Перейти к содержанию
Стоматология для всех

Есть ли киста? удаление 16 и 17


Рекомендуемые сообщения

Здравствуйте, уважаемые форумчане!

 

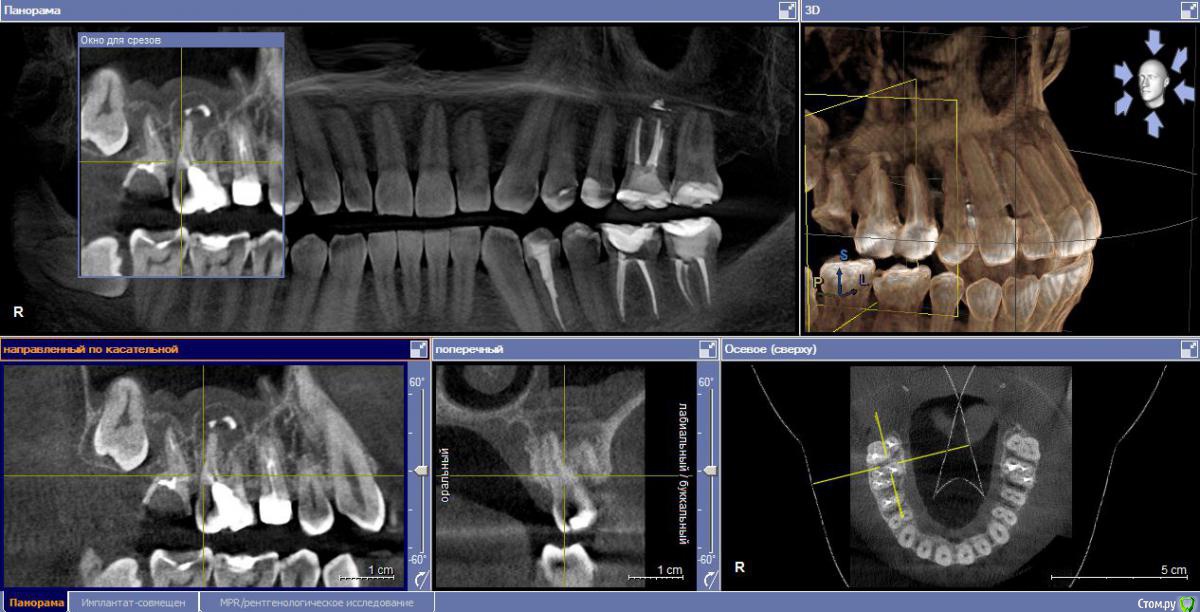
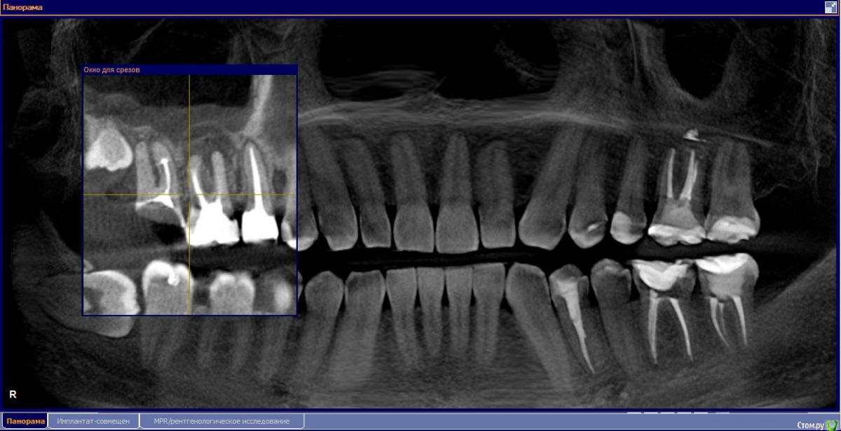
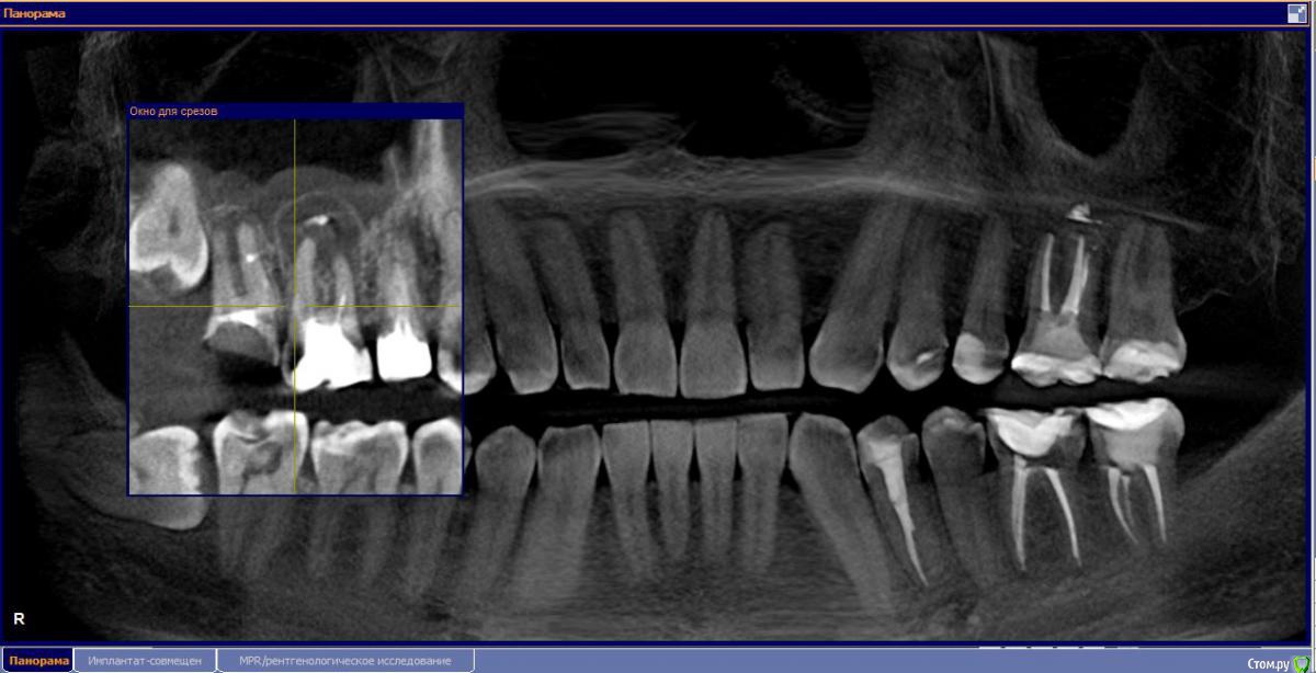
М, 33 года. Есть показания к одновременному удалению 16-го зуба - киста, и 17-го - разрушена верхушка. 8-й предлагают оставить, чтобы "держал кость" (как то так мне озвучили).

