Перейти к содержанию
Стоматология для всех

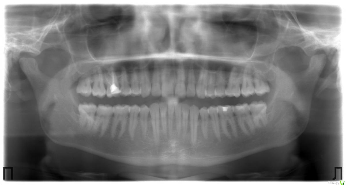
Снимок ОПТГ (май 2013 и май 2017) - прошу совета по лечению.


Chernykh

Рекомендуемые сообщения

Уважаемые специалисты нашего форума, прошу вашего совета.

1. Подскажите, пожалуйста, есть ли необходимость в лечении зубов вообще по челюстям (есть снимки).

2. И что делать конкретно с зубом "16", над которым я уже 5 лет в раздумье.

Когда-то очень давно я его пролечивал с каналами и пломбированием. Спустя лет 15-20 имею в нём картину, требующую лечения с протезированием.

А я ооочень боюсь стоматологий и этих машин :(

 

Четыре года назад я почти решился на коронку, но посидев в кресле, так перенервничал, что убежал. Потом делал несколько попыток лечить другие зубы с кариесом - выдержал нормально. Но вот этот 16-ый, всё никак не могу решиться.

 

Прошу Вашего совета по этим двум вопросам.

 

Есть 2 снимка ОПТГ - май 2013 года и май 2017 года. Видно изменения за 4 года.

 

2013:

post-34691-0-37442900-1495615334_thumb.jpg

 

2017:

post-34691-0-04376400-1495615342_thumb.jpg

 

 

Ссылка на комментарий

Для публикации сообщений создайте учётную запись или авторизуйтесь

Вы должны быть пользователем, чтобы оставить комментарий

Создать аккаунт

Зарегистрируйте новый аккаунт в нашем сообществе. Это очень просто!

Регистрация нового пользователя

Войти

Уже есть аккаунт? Войти в систему.

Войти
×
×
  • Создать...
Вверх