Перейти к содержанию
Стоматология для всех

Действительно ли нужно удалять 3 зуба?


alex_ts

Рекомендуемые сообщения

Здравствуйте. Не хотел создавать новую тему, но здесь уже совершенно другой вопрос (предыдущая тема - http://forum.stom.ru/topic/35002-brekety-i-depulpirovannye-zuby/)

Собираюсь надеть брекеты, на консультации ортодонт сказала, что нужно удалять верхние 4ки и один нижний зуб справа (слева 6ки у меня нет). Действительно ли это необходимо? Просто все чаще натыкаюсь на случаи, когда люди потом обратно раздвигают зубы и ставят импланты. Вот КЛКТ 16x16 - https://yadi.sk/d/40q5jLjb3JUzLN

 

И, возможно, глупый вопрос, есть ли смысл вместо брекетов удалить верхние кривые 1ки и вставить импланты? Собственно, из-за них я и хочу брекеты поставить. Раньше такую мысль я отметал, но теперь задумался... все таки 2 зуба меньше чем 3, да и быстрее и дешевле

Изменено пользователем alex_ts
Ссылка на комментарий
  • 1 месяц спустя...

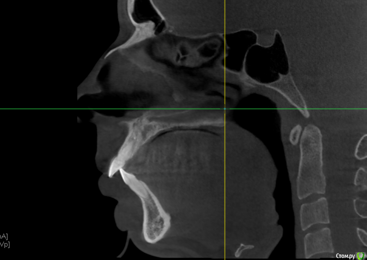
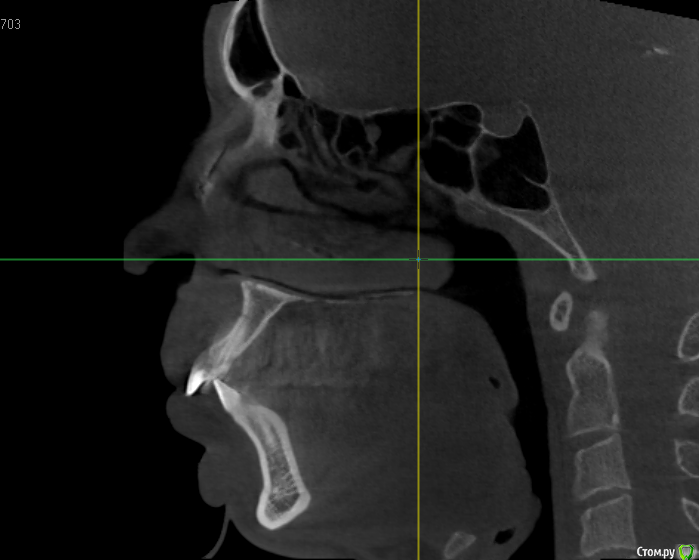
ТРГ нет, только КТ. Хотелось бы понять, оправдано ли удаление верхних четверок. + ко всему корни их вроде как выступают в пазуху, это тоже лишние осложнения. Был у 3х ортодонтов, один как увидел КТ предположил, что скорее всего нужно будет удалять, другой сказал что ничего не надо, что перетянем все назад и так, третий сказал что пограничный случай, в ходе лечения разберемся (правда смотрел он только панорамный снимок). Мнения очень полярные

post-49587-0-03799200-1499350743_thumb.png

post-49587-0-57384700-1499350745_thumb.png

post-49587-0-78349200-1499350749_thumb.jpg

post-49587-0-78328000-1499350751_thumb.jpg

post-49587-0-78579100-1499350753_thumb.jpg

post-49587-0-89309800-1499350755_thumb.jpg

post-49587-0-84480300-1499350757_thumb.jpg

post-49587-0-12962000-1499350841_thumb.jpg

Изменено пользователем alex_ts
Ссылка на комментарий
  • 2 недели спустя...

ТРГ нет, только КТ. Хотелось бы понять, оправдано ли удаление верхних четверок. + ко всему корни их вроде как выступают в пазуху, это тоже лишние осложнения. Был у 3х ортодонтов, один как увидел КТ предположил, что скорее всего нужно будет удалять, другой сказал что ничего не надо, что перетянем все назад и так, третий сказал что пограничный случай, в ходе лечения разберемся (правда смотрел он только панорамный снимок). Мнения очень полярные

по предоставленным данным сказать сложно, но попробуйте посетить консультацию ортодонта, владеющего многопетлевой дугой, с ее помощью в большинстве случаев удается провести коррекцию похожих ситуаций без удаления премоляров, 6-ой зуб я бы удалять не стала.

Ссылка на комментарий

Для публикации сообщений создайте учётную запись или авторизуйтесь

Вы должны быть пользователем, чтобы оставить комментарий

Создать аккаунт

Зарегистрируйте новый аккаунт в нашем сообществе. Это очень просто!

Регистрация нового пользователя

Войти

Уже есть аккаунт? Войти в систему.

Войти
×
×
  • Создать...
Вверх