 

Через 3-4 месяца рекомендуют синус-лифтинг и установку двух имплантатов.

 

Сейчас десна вокруг 18 и 17 зубов воспалена. На операцию через пару дней..

 

Подскажите, на ваш взгляд

 

- Возможно ли консервативное перелечивание 16 зуба и есть ли смысл?

- Насколько опасная имеется киста?

- Что по поводу 5го зуба? рекомендуют ставить коронку. и когда это нужно делать, после импантации?

 

 

 

снимки прилагаю.

гифка с экрана: https://yadi.sk/i/K6Wj_-443JYoL5

 

спасибо! :-]

post-51672-0-06538600-1495802017_thumb.jpg

post-51672-0-86585300-1495802039_thumb.jpg

post-51672-0-73033200-1495802051_thumb.jpg

post-51672-0-27093900-1495802053_thumb.jpg

post-51672-0-77297300-1495802054_thumb.jpg

post-51672-0-39054900-1495802056_thumb.jpg

post-51672-0-80846000-1495802059_thumb.jpg

post-51672-0-02737300-1495802075_thumb.jpg

post-51672-0-68459900-1495803279_thumb.jpg

Изменено пользователем shuriks
Ссылка на комментарий

и 6 и 7й зубы не выглядят 100% кандидатами на удаление.

на 15 коронку нужно, да. Когда все остальные коронки будете делать, на имплантатах или зубах.

Ссылка на комментарий

1.6 большая вероятность сохранить,но понятнее при очном осмотре и диагностическом вскрытии. 1.7,скорее всего,не жилец,но тоже очно взглянуть на него стОит

Изменено пользователем M@estro
Ссылка на комментарий

Для публикации сообщений создайте учётную запись или авторизуйтесь

Вы должны быть пользователем, чтобы оставить комментарий

Создать аккаунт

Зарегистрируйте новый аккаунт в нашем сообществе. Это очень просто!

Регистрация нового пользователя

Войти

Уже есть аккаунт? Войти в систему.

Войти
×
×
  • Создать...
Вверх