. Но мне даже из головы вылетело - что после его зондирования - я два-три дня не притрагивался к этому зубу - сразу было чуство открытого/проковеряного зуба. И вот когда я начал этим зубом несколько жевать - началась боль во вторник. То ж очевидная зависимость. Хотя он и сказал что на корнях есть изменение, и может на первый взгляд "легкое" зондирование привело к воспалению. Ссылка на комментарий
stomt Опубликовано 6 июля, 2017 Автор Поделиться Опубликовано 6 июля, 2017 Можно было так много не писать. Лекарство ж должны поставить. И я так понимаю - если ничего не даст - на свалку. Но что за врач что вот таким зондированием приводит к необходимости лечения. Или это не врач плохой, а зуб не прошел небольшого стрес-теста? Только я не понимаю - если есть боль там что еще есть нервные окончание - предпологал другое? Какой то превдо-нарыв то точно есть низко в корнях как я писал. И вот сейчас кроме ноющей боли - несколько раз проскакивали такие ломящее/трескающее болевые ощущение - это дается взнаки живой нерв? Ссылка на комментарий
stomt Опубликовано 7 июля, 2017 Автор Поделиться Опубликовано 7 июля, 2017 Хоть бы сказали -- надо ли ехать уже сегодня к стоматологу, чтобы ставили лекарство, чтобы воспаление и нагноение не развивалось аж до понедельника?? Ссылка на комментарий
stomt Опубликовано 15 июля, 2017 Автор Поделиться Опубликовано 15 июля, 2017 Вот в подтверждение того, что многим специалистам - лиш бы поубавится проблемого зуба. Попал на прием не в понедельник - а в конце недели. Но вывод, очевидно самом по себе неуверенного стоматолога - удалять. Хотя неделю назад - другой специалист сказал что можно хоть коронку поставить - после чего и начались боли и небольшой нарыв как следствие краткомимутного зондирования. Все таки убедил чтобы постаралась подлечить зуб. Раздолбать запломбированые каналы ей не удавалось, сама про себя сказала что гной вряд ли будет выходить. И вот так оставила открытый зуб на неопределенное время. Но для чего? Нарыв начался после 3минутного зондирования - и как он будет выходит если на новом приеме каналы пыталась раскрыть около получаса? Мне кажется - гной мог только накапливатся ибо никакого лекарства никто не собирался ставить. И на протяжение нескольких часов нарыв начал увеличиватся началось подергивание. Пришлось идти к другому врачу - он сразу сказал что попытается спасти зуб. Прочистил быстро каналы - уколом поставил лекарство в каналы - а потом какие-то нити в каналы. Боль вот к позднему вечеру утихла, сегодня и нарыва не видно и не чествуется. Ссылка на комментарий
stomt Опубликовано 16 июля, 2017 Автор Поделиться Опубликовано 16 июля, 2017 (изменено) Вот часть снимка (поцарапаного однако), где нижний правый зуб (6-ой), на котором был нарыв, и на даное время поставлены лекарства и временная пломба. Изменено 16 июля, 2017 пользователем stomt Ссылка на комментарий
Рекомендуемые сообщения
Для публикации сообщений создайте учётную запись или авторизуйтесь
Вы должны быть пользователем, чтобы оставить комментарий
Создать аккаунт
Зарегистрируйте новый аккаунт в нашем сообществе. Это очень просто!
Регистрация нового пользователяВойти
Уже есть аккаунт? Войти в систему.
Войти