stomt Опубликовано 28 мая, 2017 Поделиться Опубликовано 28 мая, 2017 В крайнем левом нижнем зубе есть лиш внутренняя стенка (уже так год-полтора минимум) С внешней стороны где на бывшем зубе полость, прорезалась долька зуба мудрости за ним). Месяц назад она частично отламалась в районе десен, возле следующего зуба (на рисунке зашриховано). Этот осколок впялся в десна, или еда в тот момент, остро заболело, и я уже не могу пользоватся при жевание этой стороной. Потому мне интересно можно ли эту стенку в этом районе осторожно спилять сверху, а на остальную полость поставить пломбу, которая уже как год-два назад быстро оторвалась через отсутвие нормального сцепление. Или если острая боль в районе десен это не поможет.Тоже надо заметить что эта стенка после этого уже более менее качается.Однако на прошлой недели, мой врач после беглого осмотра, отправила к хирургу (он уже взялся укол готовить), но я пока-что отказалсяУдалить эту стенку -- но не корень. Есть ли это единственно возможный вариант?Можно ли его все- таки подпилять -- к нулевому уровню (если б не этот обломок дальше б его пользовался). У моего врача гос. клиники пока-что не работает компресор (она хотябы так говорит) -- значит ли это что все-таки она выбрала хирургический вариант, ибо не готова установка? Ссылка на комментарий
DmitrySH Опубликовано 28 мая, 2017 Поделиться Опубликовано 28 мая, 2017 29 марта сего года Вы уже спрашивали почти тоже самое. Объективные данные так и не хотите предоставить. Ссылка на комментарий
red_butler Опубликовано 29 мая, 2017 Поделиться Опубликовано 29 мая, 2017 Без снимков и эту тему закрою Ссылка на комментарий
stomt Опубликовано 29 мая, 2017 Автор Поделиться Опубликовано 29 мая, 2017 (изменено) Ну я ведь обьяснил же, с рисунком (внизу видоизменненый вариант).Я же себе не могу выписать направление на рентген, если дантистка говорит -надо удалять стенку. Потому и спрашиваю -- это она не хочет себе голову морочить, или это единственный вариант в этой ситуации.Если не можете понять -- можете предположить -- есть у вас лиш одна стенка зуба --она отламывается до десен (до корней) на половину (или 1/4 к 3/4) -- надо ли удалять хирургически оставшуюся часть? Тем более здесь отламался кусок так на 5-10 %, хотя ситуация усугубляется тем, что осколок "разширяется" к деснам.И касательно удаление стенки зуба -- не нашел такого в интеренете случая.Чесно говоря, зуб был залит прежде пломбой как бетоном (корней там 5 раз вырывали, и боль была очень сильная), но не не сцепилась, и фактически "отлеилась" под давлением еды. Если удалить там эту стенку -- то потом уже никакая пломба не сможет держатся. И что это значит "удалить стенку" -- стенку с корнем под ней? или хирург ее отламает?И ситуация действительно критическая. Установка не работает. Когда меня направили к хирургу на прошлой недели -- верхний зуб справа в тот же день начал фактически разваливается (вчера начал пить очень горячий чай -- подумал это наверное плохо влияет на зубы -- и действительно в зубе на протяжение часа отламалась темная часть стенки уже этого верхнего зуба ). Вот так несколько недель подождал с предыдущим случаем, потом "кризис с оборудованием" в стоматолога -- и вот уже другие проблемы. Изменено 29 мая, 2017 пользователем stomt Ссылка на комментарий
dok1 Опубликовано 29 мая, 2017 Поделиться Опубликовано 29 мая, 2017 Мы не ставим диагноз по произведениям Пикассо. Снимок вам сделают без направления в госполиклинике. Ссылка на комментарий
red_butler Опубликовано 29 мая, 2017 Поделиться Опубликовано 29 мая, 2017 Снимок вам сделают без направления в госполиклинике.автор на это не пойдет.Такой снимок денег стоит... Ссылка на комментарий
red_butler Опубликовано 29 мая, 2017 Поделиться Опубликовано 29 мая, 2017 У моего врача гос. клиники пока-что не работает компресор (она хотябы так говорит) надо будет взять на вооружение Ссылка на комментарий
stomt Опубликовано 29 мая, 2017 Автор Поделиться Опубликовано 29 мая, 2017 Вы не понимаете цель моих вопросов. Я вас спрашиваю, чтобы быть в курсе что мой врач может сделать. Ну не работает у нее установка -- и она к хирургу.Хотя она и так очень зубы бережет, хотя теперь там пломба на пломбе.Потому так бережет -- что я спросил -- чтобы дороже пломбу ставила -- она ответила, что там пломба в 2 разы дороже ничего не изменит (зубы от более дешевой как-бы не портятся!).Если я для вас буду делать рентген, вы уж мне их лечить не будете.Вопрос же простой -- надо ли обязательно рвать стенку? Или можно подпилятькак на рисунке? Если уж прибегать к хирургу -- он будет рвать эту пломбу, отламывать? Ссылка на комментарий
red_butler Опубликовано 29 мая, 2017 Поделиться Опубликовано 29 мая, 2017 Если я для вас буду делать рентген, вы уж мне их лечить не будете. +100500 не будем лечить Ссылка на комментарий
shishok Опубликовано 29 мая, 2017 Поделиться Опубликовано 29 мая, 2017 Если оставшаяся стенка подвижна(качается),то ее нужно удалять.Но с большой долей вероятности она сломана ниже уровня десны(раз она не выпала сама).Тогда и оставшуюся часть зуба(корни) тоже придется удалять. 2 Ссылка на комментарий
stomt Опубликовано 29 мая, 2017 Автор Поделиться Опубликовано 29 мая, 2017 Что настолько так серьезно. Что надо весь зуб удалять? У меня много зубов на пределе, но только один сам рассыпался -- потому как-то не хотелось бы к хирургу идти. То что он ворушится врач очевидно незаметила при беглом минутном осмотре.Когда стенка сломалась -- "я жевал" -- сразу почуствовал боль -- как-бы в десну/корень что-то впялось. Отламанный кусок остался с едой -- чесно говоря найти его, несмотря на попытки, неудалось, чтобы самому знать какой осколок отламался.Спилять никак не получится? Ссылка на комментарий
dok1 Опубликовано 29 мая, 2017 Поделиться Опубликовано 29 мая, 2017 Ну спилять можно. Кто запрещает... от нас-то что нужно? Зайдите в любой кабинет и попросите. Ссылка на комментарий
stomt Опубликовано 30 мая, 2017 Автор Поделиться Опубликовано 30 мая, 2017 Ну я понимаю, что дантисты могут спилять с легкостью (новость на днях была еще та). Я спрашиваю, насколько предпочтительно это делать в этом случае.Почему мой врач сразу "потянулась" к хирургу? Значит ли то что если отломок идет к уровню десен, то корень задет, и будет болевой дискомфорт в случае если только спилять? Ссылка на комментарий
red_butler Опубликовано 31 мая, 2017 Поделиться Опубликовано 31 мая, 2017 Если оставшаяся стенка подвижна(качается),то ее нужно удалять.Но с большой долей вероятности она сломана ниже уровня десны(раз она не выпала сама).Тогда и оставшуюся часть зуба(корни) тоже придется удалять.+1 Ссылка на комментарий
red_butler Опубликовано 31 мая, 2017 Поделиться Опубликовано 31 мая, 2017 нет снимков нет, нет темы... Ссылка на комментарий
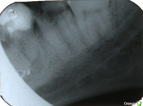
stomt Опубликовано 14 июня, 2017 Автор Поделиться Опубликовано 14 июня, 2017 (изменено) Вот запоздалый снимок ибо когда я его сделал -- то вечером (скоро неделя будет) эта стенка хруснула, со стороны надлома очевидно, то есть соседнего более переднего зуба который зацементированый пломбой. Это сталось потому что боль уже ушла и помалу пытался есть этим осколком зуба. Не знаю на чем теперь стенка держится, но движется очень вольготно -- надо очевидно новый снимок делать.Но вы хоть подскажите -- возможно ли было спилять стенку перед этим до основание, и возможно ли это сделать теперь, ибо я не знаю за что она там держится -- за 10-20% линии соприкосновение, или за десну?Во внешнюю сторону стенка так на 20-30 градусов легко отклоняется -- во внутреннюю сторону -- НЕТ -- упирается. И держится со стороны разве зуба р мудрости который хорошо виден на снимке -- но на поверхности только один внешний зубец имеет выход.Очевидно что прежде вариант хирурга был проще -- надо и теперь стенку хирургически удалять -- или можно как-то вручную? Изменено 14 июня, 2017 пользователем stomt Ссылка на комментарий
DmitrySH Опубликовано 14 июня, 2017 Поделиться Опубликовано 14 июня, 2017 (изменено) Удаляйте + шестой тоже кандидат на удаление Изменено 14 июня, 2017 пользователем DmitrySH 1 Ссылка на комментарий
stomt Опубликовано 14 июня, 2017 Автор Поделиться Опубликовано 14 июня, 2017 Легко сказать. Удаляйте. То есть мне теперь надо жалеть и жалеть почему я не удалил стенку этого уже спиляного зуба. Что теперь доудалить стенку не получится?А шестой -- почему уж такой кандидат на удаление? Ссылка на комментарий
stomt Опубликовано 14 июня, 2017 Автор Поделиться Опубликовано 14 июня, 2017 И что этот зуб с откалывающейся стенкой не можно под коронку использовать? Ссылка на комментарий
red_butler Опубликовано 15 июня, 2017 Поделиться Опубликовано 15 июня, 2017 Шестой и седьмой зубы нужно удалять, причина степень их разрушения. Ссылка на комментарий
DmitrySH Опубликовано 15 июня, 2017 Поделиться Опубликовано 15 июня, 2017 Легко сказать. Удаляйте. То есть мне теперь надо жалеть и жалеть почему я не удалил стенку этого уже спиляного зуба. Что теперь доудалить стенку не получится?А шестой -- почему уж такой кандидат на удаление? Вы тут на форуме давно, но каждый раз снимки приходится выпытывать как у партизана на допросе. Давно бы уже выложили панорамный снимок и мы бы подсказали план действий. А теперь легко сказать про удаление, ибо с таким разрушением нет альтернативы. Ссылка на комментарий
dok1 Опубликовано 15 июня, 2017 Поделиться Опубликовано 15 июня, 2017 Прислушайтесь к совету. Общий снимок даст глобальную картину. Только обретёте. Ссылка на комментарий
stomt Опубликовано 17 июня, 2017 Автор Поделиться Опубликовано 17 июня, 2017 (изменено) Я эти все вопросы задаю касательно вопроса пломбирования. Если делать панораму -- так уже к другому доктору надо обращатся, и там уже уж точно просто не обойдется. Здесь врач по максимуму пытается беречь зубы -- врач все таки не последний, хотя возрастной профильный контингент у нее другой.В этом случае -- врач просто одним движением руки сломал эту колебающуюся стенку -- и не надо было к хирургу обращатся. Сперва было чуство что со стенкой выдернула и половину корня -- но нет -- ровно по уровню уже достаточно испиляного пару лет назад корня (так на 2-3 мм. ниже уровня десны). Говорит что корни целые -- потому надо сперва их лечит. Судя по фото пленки зуба -- что можно сделать, если учесть что есть соседней зуб мудрости -- или его в принципе не используют? (и на верх вылезла лиш его первая половина).Хотя не понимаю как могут быть проблемы с какими то установками (не р-н поликлиника же), чтобы ничего не делать. Изменено 17 июня, 2017 пользователем stomt Ссылка на комментарий
DmitrySH Опубликовано 17 июня, 2017 Поделиться Опубликовано 17 июня, 2017 Что Вы хотите узнать на форуме? Ссылка на комментарий
stomt Опубликовано 17 июня, 2017 Автор Поделиться Опубликовано 17 июня, 2017 На фотке три (с зубом мудрости) крайних левых нижних зуба. Ну поставит пломбу может временную на этот зуб врач -- хотя есть сомнение что она будет держатся, ибо предыдущая "отклеилась" очень быстро как "карамель" (то есть никак ни держалась) и осталась "стенка".А вопрос к форуму -- какую конструкцию здесь можно применить на эти два разрушеных зуба -- штыри? Можно ли использовать зуб мудрости? Ссылка на комментарий
Рекомендуемые сообщения
Для публикации сообщений создайте учётную запись или авторизуйтесь
Вы должны быть пользователем, чтобы оставить комментарий
Создать аккаунт
Зарегистрируйте новый аккаунт в нашем сообществе. Это очень просто!
Регистрация нового пользователяВойти
Уже есть аккаунт? Войти в систему.
Войти